Skip to main content

Human C-Peptide Antibody

R&D Systems, part of Bio-Techne | Catalog # MAB14171

R&D Systems, part of Bio-Techne

Key Product Details

Species Reactivity

Human

Applications

Immunohistochemistry, Immunocytochemistry

Label

Unconjugated

Antibody Source

Monoclonal Mouse IgG2B Clone # 790904

Product Specifications

Immunogen

Human C-Peptide synthetic peptide
EAEDLQVGQVELGGGPGAGSLQPLALEGSLQ
Accession # P01308

Specificity

Detects human C-Peptide in direct ELISAs.

Clonality

Monoclonal

Host

Mouse

Isotype

IgG2B

Scientific Data Images for Human C-Peptide Antibody

C-Peptide antibody in BG01V Human Embryonic Stem Cells by Immunocytochemistry (ICC).

C-Peptide in BG01V Human Embryonic Stem Cells.

C-Peptide was detected in immersion fixed BG01V human embryonic stem cells differentiated into pancreatic beta cells using Mouse Anti-Human C-Peptide Monoclonal Antibody (Catalog # MAB14171) at 10 µg/mL for 3 hours at room temperature. Cells were stained using the NorthernLights™ 557-conjugated Anti-Mouse IgG Secondary Antibody (red; Catalog # NL007) and counterstained with DAPI (blue). Specific staining was localized to cytoplasm. View our protocol for Fluorescent ICC Staining of Stem Cells on Coverslips.
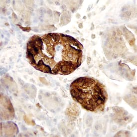
C-Peptide antibody in Human Pancreas by Immunohistochemistry (IHC-P).

C-Peptide in Human Pancreas.

C-Peptide was detected in immersion fixed paraffin-embedded sections of human pancreas using Mouse Anti-Human C-Peptide Monoclonal Antibody (Catalog # MAB14171) at 15 µg/mL overnight at 4 °C. Before incubation with the primary antibody, tissue was subjected to heat-induced epitope retrieval using Antigen Retrieval Reagent-Basic (Catalog # CTS013). Tissue was stained using the Anti-Mouse HRP-DAB Cell & Tissue Staining Kit (brown; Catalog # CTS002) and counter-stained with hematoxylin (blue). Specific staining was localized to the cytoplasm of islet cells. View our protocol for Chromogenic IHC Staining of Paraffin-embedded Tissue Sections.

Immunofluorescent Staining of iPSC-derived Beta Islets.

iPSC-derived beta islets were fixed, frozen, and sectioned. Sections were stained with a Mouse Anti-Human C-peptide Monoclonal Antibody (Catalog # MAB14171), and a Rat Anti-Human/Mouse Somatostatin Monoclonal Antibody (Catalog # MAB2358), followed by secondary antibody staining with the NorthernLights NL493-conjugated Donkey Anti-Mouse IgG Antigen Affinity-purified Polyclonal Antibody (Catalog # NL009; green) and NorthernLights NL557-conjugated Goat Anti-Rat IgG Antigen Affinity-purified Polyclonal Antibody (Catalog # NL013; red). Cell nuclei were stained with DAPI (Catalog # 5748; blue) and the images were overlaid.

Applications for Human C-Peptide Antibody

Application
Recommended Usage

Immunocytochemistry

8-25 µg/mL
Sample: Immersion fixed BG01V human embryonic stem cells differentiated into pancreatic beta cells

Immunohistochemistry

8-25 µg/mL
Sample: Immersion fixed paraffin-embedded sections of human pancreas

Reviewed Applications

Read 1 review rated 5 using MAB14171 in the following applications:

Formulation, Preparation, and Storage

Purification

Protein A or G purified from hybridoma culture supernatant

Reconstitution

Sterile PBS to a final concentration of 0.5 mg/mL. For liquid material, refer to CoA for concentration.

Reconstitution Buffer Available:
Size / Price
Qty
Loading...

Formulation

Lyophilized from a 0.2 μm filtered solution in PBS with Trehalose. *Small pack size (SP) is supplied either lyophilized or as a 0.2 µm filtered solution in PBS.

Shipping

Lyophilized product is shipped at ambient temperature. Liquid small pack size (-SP) is shipped with polar packs. Upon receipt, store immediately at the temperature recommended below.

Stability & Storage

Use a manual defrost freezer and avoid repeated freeze-thaw cycles.
  • 12 months from date of receipt, -20 to -70 °C as supplied.
  • 1 month, 2 to 8 °C under sterile conditions after reconstitution.
  • 6 months, -20 to -70 °C under sterile conditions after reconstitution.

Background: C-Peptide

Insulin is a peptide hormone that facilitates the cellular uptake of glucose by regulating the appearance of membrane glucose transporters. The single chain insulin propeptide consists of a 30 amino acid B chain (aa 25-54), a C-Peptide (aa 55-89), and a 21 aa A chain (aa 90-110). Removal of the C-Peptide by proteolysis enables the formation of mature Insulin, a disulfide-linked heterodimer of the A and B chains. Circulating C-peptide levels are elevated in hyperinsulinism, obesity, and type II diabetes. The human C-Peptide shares 61% and 68% aa sequence identity with mouse and rat C-Peptide, respectively.

Long Name

Proinsulin C-Peptide

Alternate Names

C-P, Insulin C-Peptide, Proinsulin C-Peptide

Entrez Gene IDs

3630 (Human); 16333 (Mouse); 397415 (Porcine); 280829 (Bovine); 483665 (Canine)

Gene Symbol

INS

UniProt

Additional C-Peptide Products

Product Documents for Human C-Peptide Antibody

Certificate of Analysis

To download a Certificate of Analysis, please enter a lot number in the search box below.

Note: Certificate of Analysis not available for kit components.

Product Specific Notices for Human C-Peptide Antibody

For research use only

Loading...
Loading...
Loading...
Loading...