SPR Antibody (OTI4F5)
Novus Biologicals, part of Bio-Techne | Catalog # NBP2-03256
 
      Conjugate
              Catalog #
              
            Forumulation
              Catalog #
              
            Key Product Details
Species Reactivity
                  Human, Rat
                
                                                                                        Applications
                  Flow Cytometry, Immunocytochemistry/ Immunofluorescence, Immunohistochemistry, Immunohistochemistry-Paraffin, Western Blot
                
                                                              Label
            Unconjugated
          
        Antibody Source
            Monoclonal Mouse IgG1 Clone # OTI4F5
          
        Concentration
            0.31 mg/ml
          
        Product Specifications
Immunogen
                          Full length human recombinant protein of human SPR (NP_003115) produced in HEK293T cell.
                      
        Clonality
                          Monoclonal
                      
        Host
                          Mouse
                      
        Isotype
                          IgG1
                      
        Theoretical MW
                          27.9 kDa.
Disclaimer note: The observed molecular weight of the protein may vary from the listed predicted molecular weight due to post translational modifications, post translation cleavages, relative charges, and other experimental factors.
        Disclaimer note: The observed molecular weight of the protein may vary from the listed predicted molecular weight due to post translational modifications, post translation cleavages, relative charges, and other experimental factors.
Description
                          Novus Biologicals Mouse SPR Antibody (OTI4F5) (NBP2-03256) is a monoclonal antibody validated for use in IHC, WB, Flow and ICC/IF. All Novus Biologicals antibodies are covered by our 100% guarantee.
                      
        Scientific Data Images for SPR Antibody (OTI4F5)
    
        Western Blot: SPR Antibody (4F5) [NBP2-03256] Analysis of extracts (35ug) from 9 different cell lines by using anti-SPR monoclonal antibody.
  
Immunocytochemistry/ Immunofluorescence: SPR Antibody (OTI4F5) [NBP2-03256]
Immunocytochemistry/Immunofluorescence: SPR Antibody (4F5) [NBP2-03256] - Staining of COS7 cells transiently transfected by pCMV6-ENTRY SPR.Immunohistochemistry-Paraffin: SPR Antibody (OTI4F5) [NBP2-03256]
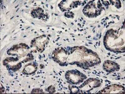
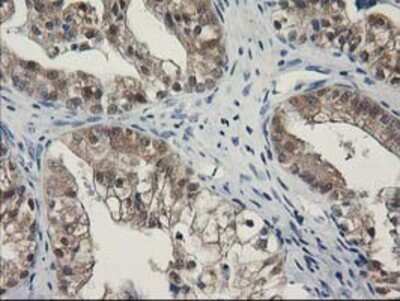
Immunohistochemistry-Paraffin: SPR Antibody (4F5) [NBP2-03256] - Staining of paraffin-embedded Human pancreas tissue using anti-SPR mouse monoclonal antibody.Applications for SPR Antibody (OTI4F5)
          Application
        
        
          Recommended Usage
        
      Flow Cytometry
                                                1:100
                                                            
                  Immunocytochemistry/ Immunofluorescence
                                                1:100
                                                            
                  Immunohistochemistry
                                                1:150
                                                            
                  Immunohistochemistry-Paraffin
                                                1:150
                                                            
                  Western Blot
                                                1:500-2000
                                                            
                  Formulation, Preparation, and Storage
Purification
                          Immunogen affinity purified
                      
        Formulation
                          PBS (pH 7.3), 1.0% BSA and 50% Glycerol
                      
        Preservative
                          0.02% Sodium Azide
                      
        Concentration
                          0.31 mg/ml
                      
        Shipping
                          The product is shipped with polar packs. Upon receipt, store it immediately at the temperature recommended below.
                      
        Stability & Storage
                          Store at -20C. Avoid freeze-thaw cycles.
                      
        Background: SPR
Long Name
            Sepiapterin Reductase
          
        Alternate Names
            EC 1.1.1.153, Gm10328, SDR38C1
          
        Entrez Gene IDs
            6697 (Human)
          
        Gene Symbol
            SPR
          
        Additional SPR Products
Product Documents for SPR Antibody (OTI4F5)
Product Specific Notices for SPR Antibody (OTI4F5)
This product is for research use only and is not approved for use in humans or in clinical diagnosis. Primary Antibodies are guaranteed for 1 year from date of receipt.
    Loading...
  
    Loading...
  
