Skip to main content

Human TIM-1/KIM-1/HAVCR Antibody

R&D Systems, part of Bio-Techne | Catalog # MAB1750

Clone 219211 was used by HLDA to establish CD designation
R&D Systems, part of Bio-Techne

Key Product Details

Validated by

Biological Validation

Species Reactivity

Validated:

Human

Cited:

Human, Mouse, Rat

Applications

Validated:

Immunohistochemistry, Western Blot, Flow Cytometry, CyTOF-ready

Cited:

Immunohistochemistry, Immunohistochemistry-Paraffin, Western Blot, Flow Cytometry, Immunocytochemistry, Blocking, Cell-based ELISA, Functional Assay

Label

Unconjugated

Antibody Source

Monoclonal Mouse IgG2B Clone # 219211

Product Specifications

Immunogen

Mouse myeloma cell line NS0-derived recombinant human TIM‑1/KIM-1/HAVCR
Ser21-Thr288
Accession # AAC39862

Specificity

Detects human TIM‑1/KIM-1/HAVCR in direct ELISAs and Western blots. Does not cross-react with recombinant mouse (rm) TIM-1, rmTIM-2, or rhTIM-3.

Clonality

Monoclonal

Host

Mouse

Isotype

IgG2B

Scientific Data Images for Human TIM-1/KIM-1/HAVCR Antibody

Detection of Human TIM-1/KIM-1/HAVCR antibody by Western Blot.

Detection of Human TIM‑1/KIM‑1/HAVCR by Western Blot.

Western blot shows lysates of human CD4+cells treated (+) with 5 µg/mL of Hamster Anti-Mouse CD3e Monoclonal Antibody (MAB484) and 1 µg/mL of Rat Anti-Mouse CD28 Monoclonal Antibody (MAB4831) for 24 hours. PVDF membrane was probed with 1 µg/mL of Mouse Anti-Human TIM-1/KIM-1/HAVCR Monoclonal Antibody (Catalog # MAB1750) followed by HRP-conjugated Anti-Mouse IgG Secondary Antibody (HAF007). A specific band was detected for TIM-1/KIM-1/HAVCR at approximately 80 kDa (as indicated). This experiment was conducted under reducing conditions and using Immunoblot Buffer Group 1.
Detection of TIM-1/KIM-1/HAVCR antibody in Th2-stimulated Human PBMCs antibody by Flow Cytometry.

Detection of TIM‑1/KIM‑1/HAVCR in Th2-stimulated Human PBMCs by Flow Cytometry.

(A) Unstimulated and (B) Th2-stimulated human PBMCs were stained with Mouse Anti-Human TIM-1/KIM-1/HAVCR Monoclonal Antibody (Catalog # MAB1750) followed by Allophycocyanin-conjugated Anti-Mouse IgG Secondary Antibody (F0101B) and Human CD4 PerCP-conjugated Monoclonal Antibody (FAB3791C). Quadrant markers were set based on control antibody staining (Catalog # MAB0041).
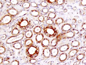
TIM-1/KIM-1/HAVCR antibody in Human Kidney by Immunohistochemistry (IHC-P).

TIM-1/KIM-1/HAVCR in Human Kidney.

TIM-1/KIM-1/HAVCR was detected in immersion fixed paraffin-embedded sections of human kidney using 25 µg/mL Mouse Anti-Human TIM-1/ KIM-1/HAVCR Monoclonal Antibody (Catalog # MAB1750) overnight at 4 °C. Tissue was stained with the Anti-Mouse HRP-DAB Cell & Tissue Staining Kit (brown; CTS002) and counterstained with hematoxylin (blue). View our protocol for Chromogenic IHC Staining of Paraffin-embedded Tissue Sections.

Applications for Human TIM-1/KIM-1/HAVCR Antibody

Application
Recommended Usage

CyTOF-ready

Ready to be labeled using established conjugation methods. No BSA or other carrier proteins that could interfere with conjugation.

Flow Cytometry

2.5 µg/106 cells
Sample: stimulated Human CD4+ cells

Immunohistochemistry

8-25 µg/mL
Sample: Immersion fixed paraffin-embedded sections of human kidney

Western Blot

1 µg/mL
Sample: Human CD4+ cells treated with Hamster Anti-Mouse CD3 epsilon Monoclonal Antibody (Catalog # MAB484) and Rat Anti-Mouse CD28 Monoclonal Antibody (Catalog # MAB4831)

Reviewed Applications

Read 4 reviews rated 4.8 using MAB1750 in the following applications:

Formulation, Preparation, and Storage

Purification

Protein A or G purified from hybridoma culture supernatant

Reconstitution

Reconstitute at 0.5 mg/mL in sterile PBS. For liquid material, refer to CoA for concentration.

