UCH-L1/PGP9.5 Products
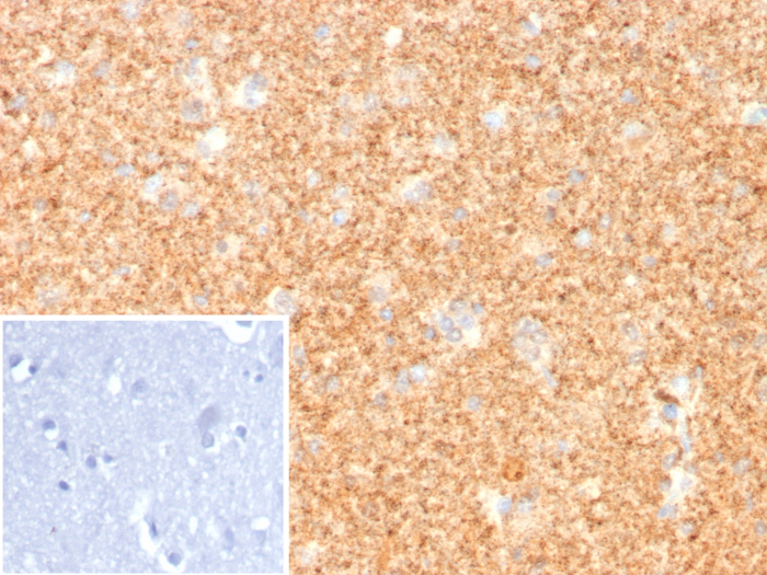
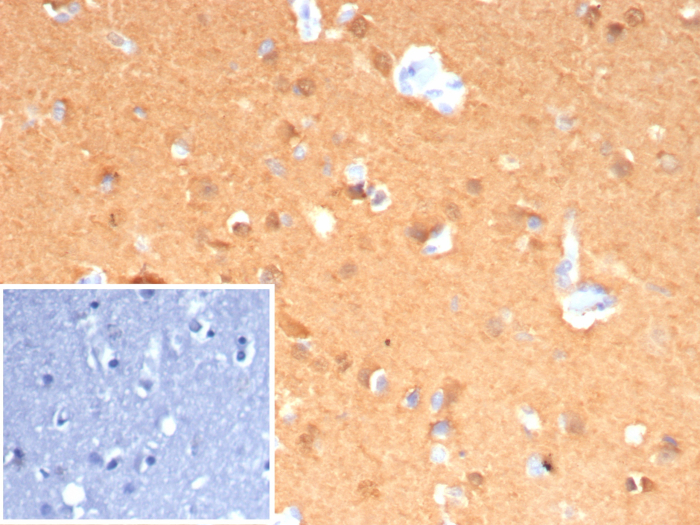
Ubiquitin Carboxyterminal Hydrolase Isozyme 1 (UCH-L1), also known as PGP9.5, is a cytoplasmic protein that belongs to the peptidase C12 family of enzymes. It is predominantly expressed in neurons in the brain and has only limited expression in other healthy tissues such as the gonads. However, UCH-L1/PGP.95 is found in high levels in several cancer cells types including pancreatic cancer, colorectal cancer, and breast cancer. UCH-L1/PGP.95 has dual enzymatic activity. As a monomer, it acts as Ubiquitin hydrolase that removes Ubiquitin from modified proteins. As a homodimer, UCH-L1/PGP9.5 acts as a ligase that creates Ubiquitin dimers.
UCH-L1/PGP9.5's role in neurons appears to be that of generating free Ubiquitin. UCH-L1/PGP9.5 is required for the maintenance of axonal integrity, and its dysfunction has been implicated in neurodegenerative disease. Human UCH-L1 is 223 amino acids (aa) in length and has a predicted molecular weight of 24-27 kDa. It is O-glycosylated, ubiquitinated, and farnesylated; when farnesylated, it becomes associated with cell membranes. Three potential splice forms have been reported. One shows a two aa substitution for aa 12-15, a second contains an alternative start site at Met82, and a third shows the same start site coupled with a deletion of aa 138-153. Full-length human UCH-L1 shares 95% aa identity with the mouse ortholog.
Products:
598 results for "UCH-L1/PGP9.5" in Products
598 results for "UCH-L1/PGP9.5" in Products
UCH-L1/PGP9.5 Products
Ubiquitin Carboxyterminal Hydrolase Isozyme 1 (UCH-L1), also known as PGP9.5, is a cytoplasmic protein that belongs to the peptidase C12 family of enzymes. It is predominantly expressed in neurons in the brain and has only limited expression in other healthy tissues such as the gonads. However, UCH-L1/PGP.95 is found in high levels in several cancer cells types including pancreatic cancer, colorectal cancer, and breast cancer. UCH-L1/PGP.95 has dual enzymatic activity. As a monomer, it acts as Ubiquitin hydrolase that removes Ubiquitin from modified proteins. As a homodimer, UCH-L1/PGP9.5 acts as a ligase that creates Ubiquitin dimers.
UCH-L1/PGP9.5's role in neurons appears to be that of generating free Ubiquitin. UCH-L1/PGP9.5 is required for the maintenance of axonal integrity, and its dysfunction has been implicated in neurodegenerative disease. Human UCH-L1 is 223 amino acids (aa) in length and has a predicted molecular weight of 24-27 kDa. It is O-glycosylated, ubiquitinated, and farnesylated; when farnesylated, it becomes associated with cell membranes. Three potential splice forms have been reported. One shows a two aa substitution for aa 12-15, a second contains an alternative start site at Met82, and a third shows the same start site coupled with a deletion of aa 138-153. Full-length human UCH-L1 shares 95% aa identity with the mouse ortholog.
