Skip to main content

Key Product Details

Species Reactivity

Validated:

Rat

Cited:

Human, Mouse

Applications

Validated:

Immunohistochemistry, Western Blot

Cited:

Immunohistochemistry, Immunohistochemistry-Paraffin, Immunohistochemistry-Frozen, Western Blot, Neutralization, Immunocytochemistry, Immunoprecipitation, Functional Assay

Label

Unconjugated

Antibody Source

Polyclonal Goat IgG

Product Specifications

Immunogen

Mouse myeloma cell line NS0-derived recombinant rat UNC5H2
Gly27-Asp373
Accession # O08722

Specificity

Detects rat UNC5H2 in direct ELISAs and Western blots.

Clonality

Polyclonal

Host

Goat

Isotype

IgG

Scientific Data Images for Rat UNC5H2/UNC5B Antibody

Detection of Rat UNC5H2 antibody by Western Blot.

Detection of Rat UNC5H2 by Western Blot.

Western blot shows lysates of rat spinal cord tissue. PVDF membrane was probed with 0.25 µg/mL of Goat Anti-Rat UNC5H2 Antigen Affinity-purified Polyclonal Antibody (Catalog # AF1006) followed by HRP-conjugated Anti-Goat IgG Secondary Antibody (HAF019). A specific band was detected for UNC5H2 at approximately 110 kDa (as indicated). This experiment was conducted under reducing conditions and using Immunoblot Buffer Group 1.

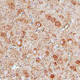
UNC5H2/UNC5B in Rat Brain.

UNC5H2/UNC5B was detected in perfusion fixed paraffin-embedded sections of rat brain using Goat Anti-Rat UNC5H2/UNC5B Antigen Affinity-purified Polyclonal Antibody (Catalog # AF1006) at 5 µg/mL for 1 hour at room temperature followed by incubation with the Anti-Goat IgG VisUCyte™ HRP Polymer Antibody (VC004). Before incubation with the primary antibody, tissue was subjected to heat-induced epitope retrieval using Antigen Retrieval Reagent-Basic (CTS013). Tissue was stained using DAB (brown) and counterstained with hematoxylin (blue). Specific staining was localized to neuronal cell bodies.
Detection of Mouse UNC5H2/UNC5B by Western Blot

Detection of Mouse UNC5H2/UNC5B by Western Blot

Expression of UNC5B-D, DCC, neogenin, and A2b in retinas of normal and OIR mice on P12, P17, and P21. (a) Expression of UNC5B-D, DCC, neogenin, and A2b in normal and OIR mice. (b) Relative grayscale of UNC5B-D, DCC, neogenin, A2b, and GAPDH in normal and OIR groups. The UNC5B level of the OIR group is increased significantly compared with the normal group on P17 and P21 (p < 0.05), while the expressions of UNC5C, UNC5D, neogenin, A2b, and DCC show no significant differences between the normal and OIR mice (p > 0.05). In normal mice, DCC expression is greater on P12 than P17 and P21 (p < 0.05), and neogenin expression increases (p < 0.05) from P12 to P21. Image collected and cropped by CiteAb from the following open publication (https://pubmed.ncbi.nlm.nih.gov/25149138), licensed under a CC-BY license. Not internally tested by R&D Systems.

Applications for Rat UNC5H2/UNC5B Antibody

Application
Recommended Usage

Immunohistochemistry

5-15 µg/mL
Sample: Immersion fixed frozen sections of rat brain

Western Blot

0.25 µg/mL
Sample: Rat spinal cord tissue

Formulation, Preparation, and Storage

Purification

Antigen Affinity-purified

Reconstitution

Reconstitute at 0.2 mg/mL in sterile PBS. For liquid material, refer to CoA for concentration.

Reconstitution Buffer Available:
Size / Price
Qty
Loading...

Formulation

Lyophilized from a 0.2 μm filtered solution in PBS with Trehalose. *Small pack size (SP) is supplied either lyophilized or as a 0.2 µm filtered solution in PBS.

