Skip to main content

Key Product Details

Species Reactivity

Validated:

Mouse

Cited:

Mouse

Applications

Validated:

Immunohistochemistry, Western Blot, Adhesion Blockade

Cited:

Western Blot

Label

Unconjugated

Antibody Source

Polyclonal Goat IgG

Product Specifications

Immunogen

Mouse myeloma cell line NS0-derived recombinant mouse ICAM-2
Ser20-Gln222
Accession # P35330

Specificity

Detects mouse ICAM-2 in direct ELISAs and Western blots. In direct ELISAs, less than 5% cross-reactivity with recombinant human ICAM‑2 and recombinant rat ICAM-1 and less than 1% cross-reactivity with recombinant mouse (rm) VCAM-1, rmICAM-5, and rmICAM-1 is observed.

Clonality

Polyclonal

Host

Goat

Isotype

IgG

Endotoxin Level

<0.10 EU per 1 μg of the antibody by the LAL method.

Scientific Data Images for Mouse ICAM-2/CD102 Antibody

Detection of Mouse ICAM-2/CD102 antibody by Western Blot.

Detection of Mouse ICAM‑2/CD102 by Western Blot.

Western blot shows lysates of mouse lung tissue. PVDF membrane was probed with 0.25 µg/mL of Goat Anti-Mouse ICAM-2/CD102 Antigen Affinity-purified Polyclonal Antibody (Catalog # AF774) followed by HRP-conjugated Anti-Goat IgG Secondary Antibody (Catalog # HAF109). Specific bands were detected for ICAM-2/CD102 at approximately 50 to 60 kDa (as indicated). This experiment was conducted under reducing conditions and using Immunoblot Buffer Group 1.
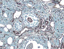
ICAM-2/CD102 antibody in Mouse Ovary by Immunohistochemistry (IHC-Fr).

ICAM-2/CD102 in Mouse Ovary.

ICAM-2/CD102 was detected in perfusion fixed frozen sections of mouse ovary using 15 µg/mL Goat Anti-Mouse ICAM-2/CD102 Antigen Affinity-purified Polyclonal Antibody (Catalog # AF774) overnight at 4 °C. Tissue was stained with the Anti-Goat HRP-DAB Cell & Tissue Staining Kit (brown; Catalog # CTS008) and counterstained with hematoxylin (blue). View our protocol for Chromogenic IHC Staining of Frozen Tissue Sections.

Applications for Mouse ICAM-2/CD102 Antibody

Application
Recommended Usage

Adhesion Blockade

The adhesion of HSB2 human peripheral blood acute lymphoblastic leukemia cells (5 x 104 cells/well) to immobilized Recombinant Mouse ICAM-2/CD102 Fc Chimera (Catalog # 774-M2, 12.5 µg/mL, 100 µL/well) was maximally inhibited (80-100%) by 25 µg/mL of the antibody.

Immunohistochemistry

5-15 µg/mL
Sample: Perfusion fixed frozen sections of mouse ovary

Western Blot

0.25 µg/mL
Sample: Mouse lung tissue

Formulation, Preparation, and Storage

Purification

Antigen Affinity-purified

Reconstitution

Reconstitute at 0.2 mg/mL in sterile PBS. For liquid material, refer to CoA for concentration.

Reconstitution Buffer Available:
Size / Price
Qty
Loading...

Formulation

Lyophilized from a 0.2 μm filtered solution in PBS with Trehalose. *Small pack size (SP) is supplied either lyophilized or as a 0.2 µm filtered solution in PBS.

Shipping

Lyophilized product is shipped at ambient temperature. Liquid small pack size (-SP) is shipped with polar packs. Upon receipt, store immediately at the temperature recommended below.

Stability & Storage

Use a manual defrost freezer and avoid repeated freeze-thaw cycles.
  • 12 months from date of receipt, -20 to -70 °C as supplied.
  • 1 month, 2 to 8 °C under sterile conditions after reconstitution.
  • 6 months, -20 to -70 °C under sterile conditions after reconstitution.

Background: ICAM-2/CD102

Intercellular Adhesion Molecule-2 (ICAM-2, also known as CD102), a member of the immunoglobulin superfamily, binds the leukocyte integrins LFA-1 (CD11a/CD18) and Mac-1 (CD11b/CD18). ICAM-2 is constitutively expressed at high levels on vascular endothelial cells and lymphohematopoietic cells. ICAM-2 mediated adhesion has been shown to provide a co-stimulatory signal for T cell aggregation, NK cytotoxicity and NK cell migration. The mouse and human ICAM-2 proteins share 60% amino acid identity. Human LFA-1 binds equally well to human or mouse ICAM-2.

References

  1. Somersalo, K. et al. (1995) J. Biol. Chem. 270:8629.
  2. Hayflick, J. et al. (1998) Immunologic Res. 17:313.
  3. Xu, H. (1992) J. Immunol. 149:2650.

Long Name

Intercellular Adhesion Molecule 2

Alternate Names

CD102, ICAM2

Entrez Gene IDs

3384 (Human); 15896 (Mouse)

Gene Symbol

ICAM2

UniProt

Additional ICAM-2/CD102 Products

Product Documents for Mouse ICAM-2/CD102 Antibody

Certificate of Analysis

To download a Certificate of Analysis, please enter a lot number in the search box below.

Note: Certificate of Analysis not available for kit components.

Product Specific Notices for Mouse ICAM-2/CD102 Antibody

For research use only

Loading...
Loading...
Loading...
Loading...
Loading...