Skip to main content

Mouse CD36/SR-B3 Antibody

R&D Systems, part of Bio-Techne | Catalog # MAB25191

R&D Systems, part of Bio-Techne

Key Product Details

Species Reactivity

Validated:

Mouse

Cited:

Mouse

Applications

Validated:

Immunohistochemistry, Flow Cytometry, CyTOF-ready

Cited:

Immunohistochemistry, Western Blot

Label

Unconjugated

Antibody Source

Monoclonal Rat IgG1 Clone # 324205

Product Specifications

Immunogen

Chinese hamster ovary cell line CHO-derived recombinant mouse CD36/SR-B3
Gly30-Lys439
Accession # Q08857

Specificity

Detects mouse CD36/SR-B3 in direct ELISAs. In direct ELISAs, no cross-reactivity with recombinant human CD36 is observed.

Clonality

Monoclonal

Host

Rat

Isotype

IgG1

Scientific Data Images for Mouse CD36/SR-B3 Antibody

Detection of CD36/SR-B3 antibody in J774A.1 Mouse Cell Line antibody by Flow Cytometry.

Detection of CD36/SR‑B3 in J774A.1 Mouse Cell Line by Flow Cytometry.

J774A.1 mouse reticulum cell sarcoma macrophage cell line was stained with Rat Anti-Mouse CD36/SR-B3 Monoclonal Antibody (Catalog # MAB25191, filled histogram) or isotype control antibody (Catalog # MAB005, open histogram), followed by Allophycocyanin-conjugated Anti-Rat IgG Secondary Antibody (Catalog # F0113).
CD36/SR-B3 antibody in Mouse Heart by Immunohistochemistry (IHC-Fr).

CD36/SR‑B3 in Mouse Heart.

CD36/SR-B3 was detected in immersion fixed frozen sections of mouse heart using Rat Anti-Mouse CD36/SR-B3 Monoclonal Antibody (Catalog # MAB25191) at 15 µg/mL overnight at 4 °C. Tissue was stained using the Anti-Rat HRP-DAB Cell & Tissue Staining Kit (brown; Catalog # CTS017) and counterstained with hematoxylin (blue). Specific staining was localized to cell surfaces and cytoplasm. View our protocol for Chromogenic IHC Staining of Frozen Tissue Sections.
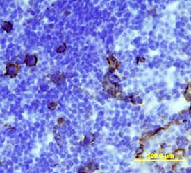
CD36/SR-B3 antibody in Mouse Thymus by Immunohistochemistry (IHC-Fr).

CD36/SR‑B3 in Mouse Thymus.

CD36/SR-B3 was detected in immersion fixed frozen sections of mouse thymus using Rat Anti-Mouse CD36/SR-B3 Monoclonal Antibody (Catalog # MAB25191) at 15 µg/mL overnight at 4 °C. Tissue was stained using the Anti-Rat HRP-DAB Cell & Tissue Staining Kit (brown; Catalog # CTS017) and counterstained with hematoxylin (blue). Specific staining was localized to cell surfaces and cytoplasm. View our protocol for Chromogenic IHC Staining of Frozen Tissue Sections.

Applications for Mouse CD36/SR-B3 Antibody

Application
Recommended Usage

CyTOF-ready

Ready to be labeled using established conjugation methods. No BSA or other carrier proteins that could interfere with conjugation.

Flow Cytometry

2.5 µg/106 cells
Sample: J774A.1 mouse reticulum cell sarcoma macrophage cell line

Immunohistochemistry

8-25 µg/mL
Sample: Immersion fixed frozen sections of mouse heart and thymus

Formulation, Preparation, and Storage

Purification

Protein A or G purified from hybridoma culture supernatant

Reconstitution

Sterile PBS to a final concentration of 0.5 mg/mL. For liquid material, refer to CoA for concentration.

Reconstitution Buffer Available:
Size / Price
Qty
Loading...

