Human B7-H3 Antibody
R&D Systems, part of Bio-Techne | Catalog # MAB11611

Conjugate
Catalog #
Key Product Details
Species Reactivity
Human
Applications
Multiplex Immunofluorescence, Immunohistochemistry, Western Blot, Simple Western
Label
Unconjugated
Antibody Source
Monoclonal Mouse IgG2A Clone # 1090036
Product Specifications
Immunogen
Mouse myeloma cell line, NS0-derived human B7-H3
Leu29-Pro245
Accession # Q5ZPR3
Leu29-Pro245
Accession # Q5ZPR3
Specificity
Detects recombinant protein specific for human B7-H3 in Direct ELISA.
Clonality
Monoclonal
Host
Mouse
Isotype
IgG2A
Scientific Data Images for Human B7-H3 Antibody
Detection of B7-H3 in Human Lung Cancer via Multiplex Immunofluorescence staining on COMET™
B7-H3 was detected in immersion fixed paraffin-embedded sections of human lung cancer using Mouse Anti-Human B7-H3 Monoclonal Antibody (Catalog # MAB11611) at 20ug/mL at 37 ° Celsius for 4 minutes. Before incubation with the primary antibody, tissue underwent an all-in-one dewaxing and antigen retrieval preprocessing using PreTreatment Module (PT Module) and Dewax and HIER Buffer H (pH 9). Tissue was stained using the Alexa Fluor™ 647 Goat anti-Mouse IgG Secondary Antibody at 1:200 at 37 ° Celsius for 2 minutes. (Yellow; Lunaphore Catalog # DR647MS) and counterstained with DAPI (blue; Lunaphore Catalog # DR100). Specific staining was localized to the membrane. Protocol available in COMET™ Panel Builder.Detection of Human B7-H3 by Western Blot.
Western Blot shows lysates of U2OS human osteosarcoma cell line. PVDF membrane was probed with 1 µg/ml of Mouse Anti-Human B7-H3 Monoclonal Antibody (Catalog # MAB11611) followed by HRP-conjugated Anti-Mouse IgG Secondary Antibody (Catalog # HAF018). A specific band was detected for B7-H3 at approximately 90 kDa (as indicated). This experiment was conducted under reducing conditions and using Western Blot Buffer Group 1.Detection of B7-H3 in Human Lung Cancer.
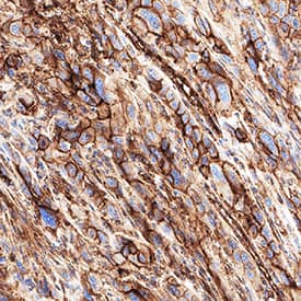
B7-H3 was detected in immersion fixed paraffin-embedded sections of human lung cancer using Mouse Anti-Human B7-H3 Monoclonal Antibody (Catalog # MAB11611) at 5 µg/ml for 1 hour at room temperature followed by incubation with the Anti-Mouse IgG VisUCyte™ HRP Polymer Antibody (Catalog # VC001). Before incubation with the primary antibody, tissue was subjected to heat-induced epitope retrieval using VisUCyte Antigen Retrieval Reagent-Basic (Catalog # VCTS021). Tissue was stained using DAB (brown) and counterstained with hematoxylin (blue). Specific staining was localized to the cell membrane. View our protocol for IHC Staining with VisUCyte HRP Polymer Detection Reagents.Applications for Human B7-H3 Antibody
Application
Recommended Usage
Immunohistochemistry
3-25 µg/mL
Sample: Immersion fixed paraffin-embedded sections of human lung cancer
Sample: Immersion fixed paraffin-embedded sections of human lung cancer
Multiplex Immunofluorescence
20 µg/mL
Sample: Immersion fixed paraffin-embedded sections of human Lung Cancer
Sample: Immersion fixed paraffin-embedded sections of human Lung Cancer
Simple Western
20 µg/mL
Sample: LNCaP human prostate cancer cell line
Sample: LNCaP human prostate cancer cell line
Western Blot
1 µg/mL
Sample: U2OS human osteosarcoma cell line
Sample: U2OS human osteosarcoma cell line
Formulation, Preparation, and Storage
Purification
Protein A or G purified from hybridoma culture supernatant
Reconstitution
Reconstitute lyophilized material at 0.2 mg/ml in sterile PBS. For liquid material, refer to CoA for concentration.
Formulation
Lyophilized from a 0.2 μm filtered solution in PBS with Trehalose.
Shipping
Lyophilized product is shipped at ambient temperature. Liquid small pack size (-SP) is shipped with polar packs. Upon receipt, store immediately at the temperature recommended below.
Stability & Storage
Use a manual defrost freezer and avoid repeated freeze-thaw cycles.
- 12 months from date of receipt, -20 to -70 °C as supplied.
- 1 month, 2 to 8 °C under sterile conditions after reconstitution.
- 6 months, -20 to -70 °C under sterile conditions after reconstitution.
Background: B7-H3
References
- Chapoval, A.I. et al. (2001) Nat. Immunol. 2:269.
- Sharpe, A.H. and G.J. Freeman (2002) Nat. Rev. Immunol. 2:116.
- Coyle, A. and J. Gutierrez-Ramos (2001) Nat. Immunol. 2:203.
Long Name
B7 Homolog 3
Alternate Names
B7H3, CD276
Gene Symbol
CD276
UniProt
Additional B7-H3 Products
Product Documents for Human B7-H3 Antibody
Product Specific Notices for Human B7-H3 Antibody
For research use only
Loading...
Loading...
Loading...
Loading...