Mouse PRAT4A Antibody
R&D Systems, part of Bio-Techne | Catalog # AF4429
Key Product Details
Species Reactivity
Validated:
Cited:
Applications
Validated:
Cited:
Label
Antibody Source
Product Specifications
Immunogen
Glu38-Leu276
Accession # Q9DAU1
Specificity
Clonality
Host
Isotype
Scientific Data Images for Mouse PRAT4A Antibody
Detection of Mouse PRAT4A by Western Blot.
Western blot shows lysates of Neuro-2A mouse neuroblastoma cell line and RAW 264.7 mouse monocyte/macrophage cell line. PVDF Membrane was probed with 1 µg/mL of Goat Anti-Mouse PRAT4A Antigen Affinity-purified Polyclonal Antibody (Catalog # AF4429) followed by HRP-conjugated Anti-Goat IgG Secondary Antibody (Catalog # HAF019). A specific band was detected for PRAT4A at approximately 40 kDa (as indicated). This experiment was conducted under reducing conditions and using Immunoblot Buffer Group 8.PRAT4A in Mouse Brain.
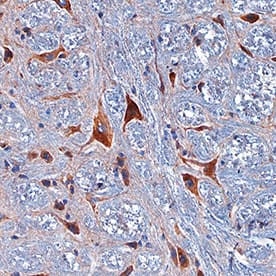
PRAT4A was detected in immersion fixed paraffin-embedded sections of mouse brain (thalamus) using Goat Anti-Mouse PRAT4A Antigen Affinity-purified Polyclonal Antibody (Catalog # AF4429) at 1 µg/mL for 1 hour at room temperature followed by incubation with the Anti-Goat IgG VisUCyte™ HRP Polymer Antibody (Catalog # VC004). Tissue was stained using DAB (brown) and counterstained with hematoxylin (blue). Specific staining was localized to cytoplasm in neurons. View our protocol for IHC Staining with VisUCyte HRP Polymer Detection Reagents.Applications for Mouse PRAT4A Antibody
Immunohistochemistry
Sample: Immersion fixed paraffin-embedded sections of mouse brain (thalamus)
Western Blot
Sample: Neuro‑2A mouse neuroblastoma cell line and RAW 264.7 mouse monocyte/macrophage cell line
Formulation, Preparation, and Storage
Purification
Reconstitution
Formulation
Shipping
Stability & Storage
- 12 months from date of receipt, -20 to -70 °C as supplied.
- 1 month, 2 to 8 °C under sterile conditions after reconstitution.
- 6 months, -20 to -70 °C under sterile conditions after reconstitution.
Background: PRAT4A
PRAT4A (Protein associated with TLR4-A) is a ubiquitously expressed, 40 kDa protein that participates in Toll receptor expression. Mouse PRAT4A is 276 amino acids (aa) in length. It contains a putative signal sequence of 37 aa, followed by a 239 aa mature region. Although the presence of a signal sequence suggests it is secreted, its best known activity involves an intracellular association with TLR4. PRAT4A appears to facilitate the maturation and expression of TLR4 on the cell surface. Studies suggest this involves the C-terminal 60 amino acids. Mature mouse PRAT4A shares 90% and 96% aa identity with human and rat PRAT4A, respectively.
Long Name
Alternate Names
Gene Symbol
UniProt
Additional PRAT4A Products
Product Documents for Mouse PRAT4A Antibody
Product Specific Notices for Mouse PRAT4A Antibody
For research use only