Skip to main content

Key Product Details

Species Reactivity

Validated:

Human

Cited:

Human, Mouse

Applications

Validated:

Immunohistochemistry, Western Blot, Flow Cytometry, CyTOF-ready

Cited:

Immunohistochemistry, Western Blot, Flow Cytometry, Immunoprecipitation

Label

Unconjugated

Antibody Source

Polyclonal Goat IgG

Product Specifications

Immunogen

Mouse myeloma cell line NS0-derived recombinant human Tie-1
Ala22-Gln760
Accession # P35590

Specificity

Detects human Tie-1 in direct ELISAs and Western blots. In direct ELISAs, approximately 50% cross-reactivity with recombinant mouse Tie-1 is observed and less than 1% cross-reactivity with recombinant human Tie‑2 is observed.

Clonality

Polyclonal

Host

Goat

Isotype

IgG

Scientific Data Images for Human Tie-1 Antibody

Detection of Tie-1 antibody in HUVEC Human Cells antibody by Flow Cytometry.

Detection of Tie-1 in HUVEC Human Cells by Flow Cytometry.

HUVEC human umbilical vein endothelial cells were stained with Goat Anti-Human Tie-1 Antigen Affinity-purified Polyclonal Antibody (Catalog # AF619, filled histogram) or control antibody (Catalog # AB-108-C, open histogram), followed by Phycoerythrin-conjugated Anti-Goat IgG Secondary Antibody (Catalog # F0107).
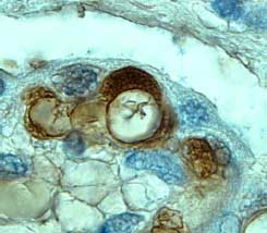
Tie-1 antibody in Human Placenta by Immunohistochemistry (IHC-P).

Tie-1 in Human Placenta.

Tie-1 was detected in immersion fixed paraffin-embedded sections of human placenta using 8 µg/mL Goat Anti-Human Tie-1 Antigen Affinity-purified Polyclonal Antibody (Catalog # AF619) overnight at 4 °C. Tissue was stained with the Anti-Goat HRP-DAB Cell & Tissue Staining Kit (brown; Catalog # CTS008) and counter-stained with hematoxylin (blue). View our protocol for Chromogenic IHC Staining of Paraffin-embedded Tissue Sections.

Applications for Human Tie-1 Antibody

Application
Recommended Usage

CyTOF-ready

Ready to be labeled using established conjugation methods. No BSA or other carrier proteins that could interfere with conjugation.

Flow Cytometry

2.5 µg/106 cells
Sample: HUVEC human umbilical vein endothelial cells

Immunohistochemistry

5-15 µg/mL
Sample: Immersion fixed paraffin-embedded sections of human placenta

Western Blot

0.1 µg/mL
Sample: Recombinant Human Tie-1 Fc Chimera (Catalog # 619-TI)

Reviewed Applications

Read 2 reviews rated 3.5 using AF619 in the following applications:

Formulation, Preparation, and Storage

Purification

Antigen Affinity-purified

Reconstitution

Reconstitute at 0.2 mg/mL in sterile PBS. For liquid material, refer to CoA for concentration.

Reconstitution Buffer Available:
Size / Price
Qty
Loading...

Formulation

Lyophilized from a 0.2 μm filtered solution in PBS with Trehalose. *Small pack size (SP) is supplied either lyophilized or as a 0.2 µm filtered solution in PBS.

Shipping

Lyophilized product is shipped at ambient temperature. Liquid small pack size (-SP) is shipped with polar packs. Upon receipt, store immediately at the temperature recommended below.

Stability & Storage

Use a manual defrost freezer and avoid repeated freeze-thaw cycles.
  • 12 months from date of receipt, -20 to -70 °C as supplied.
  • 1 month, 2 to 8 °C under sterile conditions after reconstitution.
  • 6 months, -20 to -70 °C under sterile conditions after reconstitution.

Background: Tie-1

Tie-1/Tie (tyrosine kinase with Ig and EGF homology domains 1) and Tie-2/Tek comprise a receptor tyrosine kinase (RTK) subfamily with unique structural characteristics: two immunoglobulin-like domains flanking three epidermal growth factor (EGF)-like domains and followed by three fibronectin type III-like repeats in the extracellular region and a split tyrosine kinase domain in the cytoplasmic region. These receptors are expressed primarily on endothelial and hematopoietic progenitor cells and play critical roles in angiogenesis, vasculogenesis and hematopoiesis.

Human Tie-1 cDNA encodes a 1138 amino acid (aa) residue precursor protein with a 24 residue putative signal peptide, a 735 residue extracellular domain and a 354 residue cytoplasmic domain. Ligands which bind and activate Tie-1 have not been identified. Based on gene-targeting studies, the in vivo functions of Tie-1 have been shown to be related to endothelial cell differentiation and the maintenance of integrity of the endothelium.

References

  1. Partanen, J. and D.J. Dumont (1999) Curr. Top. Microbiol. Immunol. 237:159
  2. Sato, T.N. et al. (1995) Nature 376:70

Long Name

Tyrosine Kinase with Immunoglobulin and Epidermal Growth Factor Homology Domains 1

Alternate Names

Tie1

Entrez Gene IDs

7075 (Human); 21846 (Mouse)

Gene Symbol

TIE1

UniProt

Additional Tie-1 Products

Product Documents for Human Tie-1 Antibody

Certificate of Analysis

To download a Certificate of Analysis, please enter a lot number in the search box below.

Note: Certificate of Analysis not available for kit components.

Product Specific Notices for Human Tie-1 Antibody

For research use only

Loading...
Loading...
Loading...
Loading...
Loading...