Skip to main content

IL-6 Antibody - BSA Free

Novus Biologicals, part of Bio-Techne | Catalog # NBP2-16957

Novus Biologicals, part of Bio-Techne
Catalog #
Availability
Size / Price
Qty
Loading...
NBP2-16957

Key Product Details

Validated by

Biological Validation

Species Reactivity

Validated:

Human, Mouse, Rat

Cited:

Human, Mouse

Predicted:

Rhesus Macaque (96%). Backed by our 100% Guarantee.

Applications

Validated:

Immunohistochemistry, Immunohistochemistry-Paraffin, Immunohistochemistry-Frozen, Western Blot

Cited:

Immunohistochemistry-Paraffin, Western Blot, IF/IHC

Label

Unconjugated

Antibody Source

Polyclonal Rabbit IgG

Format

BSA Free

Concentration

Concentrations vary lot to lot. See vial label for concentration. If unlisted please contact technical services.

Product Specifications

Immunogen

Full length human IL-6 Recombinant protein.

Localization

Secreted

Clonality

Polyclonal

Host

Rabbit

Isotype

IgG

Theoretical MW

24 kDa.
Disclaimer note: The observed molecular weight of the protein may vary from the listed predicted molecular weight due to post translational modifications, post translation cleavages, relative charges, and other experimental factors.

Description

Novus Biologicals Rabbit IL-6 Antibody - BSA Free (NBP2-16957) is a polyclonal antibody validated for use in IHC and WB. Anti-IL-6 Antibody: Cited in 6 publications. All Novus Biologicals antibodies are covered by our 100% guarantee.

Scientific Data Images for IL-6 Antibody - BSA Free

Western Blot: IL-6 Antibody [NBP2-16957]

Western Blot: IL-6 Antibody [NBP2-16957]

Western Blot: IL-6 Antibody [NBP2-16957] - Human breast cancer cell line MDA-MB-231 was treated by Stat3 inhibitor and expression of IL-6 was detected by Western blot. Image from verified customer review.
Western Blot: IL-6 Antibody [NBP2-16957]

Western Blot: IL-6 Antibody [NBP2-16957]

Western Blot: IL-6 Antibody [NBP2-16957] - Recombinant IL6 were separated by 12% SDS-PAGE, and the membrane was blotted with IL6 antibody diluted at 1:2000. The HRP-conjugated anti-rabbit IgG antibody (NBP2-19301) was used to detect the primary antibody.
IL-6 Antibody

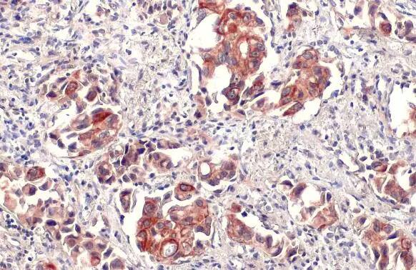
Immunohistochemistry-Paraffin: IL-6 Antibody [NBP2-16957] -

Immunohistochemistry-Paraffin: IL-6 Antibody [NBP2-16957] - IL-6 antibody detects IL-6 protein at cell membrane and cytoplasm by immunohistochemical analysis.Sample: Paraffin-embedded human lung cancer.IL-6 stained by IL-6 antibody (NBP2-16957) diluted at 1:500.Antigen Retrieval: Citrate buffer, pH 6.0, 15 min

Applications for IL-6 Antibody - BSA Free

Application
Recommended Usage

Immunohistochemistry

1:100-1:1000

Immunohistochemistry-Frozen

Assay dependent

Immunohistochemistry-Paraffin

1:100-1:1000

Western Blot

1:500-1:3000

Reviewed Applications

Read 1 review rated 3 using NBP2-16957 in the following applications:

Formulation, Preparation, and Storage

Purification

Antigen Affinity-purified

Formulation

PBS, 20% Glycerol

Format

BSA Free

Preservative

0.025% Proclin 300

Concentration

Concentrations vary lot to lot. See vial label for concentration. If unlisted please contact technical services.

Shipping

The product is shipped with polar packs. Upon receipt, store it immediately at the temperature recommended below.

Stability & Storage

Aliquot and store at -20C or -80C. Avoid freeze-thaw cycles.

Background: IL-6

This gene encodes a cytokine that functions in inflammation and the maturation of B cells. The protein is primarily produced at sites of acute and chronic inflammation, where it is secreted into the serum and induces a transcriptional inflammatory response through interleukin 6 receptor, alpha. The functioning of this gene is implicated in a wide variety of inflammation-associated disease states, including suspectibility to diabetes mellitus and systemic juvenile rheumatoid arthritis. [provided by RefSeq]

Long Name

Interleukin 6

Alternate Names

BSF-2, BSF2, IFNB2, IL6, MGI-2A

Gene Symbol

IL6

UniProt

Additional IL-6 Products

Product Documents for IL-6 Antibody - BSA Free

Certificate of Analysis

To download a Certificate of Analysis, please enter a lot number in the search box below.

Product Specific Notices for IL-6 Antibody - BSA Free

This product is for research use only and is not approved for use in humans or in clinical diagnosis. Primary Antibodies are guaranteed for 1 year from date of receipt.

Loading...
Loading...
Loading...
Loading...
Loading...