Reconstitution Buffer Available:
Size / Price
Qty
Loading...

Formulation

Lyophilized from a 0.2 μm filtered solution in PBS with Trehalose. See Certificate of Analysis for details.
*Small pack size (-SP) is supplied either lyophilized or as a 0.2 µm filtered solution in PBS.

Shipping

Lyophilized product is shipped at ambient temperature. Liquid small pack size (-SP) is shipped with polar packs. Upon receipt, store immediately at the temperature recommended below.

Stability & Storage

Use a manual defrost freezer and avoid repeated freeze-thaw cycles.
  • 12 months from date of receipt, -20 to -70 °C as supplied.
  • 1 month, 2 to 8 °C under sterile conditions after reconstitution.
  • 6 months, -20 to -70 °C under sterile conditions after reconstitution.

Background: TIM-1/KIM-1/HAVCR

TIM-1 (T cell-immunoglobulin-mucin; also KIM-1 and HAVcr-1) is a 100 kDa, type I transmembrane glycoprotein member of the TIM family of immunoglobulin superfamily molecules (1-3). This gene family is involved in the regulation of Th1 and Th2-cell-mediated immunity. Human TIM-1 is synthesized as a 359 amino acid (aa) precursor that contains a 20 aa signal sequence, a 270 aa extracellular domain (ECD), a 21 aa transmembrane segment and a 48 aa cytoplasmic domain (4-6). The ECD contains oneV-type Ig-like domain and a mucin region characterized by multiple PTTTTL motifs. The mucin region undergoes extensive O-linked glycosylation. The TIM-1 gene is highly polymorphic and undergoes alternate splicing (1). For instance, the presence of a six aa sequence (MTTTVP) at position #137 of the mature molecule is associated with protection from atopy in people with a history of hepatitis A (7, 8). There are two cytoplasmic alternate splice forms of
TIM‑1. One is a long (359 aa) kidney form termed TIM-1b, and one is a short (334 aa) liver form termed TIM-1a. Both are identical through the first 323 aa of their precursors. TIM-1b contains a tyrosine phosphorylation motif that is not present in 1a (6). TIM-1 is also known to circulate as a soluble form. Constitutive cleavage by an undefined MMP (possibly ADAM33) releases an 85 - 90 kDa soluble molecule (6). The ECD of human TIM-1 is 50% and 43% aa identical to mouse and canine TIM-1 ECD, respectively. The only two reported ligands for TIM-1 are TIM-4 and the hepatitis A virus (4, 9). However, others are believed to exist, and based on the ligand for TIM-3, one may well be an S-type lectin (10). TIM-1 ligation induces T cell proliferation and promotes cytokine production (1, 10).

References

  1. Meyers, J.H. et al. (2005) Trends Mol. Med. 11:1471.
  2. Kuchroo, V.K. et al. (2003) Nat. Rev. Immunol. 3:454.
  3. Mariat, C. et al. (2005) Phil. Trans. R. Soc. B 360:1681.
  4. Feigelstock, D. et al. (1998) J. Virol. 72:6621.
  5. Ichimura, T. et al. (1998) J. Biol. Chem. 273:4135.
  6. Bailly, V. et al. (2002) J. Biol. Chem. 277:39739.
  7. Umetsu, D.T. et al. (2005) J. Pediatr. Gastroenterol. Nutr. 40:S43.
  8. Gao, P-S. et al. (2005) J. Allergy Clin. Immunol. 115:982.
  9. Zhu, C. et al. (2005) Nat. Immunol. 6:1245.
  10. Meyers, J.H. et al. (2005) Nat. Immunol. 6:455.

Long Name

T Cell Immunoglobulin Mucin-1

Alternate Names

CD365, HAVCR1, KIM-1, TIM1

Entrez Gene IDs

26762 (Human); 171283 (Mouse); 286934 (Rat); 102141332 (Cynomolgus Monkey)

Gene Symbol

HAVCR1

UniProt

Additional TIM-1/KIM-1/HAVCR Products

Product Documents for Human TIM-1/KIM-1/HAVCR Antibody

Certificate of Analysis

To download a Certificate of Analysis, please enter a lot number in the search box below.

Note: Certificate of Analysis not available for kit components.

Product Specific Notices for Human TIM-1/KIM-1/HAVCR Antibody

This product is covered by one or more of the following US Patents 7,300,652; 7,041,290; 6,664,385 and other US and foreign patents pending or issued.

For research use only

Loading...
Loading...
Loading...
Loading...
Loading...