Skip to main content

Key Product Details

Species Reactivity

Validated:

Mouse

Cited:

Human, Mouse

Applications

Validated:

Immunohistochemistry, Western Blot, Simple Western

Cited:

Immunohistochemistry, Western Blot

Label

Unconjugated

Antibody Source

Polyclonal Sheep IgG

Product Specifications

Immunogen

E. coli-derived recombinant mouse Midkine
Gly89-Asp140
Accession # P12025

Specificity

Detects mouse Midkine in direct ELISAs and Western blots. In direct ELISAs, approximately 20% cross-reactivity with recombinant human Midkine is observed.

Clonality

Polyclonal

Host

Sheep

Isotype

IgG

Scientific Data Images for Mouse Midkine Antibody

Detection of Mouse Midkine antibody by Western Blot.

Detection of Mouse Midkine by Western Blot.

Western blot shows lysates of mouse embryo tissue. PVDF membrane was probed with 1 µg/mL of Sheep Anti-Mouse Midkine Antigen Affinity-purified Polyclonal Antibody (Catalog # AF7769) followed by HRP-conjugated Anti-Sheep IgG Secondary Antibody (Catalog # HAF016). A specific band was detected for Midkine at approximately 15-17 kDa (as indicated). This experiment was conducted under reducing conditions and using Immunoblot Buffer Group 1.
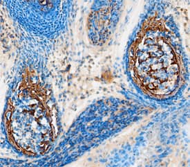
Midkine antibody in Mouse Embryo by Immunohistochemistry (IHC-P).

Midkine in Mouse Embryo.

Midkine was detected in immersion fixed paraffin-embedded sections of mouse embryo (13 d.p.c.) using Sheep Anti-Mouse Midkine Antigen Affinity-purified Polyclonal Antibody (Catalog # AF7769) at 5 µg/mL overnight at 4 °C. Tissue was stained using the Anti-Sheep HRP-DAB Cell & Tissue Staining Kit (brown; Catalog # CTS019) and counterstained with hematoxylin (blue). Specific staining was localized to cartilage primordium in ribs. View our protocol for Chromogenic IHC Staining of Paraffin-embedded Tissue Sections.
Detection of Human and Mouse Midkine antibody by Simple WesternTM.

Detection of Human and Mouse Midkine by Simple WesternTM.

Simple Western lane view shows lysates of mouse embryo tissue, loaded at 0.2 mg/mL. A specific band was detected for Midkine at approximately 26 kDa (as indicated) using 20 µg/mL of Sheep Anti-Mouse Midkine Antigen Affinity-purified Polyclonal Antibody (Catalog # AF7769) followed by 1:50 dilution of HRP-conjugated Anti-Goat IgG Secondary Antibody (Catalog # HAF109). This experiment was conducted under reducing conditions and using the 12-230 kDa separation system.

Applications for Mouse Midkine Antibody

Application
Recommended Usage

Immunohistochemistry

5-15 µg/mL
Sample: Immersion fixed paraffin-embedded sections of mouse embryo (13 d.p.c.)

Simple Western

20 µg/mL
Sample:   Mouse embryo tissue

Western Blot

1 µg/mL
Sample: Mouse embryo tissue

Formulation, Preparation, and Storage

Purification

Antigen Affinity-purified

Reconstitution

Sterile PBS to a final concentration of 0.2 mg/mL. For liquid material, refer to CoA for concentration.

Reconstitution Buffer Available:
Size / Price
Qty
Loading...

Formulation

Lyophilized from a 0.2 μm filtered solution in PBS with Trehalose. *Small pack size (SP) is supplied either lyophilized or as a 0.2 µm filtered solution in PBS.

Shipping

Lyophilized product is shipped at ambient temperature. Liquid small pack size (-SP) is shipped with polar packs. Upon receipt, store immediately at the temperature recommended below.

Stability & Storage

Use a manual defrost freezer and avoid repeated freeze-thaw cycles.
  • 12 months from date of receipt, -20 to -70 °C as supplied.
  • 1 month, 2 to 8 °C under sterile conditions after reconstitution.
  • 6 months, -20 to -70 °C under sterile conditions after reconstitution.

Background: Midkine

Midkine (MK; also Retinoid acid-induced differentiation facor) is a secreted heparin-binding member of the very small pleiotrophin family of proteins. Although its predicted MW is 13 kDa, it runs anomalously at 15-17 kDa in SDS-PAGE. MK is strongly expressed in the embryo, but is known to be secreted in the adult by endothelium, preadipocytes, proximal renal tubular epithelium, and CD4+ T cells. MK has multiple activities, including the inhibition of regulatory T cell production, the promotion of adipocyte formation, and the induction of chemokine production by smooth muscle, the clustering of Ach receptors on myoblasts, and the migration of embryonic neurons plus neutrophils and macrophages. It has multiple receptors, including heparin and chondroitin sulfate, LRP-1, nucleolin, ALK, and PTP-zeta. Mature mouse midkine is 118 amino acids (aa) in length (aa 23-140). It possesses two distinct domains, an N-terminal domain spanning aa 23-71, and a C-terminal domain that encompasses aa 81-140. The C-terminal domain is further divided into two basic amino acid clusters that bind heparin. There are two splice variants reported for mouse midkine. One shows a deletion of aa 39-103, while another shows a deletion of aa 80-133. Midkine will form a covalent, crosslinked homodimer through the action of tissue type II transglutaminase. Full-length mature mouse MK (aa 23-140) shares 97% and 86% aa sequence with full-length rat and human MK, respectively..

Alternate Names

ARAP, MDK, MEK, MK1, NEGF2

Entrez Gene IDs

4192 (Human); 17242 (Mouse)

Gene Symbol

MDK

UniProt

Additional Midkine Products

Product Documents for Mouse Midkine Antibody

Certificate of Analysis

To download a Certificate of Analysis, please enter a lot number in the search box below.

Note: Certificate of Analysis not available for kit components.

Product Specific Notices for Mouse Midkine Antibody

For research use only

Loading...
Loading...
Loading...
Loading...