Skip to main content

Key Product Details

Validated by

Knockout/Knockdown

Species Reactivity

Validated:

Human

Cited:

Human

Applications

Validated:

Knockout Validated, Immunohistochemistry, Western Blot, Simple Western

Cited:

Western Blot

Label

Unconjugated

Antibody Source

Monoclonal Mouse IgG2A Clone # 38701

Product Specifications

Immunogen

E. coli-derived recombinant human Annexin V
Met1-Asp320
Accession # P08758

Specificity

Detects human Annexin V in direct ELISAs.

Clonality

Monoclonal

Host

Mouse

Isotype

IgG2A

Scientific Data Images for Human Annexin V Antibody

Detection of Human Annexin V antibody by Western Blot.

Detection of Human Annexin V by Western Blot.

Western blot shows lysates of HepG2 human hepatocellular carcinoma cell line. PVDF membrane was probed with 0.25 µg/mL of Mouse Anti-Human Annexin V Monoclonal Antibody (Catalog # MAB3991) followed by HRP-conjugated Anti-Mouse IgG Secondary Antibody (Catalog # HAF018). A specific band was detected for Annexin V at approximately 32 kDa (as indicated). This experiment was conducted under reducing conditions and using Immunoblot Buffer Group 1.
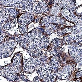
Annexin V antibody in Human Placenta by Immunohistochemistry (IHC-P).

Annexin V in Human Placenta.

Annexin V was detected in immersion fixed paraffin-embedded sections of human placenta using Mouse Anti-Human Annexin V Monoclonal Antibody (Catalog # MAB3991) at 5 µg/mL for 1 hour at room temperature followed by incubation with the Anti-Mouse IgG VisUCyte™ HRP Polymer Antibody (Catalog # VC001). Tissue was stained using DAB (brown) and counterstained with hematoxylin (blue). Specific staining was localized to syncytiotrophoblasts. View our protocol for IHC Staining with VisUCyte HRP Polymer Detection Reagents.
Detection of Human Annexin V antibody by Simple WesternTM.

Detection of Human Annexin V by Simple WesternTM.

Simple Western lane view shows lysates of human lung tissue, loaded at 0.2 mg/mL. A specific band was detected for Annexin V at approximately 39 kDa (as indicated) using 2.5 µg/mL of Mouse Anti-Human Annexin V Monoclonal Antibody (Catalog # MAB3991). This experiment was conducted under reducing conditions and using the 12-230 kDa separation system.

Applications for Human Annexin V Antibody

Application
Recommended Usage

Immunohistochemistry

5-25 µg/mL
Sample: Immersion fixed paraffin-embedded sections of human placenta

Knockout Validated

Annexin V is specifically detected in HEK293T human embryonic kidney parental cell line but is not detectable in Annexin V knockout HEK293T cell line.

Simple Western

2.5-50 µg/mL
Sample: Human lung tissue, A549 human lung carcinoma cell line exosomes, HT‑29 human colon adenocarcinoma cell line exosomes, and COLO 205 human colorectal adenocarcinoma cell line whole cell lysate (WCL)

Western Blot

0.25 µg/mL
Sample: HepG2 human hepatocellular carcinoma cell line

Reviewed Applications

Read 1 review rated 5 using MAB3991 in the following applications:

Formulation, Preparation, and Storage

Purification

Protein A or G purified from hybridoma culture supernatant

Reconstitution

Reconstitute at 0.5 mg/mL in sterile PBS. For liquid material, refer to CoA for concentration.

Reconstitution Buffer Available:
Size / Price
Qty
Loading...

Formulation

Lyophilized from a 0.2 μm filtered solution in PBS with Trehalose. *Small pack size (SP) is supplied either lyophilized or as a 0.2 µm filtered solution in PBS.

Shipping

Lyophilized product is shipped at ambient temperature. Liquid small pack size (-SP) is shipped with polar packs. Upon receipt, store immediately at the temperature recommended below.

Stability & Storage

Use a manual defrost freezer and avoid repeated freeze-thaw cycles.
  • 12 months from date of receipt, -20 to -70 °C as supplied.
  • 1 month, 2 to 8 °C under sterile conditions after reconstitution.
  • 6 months, -20 to -70 °C under sterile conditions after reconstitution.

Background: Annexin V

Annexin V is a member of a calcium and phospholipid binding family of proteins with vascular anticoagulant activity. It is also known as PP4, PAP I, CPB-I, CaBP33, VACa, anchorin CII, lipocortin-V, endonexin II, and thromboplastin inhibitor.

Alternate Names

ANX5, ANXA5, ANXV

Entrez Gene IDs

308 (Human)

Gene Symbol

ANXA5

UniProt

Additional Annexin V Products

Product Documents for Human Annexin V Antibody

Certificate of Analysis

To download a Certificate of Analysis, please enter a lot number in the search box below.

Note: Certificate of Analysis not available for kit components.

Product Specific Notices for Human Annexin V Antibody

For research use only

Loading...
Loading...
Loading...
Loading...