Shipping

Lyophilized product is shipped at ambient temperature. Liquid small pack size (-SP) is shipped with polar packs. Upon receipt, store immediately at the temperature recommended below.

Stability & Storage

Use a manual defrost freezer and avoid repeated freeze-thaw cycles.
  • 12 months from date of receipt, -20 to -70 °C as supplied.
  • 1 month, 2 to 8 °C under sterile conditions after reconstitution.
  • 6 months, -20 to -70 °C under sterile conditions after reconstitution.

Background: UNC5H2/UNC5B

Caenorhabditis elegans UNC5 (UNC = behaviorally uncoordinated) and its mammalian homologues (including rat UNC5H1 and H2, mouse UNC5H2 and H3 (also known as rostral cerebellar malformation, RCM), and human UNC5H3 and H4) are transmembrane proteins belonging to the immunoglobulin (Ig) superfamily. All UNC5 family members have two Ig and two thrombospondin type 1 domains in their extracellular regions, as well as a conserved ZU-5 domain, a DCC (Deleted in Colorectal Cancer)-binding domain (DB) and a C-terminal death domain (DD) in their cytoplasmic regions (1, 2).

UNC5 family proteins are receptors for the netrin/UNC6 (netr: Sanskrit for “one who guides”) family of secreted axon guidance cues that are laminin-related proteins. Netrin family proteins can act as a chemoattractant for some axons and as a chemorepellent for others. Besides UNC5, netrin family proteins also bind to the DCC family of type I transmembrane receptors that share sequence similarity with proteins of the NCAM family, and adenosine A2b receptor, a G protein-coupled seven‑transmembrane receptor belonging to the adenosine receptor family (3, 4). In vitro, netrin binding to DCC family receptors in the absence of UNC5 is associated with axon attraction. However, the DCC-mediated attraction to netrin is converted to repulsion by binding of UNC5 to the DCC-netrin complex. In vivo, the mechanisms of netrin-dependent axon attraction and repulsion are more complex and may include UNC5-mediated repulsion that is independent of DCC (1, 5). Besides their roles in axon guidance and neuronal migration, the UNC5 and DCC families also act as dependence receptors and exert pro-apoptotic effects in the absence of netrin (6).

Rat UNC5H2 cDNA encodes a 945 amino acid residues (aa) type I membrane protein with a putative 26 aa signal peptide and 347 aa extracellular domain. The extracellular domain of rat UNC5H2 shares approximately 65%, 73% and 73% aa sequence similarity with that of rat UNC5H1, human UNC5H3 and mouse UNC5H3, respectively.

References

  1. Hong, K. et al. (1999) Cell 97:927.
  2. Leonardo, E.D. et al. (1997) Nature 386:833.
  3. Culotti, J.B. and D.C. Merz (1998) Curr. Opin. Cell Biol. 10:609.
  4. Corset, V. (2000) Nature 407:747.
  5. Merz, D.C. (2001) Genetics 158:1071.
  6. Llambi, F. et al. (2001) EMBO J. 20:2715.

Long Name

Netrin Receptor UNC5B

Alternate Names

UNC5B

Entrez Gene IDs

219699 (Human); 60630 (Rat)

Gene Symbol

UNC5B

UniProt

Additional UNC5H2/UNC5B Products

Product Documents for Rat UNC5H2/UNC5B Antibody

Certificate of Analysis

To download a Certificate of Analysis, please enter a lot number in the search box below.

Note: Certificate of Analysis not available for kit components.

Product Specific Notices for Rat UNC5H2/UNC5B Antibody

This product or the use of this product is covered by U.S. Patents owned by The Regents of the University of California. This product is for research use only and is not to be used for commercial purposes. Use of this product to produce products for sale or for diagnostic, therapeutic or drug discovery purposes is prohibited. In order to obtain a license to use this product for such purposes, contact The Regents of the University of California.

U.S. Patent # 5,939,271, 6,277,585, and other U.S. and international patents pending.

For research use only

Loading...
Loading...
Loading...
Loading...