Skip to main content

Key Product Details

Species Reactivity

Validated:

Mouse, Rat

Cited:

Human, Mouse

Applications

Validated:

Immunohistochemistry, Western Blot

Cited:

Immunohistochemistry, Western Blot, Immunoprecipitation

Label

Unconjugated

Antibody Source

Polyclonal Goat IgG

Product Specifications

Immunogen

E. coli-derived recombinant mouse Plexin A3
Leu34-Asp150
Accession # P70208

Specificity

Detects mouse Plexin A3 in direct ELISAs and Western blots. In direct ELISAs and Western blots, less than 5% cross-reactivity with recombinant mouse (rm) Plexin A1, rmPlexin A2, recombinant human (rh) Plexin B1, rhPlexin C1, and rhPlexin D1 is observed.

Clonality

Polyclonal

Host

Goat

Isotype

IgG

Scientific Data Images for Mouse/Rat Plexin A3 Antibody

Plexin A3 antibody in Rat Spinal Cord by Immunohistochemistry (IHC-Fr).

Plexin A3 in Mouse Spinal Cord.

Plexin A3 was detected in immersion fixed frozen sections of 13 d.p.c. embryonic mouse spinal cord using Goat Anti-Mouse Plexin A3 Antigen Affinity-purified Polyclonal Antibody (Catalog # AF4075) at 10 µg/mL overnight at 4 °C. Tissue was stained using the NorthernLights™ 557-conjugated Anti-Goat IgG Secondary Antibody (red; Catalog # NL001) and counterstained with DAPI (blue). View our protocol for Fluorescent IHC Staining of Frozen Tissue Sections.

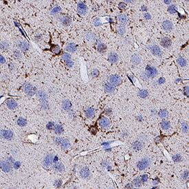
Plexin A3 in Rat Brain (Cortex).

Plexin A3 was detected in immersion fixed paraffin-embedded sections of rat brain (cortex) using Goat Anti-Mouse/Rat Plexin A3 Antigen Affinity-purified Polyclonal Antibody (Catalog # AF4075) at 10 µg/mL for 1 hour at room temperature followed by incubation with the Anti-Goat IgG VisUCyte™ HRP Polymer Antibody (VC004). Before incubation with the primary antibody, tissue was subjected to heat-induced epitope retrieval using Antigen Retrieval Reagent-Basic (CTS013). Tissue was stained using DAB (brown) and counterstained with hematoxylin (blue). Specific staining was localized to neuroglia. Staining was performed using our protocol for IHC Staining with VisUCyte HRP Polymer Detection Reagents.

Applications for Mouse/Rat Plexin A3 Antibody

Application
Recommended Usage

Immunohistochemistry

5-15 µg/mL
Sample: Immersion fixed frozen sections of 13 d.p.c. embryonic mouse spinal cord and immersion fixed paraffin-embedded sections of rat brain (cortex)

Western Blot

0.1 µg/mL
Sample: Recombinant Mouse Plexin A3

Formulation, Preparation, and Storage

Purification

Antigen Affinity-purified

Reconstitution

Reconstitute at 0.2 mg/mL in sterile PBS. For liquid material, refer to CoA for concentration.

Reconstitution Buffer Available:
Size / Price
Qty
Loading...

Formulation

Lyophilized from a 0.2 μm filtered solution in PBS with Trehalose. *Small pack size (SP) is supplied either lyophilized or as a 0.2 µm filtered solution in PBS.

Shipping

Lyophilized product is shipped at ambient temperature. Liquid small pack size (-SP) is shipped with polar packs. Upon receipt, store immediately at the temperature recommended below.

Stability & Storage

Use a manual defrost freezer and avoid repeated freeze-thaw cycles.
  • 12 months from date of receipt, -20 to -70 °C as supplied.
  • 1 month, 2 to 8 °C under sterile conditions after reconstitution.
  • 6 months, -20 to -70 °C under sterile conditions after reconstitution.

Background: Plexin A3

Plexin A3 (also known as SEX) is a 220 kDa member of the Plexin A subfamily of semaphorin receptors. Mature mouse Plexin A3 is predicted to be an 1853 amino acid (aa) type I transmembrane glycoprotein that contains a 1202 aa extracellular domain (ECD) and a 629 aa cytoplasmic region. The ECD contains one semaphorin domain (aa 34-473), three plexin-semaphorin-integrin (PSI) domains (aa 492-830), and four lg-like plexin-transcription factor (IPT) repeats (aa 841-1209). Plexin A3 interacts with neuropilins 1 and 2, and binds class 3 semaphorins. Over aa 35-150, mouse Plexin A3 is 99% and 97% aa identical to rat and human Plexin A3, respectively.

Alternate Names

Plxn3, PLXN4, PLXNA3, SEX, XAP-6

Entrez Gene IDs

55558 (Human); 18846 (Mouse); 309280 (Rat)

Gene Symbol

PLXNA3

UniProt

Additional Plexin A3 Products

Product Documents for Mouse/Rat Plexin A3 Antibody

Certificate of Analysis

To download a Certificate of Analysis, please enter a lot number in the search box below.

Note: Certificate of Analysis not available for kit components.

Product Specific Notices for Mouse/Rat Plexin A3 Antibody

For research use only

Loading...
Loading...
Loading...
Loading...