Skip to main content

MIER2 Antibody (OTI3G7)

Novus Biologicals, part of Bio-Techne | Catalog # NBP2-01748

Catalog #
Availability
Size / Price
Qty
Loading...
NBP2-01748

Key Product Details

Species Reactivity

Human

Applications

Immunohistochemistry, Immunohistochemistry-Paraffin, Western Blot

Label

Unconjugated

Antibody Source

Monoclonal Mouse IgG1 Clone # OTI3G7

Concentration

1 mg/ml

Product Specifications

Immunogen

Human recombinant protein fragment corresponding to amino acids 1-296 of human MIER2(NP_060020) produced in E.coli.

Clonality

Monoclonal

Host

Mouse

Isotype

IgG1

Theoretical MW

59.8 kDa.
Disclaimer note: The observed molecular weight of the protein may vary from the listed predicted molecular weight due to post translational modifications, post translation cleavages, relative charges, and other experimental factors.

Description

Novus Biologicals Mouse MIER2 Antibody (OTI3G7) (NBP2-01748) is a monoclonal antibody validated for use in IHC and WB. All Novus Biologicals antibodies are covered by our 100% guarantee.

Scientific Data Images for MIER2 Antibody (OTI3G7)

Western Blot: MIER2 Antibody (OTI3G7) [NBP2-01748]

Western Blot: MIER2 Antibody (OTI3G7) [NBP2-01748]

Western Blot: MIER2 Antibody (3G7) [NBP2-01748] - HEK293T cells were transfected with the pCMV6-ENTRY control (Left lane) or pCMV6-ENTRY MIER2 (Right lane) cDNA for 48 hrs and lysed. Equivalent amounts of cell lysates (5 ug per lane) were separated by SDS-PAGE and immunoblotted with anti-MIER2.
Immunohistochemistry-Paraffin: MIER2 Antibody (3G7) [NBP2-01748] Staining of paraffin-embedded Human tonsil using anti-MIER2 mouse monoclonal antibody.
Immunohistochemistry-Paraffin: MIER2 Antibody (OTI3G7) [NBP2-01748]

Immunohistochemistry-Paraffin: MIER2 Antibody (OTI3G7) [NBP2-01748]

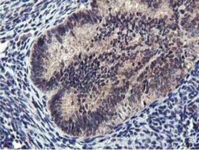
Immunohistochemistry-Paraffin: MIER2 Antibody (3G7) [NBP2-01748] - Staining of paraffin-embedded Adenocarcinoma of Human endometrium tissue using anti-MIER2 mouse monoclonal antibody.

Applications for MIER2 Antibody (OTI3G7)

Application
Recommended Usage

Immunohistochemistry

1:150

Immunohistochemistry-Paraffin

1:150

Western Blot

1:2000

Formulation, Preparation, and Storage

Purification

Immunogen affinity purified

Formulation

PBS (pH 7.3), 1.0% BSA and 50% Glycerol

Preservative

0.02% Sodium Azide

Concentration

1 mg/ml

Shipping

The product is shipped with polar packs. Upon receipt, store it immediately at the temperature recommended below.

Stability & Storage

Store at -20C. Avoid freeze-thaw cycles.

Background: MIER2

Transcriptional repressor

Alternate Names

KIAA1193mesoderm induction early response protein 2, mesoderm induction early response 1, family member 2, Mi-er2

Entrez Gene IDs

54531 (Human)

Gene Symbol

MIER2

Additional MIER2 Products

Product Documents for MIER2 Antibody (OTI3G7)

Certificate of Analysis

To download a Certificate of Analysis, please enter a lot number in the search box below.

Product Specific Notices for MIER2 Antibody (OTI3G7)

This product is for research use only and is not approved for use in humans or in clinical diagnosis. Primary Antibodies are guaranteed for 1 year from date of receipt.

Loading...
Loading...
Loading...
Loading...