Skip to main content

SPR Antibody (OTI4F5) - Azide and BSA Free

Novus Biologicals, part of Bio-Techne | Catalog # NBP2-74344

Novus Biologicals, part of Bio-Techne

Key Product Details

Species Reactivity

Human, Rat

Applications

Immunohistochemistry, Immunohistochemistry-Paraffin, Western Blot, Flow Cytometry, Immunocytochemistry/ Immunofluorescence, CyTOF-ready

Label

Unconjugated

Antibody Source

Monoclonal Mouse IgG1 Clone # OTI4F5

Format

Azide and BSA Free

Concentration

LYOPH mg/ml

Product Specifications

Immunogen

Full length human recombinant protein of human SPR (NP_003115) produced in HEK293T cell.

Clonality

Monoclonal

Host

Mouse

Isotype

IgG1

Theoretical MW

27.9 kDa.
Disclaimer note: The observed molecular weight of the protein may vary from the listed predicted molecular weight due to post translational modifications, post translation cleavages, relative charges, and other experimental factors.

Description

Novus Biologicals Mouse SPR Antibody (OTI4F5) - Azide and BSA Free (NBP2-03256) is a monoclonal antibody validated for use in IHC, WB, Flow and ICC/IF. All Novus Biologicals antibodies are covered by our 100% guarantee.

Scientific Data Images for SPR Antibody (OTI4F5) - Azide and BSA Free

Western Blot: SPR Antibody (OTI4F5)Azide and BSA Free [NBP2-74344]

Western Blot: SPR Antibody (OTI4F5)Azide and BSA Free [NBP2-74344]

Western Blot: SPR Antibody (OTI4F5) - Azide and BSA Free [NBP2-74344] - HEK293T cells were transfected with the pCMV6-ENTRY control (Left lane) or pCMV6-ENTRY SPR (Right lane) cDNA for 48 hrs and lysed. Equivalent amounts of cell lysates (5 ug per lane) were separated by SDS-PAGE and immunoblotted with anti-SPR.
Immunocytochemistry/ Immunofluorescence: SPR Antibody (OTI4F5) - Azide and BSA Free [NBP2-74344]

Immunocytochemistry/ Immunofluorescence: SPR Antibody (OTI4F5) - Azide and BSA Free [NBP2-74344]

Immunocytochemistry/Immunofluorescence: SPR Antibody (OTI4F5) - Azide and BSA Free [NBP2-74344] - Staining of COS7 cells transiently transfected by pCMV6-ENTRY SPR.
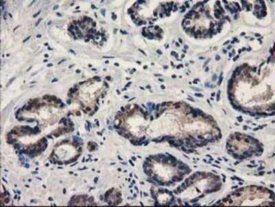
Immunohistochemistry: SPR Antibody (OTI4F5) - Azide and BSA Free [NBP2-74344]

Immunohistochemistry: SPR Antibody (OTI4F5) - Azide and BSA Free [NBP2-74344]

Immunohistochemistry: SPR Antibody (OTI4F5) - Azide and BSA Free [NBP2-74344] - Staining of paraffin-embedded Human liver tissue using anti-SPR mouse monoclonal antibody.

Applications for SPR Antibody (OTI4F5) - Azide and BSA Free

Application
Recommended Usage

Flow Cytometry

1:100

Immunocytochemistry/ Immunofluorescence

1:100

Immunohistochemistry

1:150

Western Blot

1:500-2000

Formulation, Preparation, and Storage

Purification

Immunogen affinity purified

Reconstitution

we recommend adding 100uL distilled water to a final antibody concentration of about 1 mg/mL. To use this carrier-free antibody for conjugation experiment, we strongly recommend performing another round of desalting process.

Formulation

Lyophilized from PBS (pH 7.3) with 8% Trehalose

Format

Azide and BSA Free

Preservative

No Preservative

Concentration

LYOPH mg/ml

Shipping

The product is shipped with polar packs. Upon receipt, store it immediately at the temperature recommended below.

Stability & Storage

Store at -20C. Avoid freeze-thaw cycles.

Background: SPR

SPR encodes an aldo-keto reductase that catalyzes the NADPH-dependent reduction of pteridine derivatives and is important in the biosynthesis of tetrahydrobiopterin (BH4). Mutations in this gene result in DOPA-responsive dystonia due to sepiaterin reductase deficiency. A pseudogene has been identified on chromosome 1.

Long Name

Sepiapterin Reductase

Alternate Names

EC 1.1.1.153, Gm10328, SDR38C1

Gene Symbol

SPR

Additional SPR Products

Product Documents for SPR Antibody (OTI4F5) - Azide and BSA Free

Certificate of Analysis

To download a Certificate of Analysis, please enter a lot number in the search box below.

Product Specific Notices for SPR Antibody (OTI4F5) - Azide and BSA Free

This product is for research use only and is not approved for use in humans or in clinical diagnosis. Primary Antibodies are guaranteed for 1 year from date of receipt.

Loading...
Loading...
Loading...
Loading...
Loading...
Loading...