Skip to main content

Key Product Details

Species Reactivity

Validated:

Mouse

Cited:

Mouse

Applications

Validated:

Immunohistochemistry, Immunocytochemistry

Cited:

Immunohistochemistry

Label

Unconjugated

Antibody Source

Polyclonal Sheep IgG

Product Specifications

Immunogen

Chinese hamster ovary cell line CHO-derived recombinant mouse FOLR1
Arg23-Ser232
Accession # P35846

Specificity

Detects mouse FOLR1 in direct ELISAs. In direct ELISAs, approximately 30% cross-reactivity with recombinant human FOLR1 is observed.

Clonality

Polyclonal

Host

Sheep

Isotype

IgG

Scientific Data Images for Mouse FOLR1 Antibody

FOLR1 antibody in HeLa Human Cell Line by Immunocytochemistry (ICC).

FOLR1 in HeLa Human Cell Line.

FOLR1 was detected in immersion fixed HeLa human cervical epithelial carcinoma cell line using Sheep Anti-Mouse FOLR1 Antigen Affinity-purified Polyclonal Antibody (Catalog # AF6936) at 10 µg/mL for 3 hours at room temperature. Cells were stained using the NorthernLights™ 557-conjugated Anti-Sheep IgG Secondary Antibody (red; Catalog # NL010) and counterstained with DAPI (blue). Specific staining was localized to cytoplasm. View our protocol for Fluorescent ICC Staining of Cells on Coverslips.
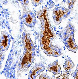
FOLR1 antibody in Mouse Kidney by Immunohistochemistry (IHC-Fr).

FOLR1 in Mouse Kidney.

FOLR1 was detected in perfusion fixed frozen sections of mouse kidney using Sheep Anti-Mouse FOLR1 Antigen Affinity-purified Polyclonal Antibody (Catalog # AF6936) at 0.3 µg/mL overnight at 4 °C. Tissue was stained using the Anti-Sheep HRP-DAB Cell & Tissue Staining Kit (brown; Catalog # CTS019) and counterstained with hematoxylin (blue). Specific staining was localized to convoluted tubules. View our protocol for Chromogenic IHC Staining of Frozen Tissue Sections.

Applications for Mouse FOLR1 Antibody

Application
Recommended Usage

Immunocytochemistry

5-15 µg/mL
Sample: Immersion fixed HeLa human cervical epithelial carcinoma cell line

Immunohistochemistry

0.3-15 µg/mL
Sample:

Perfusion fixed frozen sections of mouse kidney

Reviewed Applications

Read 1 review rated 5 using AF6936 in the following applications:

Formulation, Preparation, and Storage

Purification

Antigen Affinity-purified

Reconstitution

Sterile PBS to a final concentration of 0.2 mg/mL. For liquid material, refer to CoA for concentration.

Reconstitution Buffer Available:
Size / Price
Qty
Loading...

Formulation

Lyophilized from a 0.2 μm filtered solution in PBS with Trehalose. *Small pack size (SP) is supplied either lyophilized or as a 0.2 µm filtered solution in PBS.

Shipping

Lyophilized product is shipped at ambient temperature. Liquid small pack size (-SP) is shipped with polar packs. Upon receipt, store immediately at the temperature recommended below.

Stability & Storage

Use a manual defrost freezer and avoid repeated freeze-thaw cycles.
  • 12 months from date of receipt, -20 to -70 °C as supplied.
  • 1 month, 2 to 8 °C under sterile conditions after reconstitution.
  • 6 months, -20 to -70 °C under sterile conditions after reconstitution.

Background: FOLR1

Folate receptor 1 (FOLR1; also folate receptor alpha and folate binding protein 1/FOLBP1) is a 40-50 kDa member of the folate receptor family. FOLR1 is expressed in reticulocytes, retinal Muller cells and placenta, plus renal, mammary and thymic epithelium, where it mediates the transport of 5-methyltetrahydrofolate into the cell. The mouse FOLR1 preproprecursor is 255 amino acid (aa) in length. It contains a GPI-linked glycoprotein that is 208 aa in size (aa 25-232), and which possesses three potential N-linked glycosylation sites. There is one potential isoform variant that shows a 105 aa substitution for aa 110-255. Over aa 23-232, mouse FOLR1 shares 83% and 93% aa sequence identity with human and rat FOLR1, respectively.

Long Name

Folate Receptor 1

Alternate Names

FBP, Folbp1, FR-alpha, MOv18

Entrez Gene IDs

2348 (Human); 14275 (Mouse); 171049 (Rat)

Gene Symbol

FOLR1

UniProt

Additional FOLR1 Products

Product Documents for Mouse FOLR1 Antibody

Certificate of Analysis

To download a Certificate of Analysis, please enter a lot number in the search box below.

Note: Certificate of Analysis not available for kit components.

Product Specific Notices for Mouse FOLR1 Antibody

For research use only

Loading...
Loading...
Loading...
Loading...