Skip to main content

Mouse IL-1 alpha/IL-1F1 Antibody

R&D Systems, part of Bio-Techne | Catalog # AF-400-NA

R&D Systems, part of Bio-Techne

Key Product Details

Validated by

Biological Validation

Species Reactivity

Validated:

Mouse

Cited:

Mouse, Transgenic Mouse

Applications

Validated:

Immunohistochemistry, Western Blot, Neutralization

Cited:

Immunohistochemistry, Immunohistochemistry-Frozen, Western Blot, Neutralization, Immunocytochemistry, Bioassay, Functional Assay

Label

Unconjugated

Antibody Source

Polyclonal Goat IgG

Product Specifications

Immunogen

E. coli-derived recombinant mouse IL‑1 alpha/IL‑1F1
Ser6-Ser161
Accession # Q62161

Specificity

Detects mouse IL‑1 alpha/IL‑1F1 in direct ELISAs and Western blots. In direct ELISAs, approximately 25% cross-reactivity with recombinant rat IL‑1 alpha and recombinant cotton rat IL‑1 alpha is observed and less than 1% cross-reactivity with recombinant human IL‑1 alpha is observed.

Clonality

Polyclonal

Host

Goat

Isotype

IgG

Endotoxin Level

<0.10 EU per 1 μg of the antibody by the LAL method.

Scientific Data Images for Mouse IL-1 alpha/IL-1F1 Antibody

Detection of Recombinant Mouse and Rat IL-1a/IL-1F1 antibody by Western Blot.

Detection of Recombinant Mouse and Rat IL‑1 alpha/IL‑1F1 by Western Blot.

Western blot shows 50 ng of Recombinant Mouse IL-1a/IL-1F1 (400-ML), Recombinant Human IL-1a/IL-1F1 (200-LA) and Recombinant Rat IL-1a/IL-1F1 (500-RL). PVDF Membrane was probed with 0.1 µg/mL of Goat Anti-Mouse IL-1a/IL-1F1 Antigen Affinity-purified Polyclonal Antibody (Catalog # AF-400-NA) followed by HRP-conjugated Anti-Goat IgG Secondary Antibody (HAF109). A specific band was detected for IL-1a/IL-1F1 at approximately 16 kDa (as indicated). This experiment was conducted under reducing conditions and using Immunoblot Buffer Group 3.
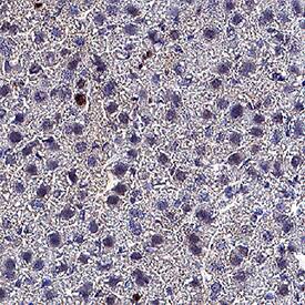
IL-1a/IL-1F1 antibody in Mouse Liver by Immunohistochemistry (IHC-Fr).

IL‑1 alpha/IL‑1F1 in Mouse Liver.

IL-1a/IL-1F1 was detected in perfusion fixed frozen sections of mouse liver using Goat Anti-Mouse IL-1a/IL-1F1 Antigen Affinity-purified Polyclonal Antibody (Catalog # AF-400-NA) at 15 µg/mL overnight at 4 °C. Tissue was stained using the Anti-Goat HRP-DAB Cell & Tissue Staining Kit (brown; CTS008) and counterstained with hematoxylin (blue). Specific staining was localized to cytoplasm in hepatocytes. View our protocol for Chromogenic IHC Staining of Frozen Tissue Sections.
Cell Proliferation Induced by IL‑1 alpha/IL‑1F1 and Neutral-ization by Mouse IL‑1 alpha/IL‑1F1 Antibody.

Cell Proliferation Induced by IL‑1 alpha/IL‑1F1 and Neutral-ization by Mouse IL‑1 alpha/IL‑1F1 Antibody.

Recombinant Mouse IL-1a/IL-1F1 (400-ML) stimulates proliferation in the the D10.G4.1 mouse helper T cell line in a dose-dependent manner (orange line). Proliferation elicited by Recombinant Mouse IL-1a/IL-1F1 (50 pg/mL) is neutralized (green line) by increasing concentrations of Goat Anti-Mouse IL-1a/IL-1F1 Antigen Affinity-purified Polyclonal Antibody (Catalog # AF-400-NA). The ND50 is typically 0.002-0.004 µg/mL.

