Skip to main content

Mouse CD14 Antibody

R&D Systems, part of Bio-Techne | Catalog # MAB982

R&D Systems, part of Bio-Techne

Key Product Details

Species Reactivity

Validated:

Mouse

Cited:

Mouse

Applications

Validated:

Immunohistochemistry, Western Blot

Cited:

Immunohistochemistry-Paraffin, Neutralization, Immunocytochemistry, Binding Assay, In vivo assay

Label

Unconjugated

Antibody Source

Monoclonal Rat IgG2A Clone # 159010

Product Specifications

Immunogen

Mouse myeloma cell line NS0-derived recombinant mouse CD14
Ala18-Pro345 (predicted)
Accession # P10810

Specificity

Detects mouse CD14 in direct ELISAs and Western blots. In direct ELISAs and Western blots, approximately 10% cross-reactivity with recombinant human CD14 is observed.

Clonality

Monoclonal

Host

Rat

Isotype

IgG2A

Scientific Data Images for Mouse CD14 Antibody

Detection of Mouse CD14 antibody by Western Blot.

Detection of Mouse CD14 by Western Blot.

Western blot shows lysate of J774A.1 mouse reticulum cell sarcoma macrophage cell line. PVDF membrane was probed with 1 µg/mL of Rat Anti-Mouse CD14 Monoclonal Antibody (Catalog # MAB982) followed by HRP-conjugated Anti-Rat IgG Secondary Antibody (Catalog # HAF005). A specific band was detected for CD14 at approximately 50-55 kDa (as indicated). This experiment was conducted under reducing conditions and using Immunoblot Buffer Group 1.

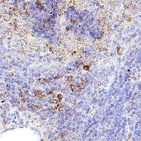
Detection of CD14 in Mouse Spleen.

CD14 was detected in immersion fixed paraffin-embedded sections of mouse spleen using Rat Anti-Mouse CD14 Monoclonal Antibody (Catalog # MAB982) at 5 µg/ml for 1 hour at room temperature followed by incubation with the Anti-Rat IgG VisUCyte™ HRP Polymer Antibody (Catalog # VC005). Before incubation with the primary antibody, tissue was subjected to heat-induced epitope retrieval using VisUCyte Antigen Retrieval Reagent-Basic (Catalog # VCTS021). Tissue was stained using DAB (brown) and counterstained with hematoxylin (blue). Specific staining was localized to the cytoplasm and membrane. View our protocol for Chromogenic IHC Staining of Paraffin-embedded Tissue Sections.

Applications for Mouse CD14 Antibody

Application
Recommended Usage

Immunohistochemistry

3-25 µg/mL
Sample: Immersion fixed paraffin-embedded sections of mouse spleen

Western Blot

1 µg/mL
Sample: J774A.1 mouse reticulum cell sarcoma macrophage cell line

Reviewed Applications

Read 1 review rated 5 using MAB982 in the following applications:

Formulation, Preparation, and Storage

Purification

Protein A or G purified from hybridoma culture supernatant

Reconstitution

Reconstitute at 0.5 mg/mL in sterile PBS. For liquid material, refer to CoA for concentration.

Reconstitution Buffer Available:
Size / Price
Qty
Loading...

Formulation

Lyophilized from a 0.2 μm filtered solution in PBS with Trehalose. See Certificate of Analysis for details.
*Small pack size (-SP) is supplied either lyophilized or as a 0.2 µm filtered solution in PBS.

Shipping

Lyophilized product is shipped at ambient temperature. Liquid small pack size (-SP) is shipped with polar packs. Upon receipt, store immediately at the temperature recommended below.

Stability & Storage

Use a manual defrost freezer and avoid repeated freeze-thaw cycles.
  • 12 months from date of receipt, -20 to -70 °C as supplied.
  • 1 month, 2 to 8 °C under sterile conditions after reconstitution.
  • 6 months, -20 to -70 °C under sterile conditions after reconstitution.

Background: CD14

CD14 is a 55 kDa cell surface glycoprotein that is preferentially expressed on monocytes/macrophages. The mouse CD14 cDNA encodes a 366 amino acid (aa) residue precursor protein with a 15 aa signal peptide and a C-terminal hydrophobic region characteristic for glycosylphosphatidyinositol (GPI)-anchored proteins. Mouse CD14 has five potential N-linked glycosylation sites and also bears O-linked carbohydrates. The amino acid sequence of mouse CD14 is approximately 65% and 82% identical to the human and rat proteins, respectively. CD14 is a pattern recognition receptor that binds lipopolysaccharides (LPS) and a variety of ligands derived from different microbial sources. The binding of CD14 with LPS is catalyzed by LPS-binding protein (LBP). The toll-like-receptors have also been implicated in the transduction of CD14-LPS signals. Similar to other GPI-anchored proteins, soluble CD14 can be released from the cell surface by phosphatidyinositol-specific phospholipase C. Soluble CD14 has been detected in serum and body fluids. High concentrations of soluble CD14 have been shown to inhibit LPS-mediated responses. However, soluble CD14 can also potentiate LPS response in cells that do not express cell surface CD14.

References

  1. Wright, S.D. et al. (1990) Science 249:1431.
  2. Pugin, J. et al. (1993) Proc. Natl. Acad. Sci. USA 90:2744.
  3. Beutler, B. (2000) Current Opinion in Immunology 12:20.
  4. Stelter, F. (2000) Chem. Immunol. 74:25.

Alternate Names

CD14

Entrez Gene IDs

929 (Human); 12475 (Mouse); 60350 (Rat); 100037938 (Porcine)

Gene Symbol

CD14

UniProt

Additional CD14 Products

Product Documents for Mouse CD14 Antibody

Certificate of Analysis

To download a Certificate of Analysis, please enter a lot number in the search box below.

Note: Certificate of Analysis not available for kit components.

Product Specific Notices for Mouse CD14 Antibody

For research use only

Loading...
Loading...
Loading...
Loading...