Skip to main content

TfR (Transferrin R) Antibody - BSA Free

Novus Biologicals, part of Bio-Techne | Catalog # NB100-92243

Novus Biologicals, part of Bio-Techne

Key Product Details

Species Reactivity

Validated:

Human, Mouse, Rat

Cited:

Human, Mouse

Applications

Validated:

Immunohistochemistry, Immunohistochemistry-Paraffin, Western Blot, Immunocytochemistry/ Immunofluorescence, Proximity Ligation Assay

Cited:

Immunohistochemistry, Immunohistochemistry-Paraffin, Western Blot, Block/Neutralize, Immunocytochemistry/ Immunofluorescence, Proximity Ligation Assay, IF/IHC

Label

Unconjugated

Antibody Source

Polyclonal Rabbit IgG

Format

BSA Free

Concentration

1.0 mg/ml

Product Specifications

Immunogen

Synthetic peptide made to an internal portion of human Transferrin R (between amino acids 20-75) [UniProt P02786]

Marker

Recycling Endosome Marker

Clonality

Polyclonal

Host

Rabbit

Isotype

IgG

Theoretical MW

89 kDa.
Disclaimer note: The observed molecular weight of the protein may vary from the listed predicted molecular weight due to post translational modifications, post translation cleavages, relative charges, and other experimental factors.

Description

Novus Biologicals Rabbit TfR (Transferrin R) Antibody - BSA Free (NB100-92243) is a polyclonal antibody validated for use in IHC, WB and ICC/IF. Anti-TfR (Transferrin R) Antibody: Cited in 18 publications. All Novus Biologicals antibodies are covered by our 100% guarantee.

Scientific Data Images for TfR (Transferrin R) Antibody - BSA Free

Western Blot: TfR (Transferrin R) AntibodyBSA Free [NB100-92243]

Western Blot: TfR (Transferrin R) AntibodyBSA Free [NB100-92243]

Western Blot: TfR (Transferrin R) Antibody [NB100-92243] - Analysis of TfR1 pAb at 1:500 dilution. (1) HEK293T whole cell lysate, (2) Raw264.7 whole cell lysate, and (3) H9C2 whole cell lysate.
Immunocytochemistry/ Immunofluorescence: TfR (Transferrin R) Antibody - BSA Free [NB100-92243]

Immunocytochemistry/ Immunofluorescence: TfR (Transferrin R) Antibody - BSA Free [NB100-92243]

Immunocytochemistry/Immunofluorescence: TfR (Transferrin R) Antibody [NB100-92243] - Transferrin Receptor Antibody [NB100-92243] - Transferrin receptor antibody was tested at 1:50 in HeLa cells with DylLght 488 (green). Nuclei and alpha-tubulin were counterstained with DAPI (blue) and Dylight 550 (red). Image objective 40x.
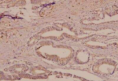
Immunohistochemistry-Paraffin: TfR (Transferrin R) Antibody - BSA Free [NB100-92243]

Immunohistochemistry-Paraffin: TfR (Transferrin R) Antibody - BSA Free [NB100-92243]

Immunohistochemistry-Paraffin: TfR (Transferrin R) Antibody - BSA Free [NB100-92243] - Analysis of a FFPE tissue section of human placenta using 1:200 dilution of TfR (Transferrin R) antibody NB100-92243. The staining was developed using HRP labeled anti-rabbit secondary antibody and DAB reagent, and nuclei of cells were counter-stained with hematoxylin.

Applications for TfR (Transferrin R) Antibody - BSA Free

Application
Recommended Usage

Immunocytochemistry/ Immunofluorescence

reported in scientific literature

Immunohistochemistry-Paraffin

1:50-1:200

Proximity Ligation Assay

reported in scientific literature (PMID 31091436)

Western Blot

1:500-1:1000
Application Notes
Western blot (WB) analysis of Transferrin Receptor pAb in extracts from 293 cells. Immunohistochemistry analyzes of Transferrin Receptor pAb in paraffin-embedded human brain tissue.

Reviewed Applications

Read 1 review rated 3 using NB100-92243 in the following applications:

Formulation, Preparation, and Storage

Purification

Immunogen affinity purified

Formulation

PBS

Format

BSA Free

Preservative

0.02% Sodium Azide

Concentration

1.0 mg/ml

Shipping

The product is shipped with polar packs. Upon receipt, store it immediately at the temperature recommended below.

Stability & Storage

Store at 4C short term. Aliquot and store at -20C long term. Avoid freeze-thaw cycles.

Background: TfR (Transferrin R)

Useful in studies of dividing haematopoietic and tumour cell populations, and metabolic activity.

Long Name

Transferrin Receptor

Alternate Names

CD71, TfR (TransferrinR), TFR1, TFRC, TRFR

Entrez Gene IDs

7037 (Human)

Gene Symbol

TFRC

UniProt

Additional TfR (Transferrin R) Products

Product Documents for TfR (Transferrin R) Antibody - BSA Free

Certificate of Analysis

To download a Certificate of Analysis, please enter a lot number in the search box below.

Product Specific Notices for TfR (Transferrin R) Antibody - BSA Free

This product is for research use only and is not approved for use in humans or in clinical diagnosis. Primary Antibodies are guaranteed for 1 year from date of receipt.

Loading...
Loading...
Loading...
Loading...