Applications for Mouse IL-1 alpha/IL-1F1 Antibody

Application
Recommended Usage

Immunohistochemistry

3-15 µg/mL
Sample: Perfusion fixed frozen sections of mouse liver and immersion fixed paraffin-embedded sections of mouse liver

Western Blot

0.1 µg/mL
Sample: Recombinant Mouse IL-1 alpha/IL-1F1 (Catalog # 400-ML)

Neutralization

Measured by its ability to neutralize IL‑1 alpha/IL‑1F1-induced proliferation in the D10.G4.1 mouse helper T cell line. Symons, J. A. et al. (1987) in Lymphokines and Interferons, a Practical Approach. Clemens, M. J. et al. (eds): IRL Press. 272. The Neutralization Dose (ND50) is typically 0.002-0.004 µg/mL in the presence of 50 pg/mL Recombinant Mouse IL‑1 alpha/IL‑1F1.

Reviewed Applications

Read 4 reviews rated 4.8 using AF-400-NA in the following applications:

Formulation, Preparation, and Storage

Purification

Antigen Affinity-purified

Reconstitution

Reconstitute at 0.2 mg/mL in sterile PBS. For liquid material, refer to CoA for concentration.

Reconstitution Buffer Available:
Size / Price
Qty
Loading...

Formulation

Lyophilized from a 0.2 μm filtered solution in PBS with Trehalose. *Small pack size (SP) is supplied either lyophilized or as a 0.2 µm filtered solution in PBS.

Shipping

Lyophilized product is shipped at ambient temperature. Liquid small pack size (-SP) is shipped with polar packs. Upon receipt, store immediately at the temperature recommended below.

Stability & Storage

Use a manual defrost freezer and avoid repeated freeze-thaw cycles.
  • 12 months from date of receipt, -20 to -70 °C as supplied.
  • 1 month, 2 to 8 °C under sterile conditions after reconstitution.
  • 6 months, -20 to -70 °C under sterile conditions after reconstitution.

Background: IL-1 alpha/IL-1F1

IL-1 is a name that designates two proteins, IL-1 alpha and IL-1 beta, that are the products of distinct genes, but recognize the same cell surface receptors. IL-1 alpha and IL-1 beta are structurally related polypeptides that show approximately 25% homology at the amino acid level. Both proteins are produced by a wide variety of cells in response to stimuli such as those produced by inflammatory agents, infections, or microbial endotoxins. The proteins are synthesized as 31 kDa precursors that are subsequently cleaved into proteins with molecular weights of approximately 17.5 kDa. The specific protease responsible for the processing of IL-beta, designated interleukin 1 beta-converting enzyme (ICE), has been described. Mature human and mouse IL-1 beta share approximately 75% amino acid sequence identity and human IL-1 beta has been found to be active on murine cell lines.

IL-1 alpha and IL-1 beta are potent pro-inflammatory cytokines that induce a wide variety of biological activities on different cell types. Two distinct types of IL-1 receptors have been identified and cloned from human and mouse cells. The IL-1 receptor type I is a 80 kDa transmembrane protein with demonstrated IL-1 signaling function. The IL-1 receptor type II is a 68 kDa membrane protein with a relatively short cytoplasmic tail and has no signaling function. The type II receptor acts as a decoy target for IL-1, inhibiting IL-1 activities by preventing the binding of IL-1 to the type I receptor. A soluble version of the type II receptor is induced by anti‑inflammatory agents such as glucocorticoids, IL-4 and IL-13.

Long Name

Interleukin 1 alpha

Alternate Names

BAF, IL-1A, IL-1F1, IL1, IL1 alpha, IL1A, IL1F1, LAF, LEM

Entrez Gene IDs

3552 (Human); 16175 (Mouse); 24493 (Rat); 397094 (Porcine); 101926546 (Cynomolgus Monkey)

Gene Symbol

IL1A

UniProt

Additional IL-1 alpha/IL-1F1 Products

Product Documents for Mouse IL-1 alpha/IL-1F1 Antibody

Certificate of Analysis

To download a Certificate of Analysis, please enter a lot number in the search box below.

Note: Certificate of Analysis not available for kit components.

Product Specific Notices for Mouse IL-1 alpha/IL-1F1 Antibody

For research use only

Loading...
Loading...
Loading...
Loading...