Skip to main content

Key Product Details

Species Reactivity

Human

Applications

Immunohistochemistry, Western Blot, Simple Western

Label

Unconjugated

Antibody Source

Polyclonal Goat IgG

Product Specifications

Immunogen

E. coli-derived recombinant human Apolipoprotein H/ApoH
Gly20-Cys345
Accession # P02749

Specificity

Detects human Apolipoprotein H/ApoH in Western blots.

Clonality

Polyclonal

Host

Goat

Isotype

IgG

Scientific Data Images for Human Apolipoprotein H/ApoH Antibody

Detection of Human Apolipoprotein H/ApoH antibody by Western Blot.

Detection of Human Apolipoprotein H/ApoH by Western Blot.

Western blot shows lysates of human liver tissue. PVDF membrane was probed with 1 µg/mL Goat Anti-Human Apolipoprotein H/ApoH Antigen Affinity-purified Polyclonal Antibody (Catalog # AF5087) followed by HRP-conjugated Anti-Goat IgG Secondary Antibody (Catalog # HAF017). For additional reference, recombinant human ApoH (5 ng) was included. A specific band for Apolipoprotein H/ ApoH was detected at approximately 50-60 kDa (as indicated). This experiment was conducted under reducing conditions and using Immunoblot Buffer Group 2.
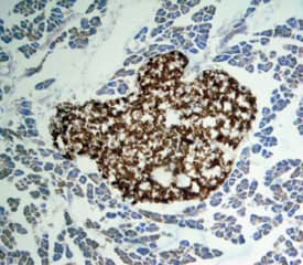
Apolipoprotein H/ApoH antibody in Mouse Pancreas by Immunohistochemistry (IHC-Fr).

Apolipoprotein H/ApoH in Mouse Pancreas.

Apolipoprotein H/ApoH was detected in perfusion fixed frozen sections of adult mouse pancreas using Goat Anti-Human Apolipoprotein H/ApoH Antigen Affinity-purified Polyclonal Antibody (Catalog # AF5087) at 15 µg/mL overnight at 4 °C. Tissue was stained using the Anti-Goat HRP-DAB Cell & Tissue Staining Kit (brown; Catalog # CTS008) and counterstained with hematoxylin (blue). Specific staining was localized to pancreatic islets. View our protocol for Chromogenic IHC Staining of Frozen Tissue Sections.
Detection of Human Apolipoprotein H/ApoH antibody by Simple WesternTM.

Detection of Human Apolipoprotein H/ApoH by Simple WesternTM.

Simple Western lane view shows lysates of human liver tissue, loaded at 0.2 mg/mL. A specific band was detected for Apolipoprotein H/ApoH at approximately 69 kDa (as indicated) using 10 µg/mL of Goat Anti-Human Apolipoprotein H/ApoH Antigen Affinity-purified Polyclonal Antibody (Catalog # AF5087) followed by 1:50 dilution of HRP-conjugated Anti-Goat IgG Secondary Antibody (Catalog # HAF109). This experiment was conducted under reducing conditions and using the 12-230 kDa separation system.

Applications for Human Apolipoprotein H/ApoH Antibody

Application
Recommended Usage

Immunohistochemistry

5-15 µg/mL
Sample: Perfusion fixed frozen sections of adult mouse pancreas

Simple Western

10 µg/mL
Sample: Human liver tissue

Western Blot

1 µg/mL
Sample: Human liver tissue

Formulation, Preparation, and Storage

Purification

Antigen Affinity-purified

Reconstitution

Reconstitute at 0.2 mg/mL in sterile PBS. For liquid material, refer to CoA for concentration.

Reconstitution Buffer Available:
Size / Price
Qty
Loading...

Formulation

Lyophilized from a 0.2 μm filtered solution in PBS with Trehalose. *Small pack size (SP) is supplied either lyophilized or as a 0.2 µm filtered solution in PBS.

Shipping

Lyophilized product is shipped at ambient temperature. Liquid small pack size (-SP) is shipped with polar packs. Upon receipt, store immediately at the temperature recommended below.

Stability & Storage

Use a manual defrost freezer and avoid repeated freeze-thaw cycles.
  • 12 months from date of receipt, -20 to -70 °C as supplied.
  • 1 month, 2 to 8 °C under sterile conditions after reconstitution.
  • 6 months, -20 to -70 °C under sterile conditions after reconstitution.

Background: Apolipoprotein H/ApoH

ApoH (Apolipoprotein H; also beta2-Glycoprotein 1/ beta2-GPI) is a 50 kDa, secreted, variably glycosylated, monomeric member of the complement control superfamily of molecules. It is produced by hepatocytes and is bound to HDL particles. Circulating ApoH blocks the intrinsic clotting pathway, and binds to exposed phospholipids on apoptotic cells. Mature human ApoH is 326 amino acids (aa) in length (aa 20‑345). It contains four Sushi repeats (aa 21‑260) and one C-terminal kringle domain (aa 261‑345) that binds heparin and phospholipids. At least two ApoH isoforms exist, one showing a 31 aa substitution for aa 140‑345, while a second represents a bioactive plasmin cleavage product that removes the C-terminal nine amino acids. Mature human ApoH shares 76% aa identity with mouse ApoH.

Alternate Names

APOH, B2G1, B2GPI, Beta, BG

Entrez Gene IDs

350 (Human); 11818 (Mouse); 287774 (Rat)

Gene Symbol

APOH

UniProt

Additional Apolipoprotein H/ApoH Products

Product Documents for Human Apolipoprotein H/ApoH Antibody

Certificate of Analysis

To download a Certificate of Analysis, please enter a lot number in the search box below.

Note: Certificate of Analysis not available for kit components.

Product Specific Notices for Human Apolipoprotein H/ApoH Antibody

For research use only

Loading...
Loading...
Loading...
Loading...