Skip to main content

PRMT5 Antibody (OTI2H3)

Novus Biologicals, part of Bio-Techne | Catalog # NBP2-45394

Novus Biologicals, part of Bio-Techne
Catalog #
Availability
Size / Price
Qty
Loading...
NBP2-45394

Key Product Details

Species Reactivity

Human, Mouse, Rat

Applications

Immunohistochemistry, Immunohistochemistry-Paraffin

Label

Unconjugated

Antibody Source

Monoclonal Mouse IgG2A Clone # OTI2H3

Concentration

1 mg/ml

Product Specifications

Immunogen

Human recombinant protein fragment corresponding to amino acids 238-499 of human PRMT5(NP_006100) produced in E.coli.

Reactivity Notes

Please note that this antibody is reactive to Mouse and derived from the same host, Mouse. Mouse-On-Mouse blocking reagent may be needed for IHC and ICC experiments to reduce high background signal. You can find these reagents under catalog numbers PK-2200-NB and MP-2400-NB. Please contact Technical Support if you have any questions.

Clonality

Monoclonal

Host

Mouse

Isotype

IgG2A

Theoretical MW

72.5 kDa.
Disclaimer note: The observed molecular weight of the protein may vary from the listed predicted molecular weight due to post translational modifications, post translation cleavages, relative charges, and other experimental factors.

Description

Novus Biologicals Mouse PRMT5 Antibody (OTI2H3) (NBP2-45394) is a monoclonal antibody validated for use in IHC. All Novus Biologicals antibodies are covered by our 100% guarantee.

Scientific Data Images for PRMT5 Antibody (OTI2H3)

Immunohistochemistry: PRMT5 Antibody (OTI2H3) [NBP2-45394]

Immunohistochemistry: PRMT5 Antibody (OTI2H3) [NBP2-45394]

Immunohistochemistry: PRMT5 Antibody (2H3) [NBP2-45394] - Analysis of Human lymphoma tissue. (Heat-induced epitope retrieval by 1mM EDTA in 10mM Tris buffer (pH8.5) at 120C for 3 min)
Immunohistochemistry: PRMT5 Antibody (OTI2H3) [NBP2-45394]

Immunohistochemistry: PRMT5 Antibody (OTI2H3) [NBP2-45394]

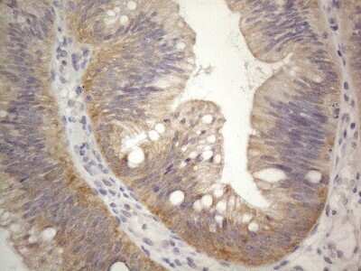
Immunohistochemistry: PRMT5 Antibody (2H3) [NBP2-45394] - Analysis of Human colon tissue. (Heat-induced epitope retrieval by 1mM EDTA in 10mM Tris buffer (pH8.5) at 120C for 3 min)
Immunohistochemistry: PRMT5 Antibody (OTI2H3) [NBP2-45394]

Immunohistochemistry: PRMT5 Antibody (OTI2H3) [NBP2-45394]

Immunohistochemistry: PRMT5 Antibody (2H3) [NBP2-45394] - Analysis of Adenocarcinoma of Human colon tissue. (Heat-induced epitope retrieval by 1mM EDTA in 10mM Tris buffer (pH8.5) at 120C for 3 min)

Applications for PRMT5 Antibody (OTI2H3)

Application
Recommended Usage

Immunohistochemistry

1:150

Formulation, Preparation, and Storage

Purification

Immunogen affinity purified

Formulation

PBS (pH 7.3), 1.0% BSA, 50% Glycerol

Preservative

0.02% Sodium Azide

Concentration

1 mg/ml

Shipping

The product is shipped with polar packs. Upon receipt, store it immediately at the temperature recommended below.

Stability & Storage

Store at -20C. Avoid freeze-thaw cycles.

Background: PRMT5

Arginine methylation is an irreversible post translational modification linked to protein activity. At least three types of PRMT enzymes have been identified in mammalian cells. These enzymes have been shown to have essential regulatory functions by methylation of key proteins in several fundamental areas. These proteins include nuclear proteins (Histone 2A, 3, 4), IL enhancer binding factor, nuclear factors (NF45, 90, ILF3, Nucleolin, STAT1, Poly(A) binding protein II), cell cycle proteins (phosphoprotein phosphatase 2A), signal transduction proteins (FGF2, Fibrillarin, FN, INFAR1, Jak, MBP, Src-adaptor Sam68), apoptosis proteins (FADD, ICE-like protease), and viral proteins (Hepatitis C NS3 RNA Helicase, HIV TAR). The mammalian PRMT family currently consists of 5 members that share two large domains of homology. Outside of these domains, epitopes were identified and antibodies against all five PRMT members have been developed. These antibodies can be utilized to explore arginine methylation and its regulatory functions.

Long Name

Protein arginine N-methyltransferase 5

Alternate Names

EC 2.1.1.320, HRMT1L5, IBP72, JBP1, SKB1, SKB1 homolog

Gene Symbol

PRMT5

Additional PRMT5 Products

Product Documents for PRMT5 Antibody (OTI2H3)

Certificate of Analysis

To download a Certificate of Analysis, please enter a lot number in the search box below.

Product Specific Notices for PRMT5 Antibody (OTI2H3)

This product is for research use only and is not approved for use in humans or in clinical diagnosis. Primary Antibodies are guaranteed for 1 year from date of receipt.

Loading...
Loading...
Loading...
Loading...