    Loading...
  
    Loading...
  
Loading...
![Immunocytochemistry/ Immunofluorescence: SPR Antibody (OTI4F5) [NBP2-03256] Immunocytochemistry/ Immunofluorescence: SPR Antibody (OTI4F5) [NBP2-03256]](https://resources.bio-techne.com/images/products/SPR-Antibody-4F5-Immunocytochemistry-Immunofluorescence-NBP2-03256-img0012.jpg) 
              ![Immunohistochemistry-Paraffin: SPR Antibody (OTI4F5) [NBP2-03256] Immunohistochemistry-Paraffin: SPR Antibody (OTI4F5) [NBP2-03256]](https://resources.bio-techne.com/images/products/SPR-Antibody-4F5-Immunohistochemistry-Paraffin-NBP2-03256-img0011.jpg) 
              ![Flow Cytometry: SPR Antibody (OTI4F5) [NBP2-03256] Flow Cytometry: SPR Antibody (OTI4F5) [NBP2-03256]](https://resources.bio-techne.com/images/products/SPR-Antibody-4F5-Flow-Cytometry-NBP2-03256-img0002.jpg) 
              ![Western Blot: SPR Antibody (OTI4F5) [NBP2-03256] Western Blot: SPR Antibody (OTI4F5) [NBP2-03256]](https://resources.bio-techne.com/images/products/SPR-Antibody-4F5-Western-Blot-NBP2-03256-img0003.jpg) 
                  ![Immunohistochemistry-Paraffin: SPR Antibody (OTI4F5) [NBP2-03256] Immunohistochemistry-Paraffin: SPR Antibody (OTI4F5) [NBP2-03256]](https://resources.bio-techne.com/images/products/SPR-Antibody-4F5-Immunohistochemistry-Paraffin-NBP2-03256-img0004.jpg) 
                  ![Immunohistochemistry-Paraffin: SPR Antibody (OTI4F5) [NBP2-03256] Immunohistochemistry-Paraffin: SPR Antibody (OTI4F5) [NBP2-03256]](https://resources.bio-techne.com/images/products/SPR-Antibody-4F5-Immunohistochemistry-Paraffin-NBP2-03256-img0005.jpg) 
                  ![Immunohistochemistry-Paraffin: SPR Antibody (OTI4F5) [NBP2-03256] Immunohistochemistry-Paraffin: SPR Antibody (OTI4F5) [NBP2-03256]](https://resources.bio-techne.com/images/products/SPR-Antibody-4F5-Immunohistochemistry-Paraffin-NBP2-03256-img0006.jpg) 
                  ![Immunohistochemistry-Paraffin: SPR Antibody (OTI4F5) [NBP2-03256] Immunohistochemistry-Paraffin: SPR Antibody (OTI4F5) [NBP2-03256]](https://resources.bio-techne.com/images/products/SPR-Antibody-4F5-Immunohistochemistry-Paraffin-NBP2-03256-img0007.jpg) 
                  ![Immunohistochemistry-Paraffin: SPR Antibody (OTI4F5) [NBP2-03256] Immunohistochemistry-Paraffin: SPR Antibody (OTI4F5) [NBP2-03256]](https://resources.bio-techne.com/images/products/SPR-Antibody-4F5-Immunohistochemistry-Paraffin-NBP2-03256-img0008.jpg) 
                  ![Immunohistochemistry-Paraffin: SPR Antibody (OTI4F5) [NBP2-03256] Immunohistochemistry-Paraffin: SPR Antibody (OTI4F5) [NBP2-03256]](https://resources.bio-techne.com/images/products/SPR-Antibody-4F5-Immunohistochemistry-Paraffin-NBP2-03256-img0009.jpg) 
                  ![Immunohistochemistry-Paraffin: SPR Antibody (OTI4F5) [NBP2-03256] Immunohistochemistry-Paraffin: SPR Antibody (OTI4F5) [NBP2-03256]](https://resources.bio-techne.com/images/products/SPR-Antibody-4F5-Immunohistochemistry-Paraffin-NBP2-03256-img0010.jpg) 
                  ![Flow Cytometry: SPR Antibody (OTI4F5) [NBP2-03256] Flow Cytometry: SPR Antibody (OTI4F5) [NBP2-03256]](https://resources.bio-techne.com/images/products/SPR-Antibody-4F5-Flow-Cytometry-NBP2-03256-img0001.jpg)