Skip to main content

Key Product Details

Species Reactivity

Validated:

Rat

Cited:

Rat

Applications

Validated:

Immunohistochemistry, Western Blot, Simple Western

Cited:

Western Blot

Label

Unconjugated

Antibody Source

Polyclonal Goat IgG

Product Specifications

Immunogen

Mouse myeloma cell line NS0-derived recombinant rat C-Reactive Protein/CRP
His20-Ser230
Accession # P48199

Specificity

Detects rat C‑Reactive Protein/CRP in direct ELISAs and Western blots. In Western blots, approximately 20% cross-reactivity with recombinant mouse CRP is observed and 10% cross-reactivity with recombinant human CRP is observed.

Clonality

Polyclonal

Host

Goat

Isotype

IgG

Scientific Data Images for Rat C-Reactive Protein/CRP Antibody

Detection of Rat C-Reactive Protein/CRP antibody by Western Blot.

Detection of Rat C‑Reactive Protein/CRP by Western Blot.

Western blot shows lysates of rat liver tissue. PVDF membrane was probed with 1 µg/mL of Goat Anti-Rat C-Reactive Protein/CRP Antigen Affinity-purified Polyclonal Antibody (Catalog # AF1744) followed by HRP-conjugated Anti-Goat IgG Secondary Antibody (Catalog # HAF017). A specific band was detected for C-Reactive Protein/CRP at approximately 28 kDa (as indicated). This experiment was conducted under reducing conditions and using Immunoblot Buffer Group 1.
Detection of Rat C-Reactive Protein/CRP antibody by Simple WesternTM.

Detection of Rat C‑Reactive Protein/CRP by Simple WesternTM.

Simple Western lane view shows lysates of rat liver tissue, loaded at 0.2 mg/mL. A specific band was detected for C-Reactive Protein/CRP at approximately 34 kDa (as indicated) using 10 µg/mL of Goat Anti-Rat C-Reactive Protein/CRP Antigen Affinity-purified Polyclonal Antibody (Catalog # AF1744) followed by 1:50 dilution of HRP-conjugated Anti-Goat IgG Secondary Antibody (Catalog # HAF109). This experiment was conducted under reducing conditions and using the 12-230 kDa separation system.
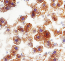
C-Reactive Protein/CRP antibody in Rat Liver by Immunohistochemistry (IHC-Fr).

C-Reactive Protein/CRP in Rat Liver.

C-Reactive Protein/CRP was detected in perfusion fixed frozen sections of rat liver using Goat Anti-Rat C-Reactive Protein/CRP Antigen Affinity-purified Polyclonal Antibody (Catalog # AF1744) at 5 µg/mL overnight at 4 °C. Tissue was stained using the Anti-Goat HRP-DAB Cell & Tissue Staining Kit (brown; Catalog # CTS008) and counterstained with hematoxylin (blue). Specific labeling was localized to the cytoplasm of hepatocytes. View our protocol for Chromogenic IHC Staining of Frozen Tissue Sections.

Applications for Rat C-Reactive Protein/CRP Antibody

Application
Recommended Usage

Immunohistochemistry

5-15 µg/mL
Sample: Perfusion fixed frozen sections of rat liver

Simple Western

10 µg/mL
Sample: Rat liver tissue

Western Blot

1 µg/mL
Sample: Rat liver tissue

Formulation, Preparation, and Storage

Purification

Antigen Affinity-purified

Reconstitution

Reconstitute at 0.2 mg/mL in sterile PBS. For liquid material, refer to CoA for concentration.

Reconstitution Buffer Available:
Size / Price
Qty
Loading...

Formulation

Lyophilized from a 0.2 μm filtered solution in PBS with Trehalose. *Small pack size (SP) is supplied either lyophilized or as a 0.2 µm filtered solution in PBS.

Shipping

Lyophilized product is shipped at ambient temperature. Liquid small pack size (-SP) is shipped with polar packs. Upon receipt, store immediately at the temperature recommended below.

Stability & Storage

Use a manual defrost freezer and avoid repeated freeze-thaw cycles.
  • 12 months from date of receipt, -20 to -70 °C as supplied.
  • 1 month, 2 to 8 °C under sterile conditions after reconstitution.
  • 6 months, -20 to -70 °C under sterile conditions after reconstitution.

Background: C-Reactive Protein/CRP

C-Reactive Protein (CRP) is a member of the pentraxin family of proteins that are characterized by a cyclic pentameric structure. The rat CRP gene encodes a 230 amino acid (aa) precursor with a signal peptide of 19 aa and the mature polypeptide of 211 aa. Rat CRP shares 64% and 70% aa sequence homology with human and mouse CRP respectively. Human, mouse and rabbit CRP are non-glycosylated proteins, and the units are non-covalently linked to form the pentameter. In contrast, rat CRP is a glycoprotein and contains a covalently linked dimer in the pentameter. CRP exhibits Ca++-dependent binding to ligands. Phosphocholine (PCh), a constituent of many bacterial and fungal walls, is a principal ligand of CRP. CRP also binds to the membrane of injured cells, the membrane and nuclear components of necrotic and apoptotic cells. Upon binding with the ligands, CRP is recognized by C1q and initiates the activation of complement cascade. Ligand bound CRP also binds to Fc gamma RI and Fc gamma RIIa on phagocytes and activates phagocytotic responses. In addition to phagocytosis, CRP also induces the production of hydrogen peroxide and inflammatory cytokines, such as IL-1, IL-6 and TNF-alpha. In human and rabbits, CRP is an important acute-phase protein that plays a role in the first line of host innate defense. The level of plasma CRP at basal conditions in human and rabbits is very low, and can increase 1,000-fold within 24‑48 hours in response to infection, inflammation or tissue damage. In rats, CRP exists at a high level at basal conditions and only increases about 2-fold in response to injury. CRP is not a typical acute-phase protein in rat and is a minor component in response to injury. In mice, CRP is expressed at very low levels and is not an acute phase reactant. Serum amyloid P component (SAP), another pentraxin, is an acute phase serum protein in mice.

References

  1. Mohammad, R. et al. (1992) J. Biol. Chem. 267:2947.
  2. Sambasivam, H. et al. (1993) J. Biol. Chem. 268:10007.
  3. Padilla, N.D. et al. (2003) Immunology 109:564.
  4. Volanakis, J.E. (2001) Molecular Immunology 38:189.

Alternate Names

CRP

Entrez Gene IDs

1401 (Human); 12944 (Mouse); 25419 (Rat)

Gene Symbol

CRP

UniProt

Additional C-Reactive Protein/CRP Products

Product Documents for Rat C-Reactive Protein/CRP Antibody

Certificate of Analysis

To download a Certificate of Analysis, please enter a lot number in the search box below.

Note: Certificate of Analysis not available for kit components.

Product Specific Notices for Rat C-Reactive Protein/CRP Antibody

For research use only

Loading...
Loading...
Loading...
Loading...
Loading...