Skip to main content

Human CD14 Antibody

R&D Systems, part of Bio-Techne | Catalog # MAB3832R

Recombinant Monoclonal Antibody.
R&D Systems, part of Bio-Techne

Key Product Details

Species Reactivity

Human

Applications

CyTOF-ready, Flow Cytometry, Immunohistochemistry, Neutralization

Label

Unconjugated

Antibody Source

Recombinant Monoclonal Mouse IgG1 Clone # 134620R

Product Specifications

Immunogen

Chinese hamster ovary cell line CHO-derived recombinant human CD14
Thr20-Cys352
Accession # P08571

Specificity

Detects human CD14 in direct ELISAs.

Clonality

Monoclonal

Host

Mouse

Isotype

IgG1

Endotoxin Level

<0.10 EU per 1 μg of the antibody by the LAL method.

Scientific Data Images for Human CD14 Antibody

Detection of CD14 antibody in Human PBMCs antibody by Flow Cytometry.

Detection of CD14 in Human PBMCs by Flow Cytometry.

Human peripheral blood mononuclear cells (PBMCs) were stained with Mouse Anti-Human CD14 Monoclonal Antibody (Catalog # MAB3832R) followed by Goat anti-Mouse IgG APC-conjugated Secondary Antibody (Catalog # F0101B). View our protocol for Staining Membrane-associated Proteins.
TNF-alpha  Secretion Induced by LPS and Neutralization by Human CD14 Antibody.

TNF-alpha Secretion Induced by LPS and Neutralization by Human CD14 Antibody.

Lipopolysaccharide (LPS) stimulates TNF-alpha secretion in the THP-1 human acute monocytic leukemia cell line in a dose-dependent manner (orange line). TNF-alpha secre-tion elicited by LPS is neutralized (green line) by increasing concentrations of Mouse Anti-Human CD14 Monoclonal Antibody (Catalog # MAB3832R). At 10 μg/mL, this anti-human CD14 antibody will neutralize >60% of 0.5 ng/mL LPS-induced TNF-alpha secretion.

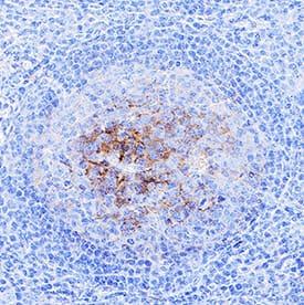
Detection CD14 in human tonsil.

CD14 was detected in immersion fixed paraffin-embedded sections of human tonsil using Mouse Anti-Human CD14 Monoclonal Antibody (Catalog # MAB3832R) at 5 µg/mL for 1 hour at room temperature followed by incubation with the Anti-Mouse IgG VisUCyte™ HRP Polymer Antibody (Catalog # VC001). Before incubation with the primary antibody, tissue was subjected to heat-induced epitope retrieval using VisUCyte Antigen Retrieval Reagent-Basic (Catalog # VCTS021). Tissue was stained using DAB (brown) and counterstained with hematoxylin (blue). Specific staining was localized to cell surface in lymphocytes. View our protocol for IHC Staining with VisUCyte HRP Polymer Detection Reagents.

Applications for Human CD14 Antibody

Application
Recommended Usage

CyTOF-ready

Ready to be labeled using established conjugation methods. No BSA or other carrier proteins that could interfere with conjugation.

Flow Cytometry

0.25 µg/106 cells
Sample: Human PBMCs

Immunohistochemistry

5-25 µg/mL
Sample: Immersion fixed paraffin-embedded sections of human tonsil

Neutralization

Measured by its ability to neutralize lipopolysacharide (LPS)-induced TNF‑ alpha secretion in the THP-1 human acute monocytic leukemia cell line. At 10 µg/mL, this anti-human CD14 antibody will neutralize >60% of 0.5 ng/mL LPS-induced TNF-alpha secretion.

Formulation, Preparation, and Storage

Purification

Protein A or G purified from cell culture supernatant

Reconstitution

Reconstitute at 0.5 mg/mL in sterile PBS. For liquid material, refer to CoA for concentration.

Reconstitution Buffer Available:
Size / Price
Qty
Loading...

Formulation

Lyophilized from a 0.2 μm filtered solution in PBS with Trehalose. *Small pack size (SP) is supplied either lyophilized or as a 0.2 µm filtered solution in PBS.

Shipping

Lyophilized product is shipped at ambient temperature. Liquid small pack size (-SP) is shipped with polar packs. Upon receipt, store immediately at the temperature recommended below.

Stability & Storage

Use a manual defrost freezer and avoid repeated freeze-thaw cycles.
  • 12 months from date of receipt, -20 to -70 °C as supplied.
  • 1 month, 2 to 8 °C under sterile conditions after reconstitution.
  • 6 months, -20 to -70 °C under sterile conditions after reconstitution.

Background: CD14

CD14 is a 55 kDa cell surface glycoprotein that is preferentially expressed on monocytes/macrophages. The human CD14 cDNA encodes a 375 amino acid (aa) residue precursor protein with a 19 aa signal peptide and a C-terminal hydrophobic region characteristic for glycosylphosphatidyinositol (GPI)-anchored proteins. Human CD14 has four potential N-linked glycosylation sites and also bears O-linked carbohydrates. The amino acid sequence of human CD14 is approximately 65% identical with the mouse, rat, rabbit, and bovine proteins. CD14 is a pattern recognition receptor that binds lipopolysaccharides (LPS) and a variety of ligands derived from different microbial sources. The binding of CD14 with LPS is catalyzed by LPS-binding protein (LBP). The toll-like-receptors have also been implicated in the transduction of CD14-LPS signals. Similar to other GPI-anchored proteins, soluble CD14 can be released from the cell surface by phosphatidyinositol-specific phospholipase C. Soluble CD14 has been detected in serum and body fluids. High concentrations of soluble CD14 have been shown to inhibit LPS-mediated responses. However, soluble CD14 can also potentiate LPS response in cells that do not express cell surface CD14.

References

  1. Wright, S.D. et al. (1990) Science 249:1431.
  2. Pugin, J. et al. (1993) Proc. Natl. Acad. Sci. USA 90:2744.
  3. Beutler, B. (2000) Current Opinion in Immunology 12:20.
  4. Stelter, F. (2000) Chem. Immunol. 74:25.

Alternate Names

CD14

Entrez Gene IDs

929 (Human); 12475 (Mouse); 60350 (Rat); 100037938 (Porcine)

Gene Symbol

CD14

UniProt

Additional CD14 Products

Product Documents for Human CD14 Antibody

Certificate of Analysis

To download a Certificate of Analysis, please enter a lot number in the search box below.

Note: Certificate of Analysis not available for kit components.

Product Specific Notices for Human CD14 Antibody

For research use only

Loading...
Loading...
Loading...
Loading...
Loading...