Skip to main content

MIER2 Antibody (OTI3G7) - Azide and BSA Free

Novus Biologicals, part of Bio-Techne | Catalog # NBP2-72683

Novus Biologicals, part of Bio-Techne

Key Product Details

Species Reactivity

Human

Applications

Immunohistochemistry, Immunohistochemistry-Paraffin, Western Blot

Label

Unconjugated

Antibody Source

Monoclonal Mouse IgG1 Clone # OTI3G7

Format

Azide and BSA Free

Concentration

LYOPH mg/ml

Product Specifications

Immunogen

Human recombinant protein fragment corresponding to amino acids 1-296 of human MIER2(NP_060020) produced in E.coli.

Clonality

Monoclonal

Host

Mouse

Isotype

IgG1

Theoretical MW

59.8 kDa.
Disclaimer note: The observed molecular weight of the protein may vary from the listed predicted molecular weight due to post translational modifications, post translation cleavages, relative charges, and other experimental factors.

Description

Novus Biologicals Mouse MIER2 Antibody (OTI3G7) - Azide and BSA Free (NBP2-01748) is a monoclonal antibody validated for use in IHC and WB. All Novus Biologicals antibodies are covered by our 100% guarantee.

Scientific Data Images for MIER2 Antibody (OTI3G7) - Azide and BSA Free

Western Blot: MIER2 Antibody (OTI3G7)Azide and BSA Free [NBP2-72683]

Western Blot: MIER2 Antibody (OTI3G7)Azide and BSA Free [NBP2-72683]

Western Blot: MIER2 Antibody (OTI3G7) - Azide and BSA Free [NBP2-72683] - HEK293T cells were transfected with the pCMV6-ENTRY control (Left lane) or pCMV6-ENTRY MIER2 (Right lane) cDNA for 48 hrs and lysed. Equivalent amounts of cell lysates (5 ug per lane) were separated by SDS-PAGE and immunoblotted with anti-MIER2.
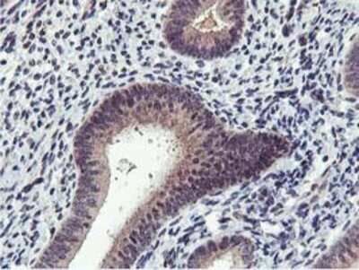
Immunohistochemistry: MIER2 Antibody (OTI3G7) - Azide and BSA Free [NBP2-72683]

Immunohistochemistry: MIER2 Antibody (OTI3G7) - Azide and BSA Free [NBP2-72683]

Immunohistochemistry: MIER2 Antibody (OTI3G7) - Azide and BSA Free [NBP2-72683] - Staining of paraffin-embedded Human endometrium tissue using anti-MIER2 mouse monoclonal antibody.
Immunohistochemistry: MIER2 Antibody (OTI3G7) - Azide and BSA Free [NBP2-72683]

Immunohistochemistry: MIER2 Antibody (OTI3G7) - Azide and BSA Free [NBP2-72683]

Immunohistochemistry: MIER2 Antibody (OTI3G7) - Azide and BSA Free [NBP2-72683] - Staining of paraffin-embedded Adenocarcinoma of Human endometrium tissue using anti-MIER2 mouse monoclonal antibody.

Applications for MIER2 Antibody (OTI3G7) - Azide and BSA Free

Application
Recommended Usage

Immunohistochemistry

1:150

Western Blot

1:2000

Formulation, Preparation, and Storage

Purification

Immunogen affinity purified

Reconstitution

we recommend adding 100uL distilled water to a final antibody concentration of about 1 mg/mL. To use this carrier-free antibody for conjugation experiment, we strongly recommend performing another round of desalting process.

Formulation

Lyophilized from PBS (pH 7.3) with 8% Trehalose

Format

Azide and BSA Free

Preservative

No Preservative

Concentration

LYOPH mg/ml

Shipping

The product is shipped with polar packs. Upon receipt, store it immediately at the temperature recommended below.

Stability & Storage

Store at -20C. Avoid freeze-thaw cycles.

Background: MIER2

Transcriptional repressor

Alternate Names

KIAA1193mesoderm induction early response protein 2, mesoderm induction early response 1, family member 2, Mi-er2

Gene Symbol

MIER2

Additional MIER2 Products

Product Documents for MIER2 Antibody (OTI3G7) - Azide and BSA Free

Certificate of Analysis

To download a Certificate of Analysis, please enter a lot number in the search box below.

Product Specific Notices for MIER2 Antibody (OTI3G7) - Azide and BSA Free

This product is for research use only and is not approved for use in humans or in clinical diagnosis. Primary Antibodies are guaranteed for 1 year from date of receipt.

Loading...
Loading...
Loading...
Loading...
Loading...