Products:
Recombinant Monoclonal Antibody
| Reactivity: | Human, Rat, Canine |
| Details: | Mouse IgG1 kappa Monoclonal Clone #rUCHL1/775 |
| Applications: | IHC, WB, ICC/IF, Flow, MA |
Recombinant Monoclonal Antibody
| Reactivity: | Human, Rat, Canine |
| Details: | Mouse IgG1 kappa Monoclonal Clone #rUCHL1/775 |
| Applications: | IHC, WB, ICC/IF, Flow, MA |
| Reactivity: | Human |
| Details: | Mouse IgG2a Kappa Monoclonal Clone #UCHL1/841 |
| Applications: | WB |
Recombinant Monoclonal Antibody
| Reactivity: | Human |
| Details: | Mouse IgG2a Kappa Monoclonal Clone #rUCHL1/8133 |
| Applications: | IHC, WB, ICC/IF, Flow |
Recombinant Monoclonal Antibody
| Reactivity: | Human, Rat |
| Details: | Rabbit IgG Kappa Monoclonal Clone #UCHL1/7076R |
| Applications: | IHC, WB |
Recombinant Monoclonal Antibody
| Reactivity: | Human |
| Details: | Mouse IgG1 kappa Monoclonal Clone #rUCHL1/8057 |
| Applications: | IHC, WB, ICC/IF, Flow |
| Reactivity: | Human, Rat, Canine |
| Details: | Mouse IgG1 kappa Monoclonal Clone #UCHL1/775 |
| Applications: | IHC |
Recombinant Monoclonal Antibody
| Reactivity: | Human |
| Details: | Mouse IgG1 kappa Monoclonal Clone #rUCHL1/8057 |
| Applications: | IHC, WB, ICC/IF, Flow |
Recombinant Monoclonal Antibody
| Reactivity: | Human |
| Details: | Mouse IgG2a Kappa Monoclonal Clone #rUCHL1/8133 |
| Applications: | IHC, WB, ICC/IF, Flow |
Recombinant Monoclonal Antibody
| Reactivity: | Human, Rat |
| Details: | Rabbit IgG Kappa Monoclonal Clone #UCHL1/8107R |
| Applications: | IHC |
Recombinant Monoclonal Antibody
| Reactivity: | Human, Rat |
| Details: | Rabbit IgG Kappa Monoclonal Clone #UCHL1/7076R |
| Applications: | IHC, WB |
Recombinant Monoclonal Antibody
| Reactivity: | Human, Rat |
| Details: | Rabbit IgG Kappa Monoclonal Clone #UCHL1/8107R |
| Applications: | IHC |
Recombinant Monoclonal Antibody
| Reactivity: | Human, Rat |
| Details: | Rabbit IgG Kappa Monoclonal Clone #UCHL1/7076R |
| Applications: | IHC, WB |
Recombinant Monoclonal Antibody
| Reactivity: | Human |
| Details: | Mouse IgG1 kappa Monoclonal Clone #rUCHL1/8057 |
| Applications: | IHC, WB, ICC/IF, Flow |
Recombinant Monoclonal Antibody
| Reactivity: | Human |
| Details: | Mouse IgG2a Kappa Monoclonal Clone #rUCHL1/8133 |
| Applications: | IHC, WB, ICC/IF, Flow |
Recombinant Monoclonal Antibody
| Reactivity: | Human, Rat |
| Details: | Rabbit IgG Kappa Monoclonal Clone #UCHL1/8107R |
| Applications: | IHC |
Recombinant Monoclonal Antibody
| Reactivity: | Human, Rat, Canine |
| Details: | Mouse IgG1 kappa Monoclonal Clone #rUCHL1/775 |
| Applications: | IHC, WB, ICC/IF, Flow, MA |
Recombinant Monoclonal Antibody
| Reactivity: | Human |
| Details: | Mouse IgG2a Kappa Monoclonal Clone #rUCHL1/8133 |
| Applications: | IHC, WB, ICC/IF, Flow |
Recombinant Monoclonal Antibody
| Reactivity: | Human, Rat, Canine |
| Details: | Mouse IgG1 kappa Monoclonal Clone #rUCHL1/775 |
| Applications: | IHC, WB, ICC/IF, Flow, MA |
Recombinant Monoclonal Antibody
| Reactivity: | Human, Rat |
| Details: | Rabbit IgG Kappa Monoclonal Clone #UCHL1/7076R |
| Applications: | IHC, WB |
| Reactivity: | Human, Rat, Canine |
| Details: | Mouse IgG1 kappa Monoclonal Clone #UCHL1/775 |
| Applications: | IHC, WB |
Recombinant Monoclonal Antibody
| Reactivity: | Human |
| Details: | Mouse IgG1 kappa Monoclonal Clone #rUCHL1/8057 |
| Applications: | IHC, WB, ICC/IF, Flow |
| Reactivity: | Human |
| Details: | Mouse IgG2a Kappa Monoclonal Clone #UCHL1/841 |
| Applications: | WB |
Recombinant Monoclonal Antibody
| Reactivity: | Human, Rat, Canine |
| Details: | Mouse IgG1 kappa Monoclonal Clone #rUCHL1/775 |
| Applications: | IHC, WB, ICC/IF, Flow, MA |
| Reactivity: | Human |
| Details: | Mouse IgG2a Kappa Monoclonal Clone #UCHL1/841 |
| Applications: | WB |