Formulation

Lyophilized from a 0.2 μm filtered solution in PBS with Trehalose. *Small pack size (SP) is supplied either lyophilized or as a 0.2 µm filtered solution in PBS.

Shipping

Lyophilized product is shipped at ambient temperature. Liquid small pack size (-SP) is shipped with polar packs. Upon receipt, store immediately at the temperature recommended below.

Stability & Storage

Use a manual defrost freezer and avoid repeated freeze-thaw cycles.
  • 12 months from date of receipt, -20 to -70 °C as supplied.
  • 1 month, 2 to 8 °C under sterile conditions after reconstitution.
  • 6 months, -20 to -70 °C under sterile conditions after reconstitution.

Background: CD36/SR-B3

CD36 (alternatively known as platelet membrane glycoprotein IV (GPIV), thrombospondin receptor, fatty acid translocase (FAT), and scavenger receptor class B, member 3 (SR-B3)) is an 88 kDa, integral membrane glycoprotein that belongs to the class B scavenger receptor family (1, 2). The molecule is described as being ditopic, with two transmembrane segments connected by an extracellular loop (3). Mouse CD36 is synthesized as a 472 amino acid (aa) protein that contains a 6 aa N‑terminal cytoplasmic domain, a 22 aa N‑terminal transmembrane segment, a 420 aa extracellular “loop”, a 22 aa C‑terminal transmembrane segment, and a 9 aa C‑terminal cytoplasmic tail (4). Both cytoplasmic tails are palmitoylated, with the C‑terminal tail involved in oxidized LDL binding (5, 6). With respect to the extracellular loop, the N‑terminal region is believed to bind both thrombospondin-1 and Plasmodium-infected erythrocytes. Other ligands for CD36 include long-chain fatty acids, collagen, phospholipids and apoptotic cells (1). The extracellular loop of mouse CD36 shares 94%, 92%, 84% and 84% aa sequence identity with the extracellular loops of rat, hamster, human and bovine CD36, respectively. Cells known to express CD36 include capillary endothelium, adipocytes, skeletal muscle cells, intestinal epithelium, smooth muscle cells and hematopoietic cells such as RBC’s, platelets and monocytes (1). On the surface of cells, CD36 is suggested to exist as a dimer in response to ligation (7). CD36 is reported to regulate fatty uptake, act as an angiogenic with TSP-1, and participate in the clearance of apoptotic phagocytes (1, 8).

References

  1. Febbraio, M. et al. (2001) J. Clin. Invest. 108:795. 
  2. Silverstein, R.L. and M. Febbraio (2000) Curr. Opin. Lipid. 11:483. 
  3. Gruarin, P. et al. (2000) Biochem. Biophys. Res. Commun. 275:446. 
  4. Endemann, G. et al. (1993) J. Biol. Chem. 268:11811. 
  5. Malaud, E. et al. (2002) Biochem. J. 364:507.
  6. Tao, N. et al. (1996) J. Biol. Chem. 271:22315.
  7. Daviet, L. et al. (1997) Thromb. Haemost. 78:897.
  8. Simantov, R. and R.L. Silverstein (2003) Front. Biosci. 8:s874.

Long Name

Scavenger Receptor Class B, Member 3

Alternate Names

CD36, Collagen R, FAT, GPIIIb, GPIV, SCARB3, SR-B3, SRB3, Thrombospondin R

Entrez Gene IDs

948 (Human); 12491 (Mouse)

Gene Symbol

CD36

UniProt

Additional CD36/SR-B3 Products

Product Documents for Mouse CD36/SR-B3 Antibody

Certificate of Analysis

To download a Certificate of Analysis, please enter a lot number in the search box below.

Note: Certificate of Analysis not available for kit components.

Product Specific Notices for Mouse CD36/SR-B3 Antibody

For research use only

Loading...
Loading...
Loading...
Loading...
Loading...