Skip to main content

Key Product Details

Species Reactivity

Validated:

Human

Cited:

Human, Mouse, Rat, Avian - Chicken, Chicken, Gerbil, Primate - Macaca mulatta (Rhesus Macaque), Transgenic Mouse, Xenograft

Applications

Validated:

Immunohistochemistry, Western Blot, Immunocytochemistry

Cited:

Immunohistochemistry, Immunohistochemistry-Paraffin, Immunohistochemistry-Frozen, Western Blot, Flow Cytometry, Immunocytochemistry, Immunocytochemistry/ Immunofluorescence, Immunoprecipitation, FACS, IHC-F, In Situ, In Situ Hybridization, Proximity Ligation Assay (PLA)

Label

Unconjugated

Antibody Source

Polyclonal Goat IgG

Product Specifications

Immunogen

E. coli-derived recombinant human SOX10
Met1-Ala118
Accession # P56693

Specificity

Detects human SOX10 in direct ELISAs and Western blots.

Clonality

Polyclonal

Host

Goat

Isotype

IgG

Scientific Data Images for Human SOX10 Antibody

SOX10 in SK-Mel-28 Human Cell Line.

SOX10 was detected in immersion fixed SK-Mel-28 human malignant melanoma cell line using Goat Anti-Human SOX10 Antigen Affinity-purified Polyclonal Antibody (Catalog # AF2864) at 15 µg/mL for 3 hours at room temperature. Cells were stained using the NorthernLights™ 557-conjugated Anti-Goat IgG Secondary Antibody (red; NL001) and counterstained with DAPI (blue). Specific staining was localized to cell nuclei. Staining was performed using our protocol for Fluorescent ICC Staining of Non-adherent Cells.
SOX10 antibody in BG01V Human Embryonic Stem Cells by Immunocytochemistry (ICC).

SOX10 in BG01V Human Embryonic Stem Cells.

SOX10 was detected in immersion fixed BG01V human embryonic stem cells differentiated to neural crest stem cells using Goat Anti-Human SOX10 Antigen Affinity-purified Polyclonal Antibody (Catalog # AF2864) at 10 µg/mL for 3 hours at room temperature. Cells were stained using the NorthernLights™ 557-conjugated Anti-Goat IgG Secondary Antibody (red; Catalog # NL001) and counterstained with DAPI (blue). Specific staining was localized to nuclei. View our protocol for Fluorescent ICC Staining of Cells on Coverslips.

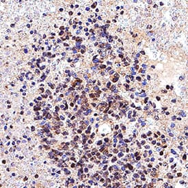
SOX10 in Human Melanoma Tissue.

SOX10 was detected in immersion fixed paraffin-embedded sections of human melanoma tissue using Goat Anti-Human SOX10 Antigen Affinity-purified Polyclonal Antibody (Catalog # AF2864) at 15 µg/mL for 1 hour at room temperature followed by incubation with the Anti-Goat IgG VisUCyte™ HRP Polymer Antibody (VC004). Before incubation with the primary antibody, tissue was subjected to heat-induced epitope retrieval using Antigen Retrieval Reagent-Basic (CTS013). Tissue was stained using DAB (brown) and counterstained with hematoxylin (blue). Specific staining was localized to cell nuclei. Staining was performed using our protocol for IHC Staining with VisUCyte HRP Polymer Detection Reagents.

Applications for Human SOX10 Antibody

Application
Recommended Usage

Immunocytochemistry

5-15 µg/mL
Sample: Immersion fixed SK‑Mel‑28 human malignant melanoma cell line and immersion fixed BG01V human embryonic stem cells differentiated to neural crest stem cells

Immunohistochemistry

5-15 µg/mL
Sample: Immersion fixed paraffin-embedded sections of human melanoma tissue

Western Blot

0.1 µg/mL
Sample: Recombinant Human SOX10

Reviewed Applications

Read 9 reviews rated 4.4 using AF2864 in the following applications:

Formulation, Preparation, and Storage

Purification

Antigen Affinity-purified

Reconstitution

Reconstitute at 0.2 mg/mL in sterile PBS. For liquid material, refer to CoA for concentration.

Reconstitution Buffer Available:
Size / Price
Qty
Loading...

Formulation

Lyophilized from a 0.2 μm filtered solution in PBS with Trehalose. *Small pack size (SP) is supplied either lyophilized or as a 0.2 µm filtered solution in PBS.

Shipping

Lyophilized product is shipped at ambient temperature. Liquid small pack size (-SP) is shipped with polar packs. Upon receipt, store immediately at the temperature recommended below.

Stability & Storage

Use a manual defrost freezer and avoid repeated freeze-thaw cycles.
  • 12 months from date of receipt, -20 to -70 °C as supplied.
  • 1 month, 2 to 8 °C under sterile conditions after reconstitution.
  • 6 months, -20 to -70 °C under sterile conditions after reconstitution.

Background: SOX10

SOX10 belongs to the SOX family of transcription factors with diverse roles during development. In the central nervous system (CNS), SOX10 is required for the terminal differentiation of oligodendrocytes and myelination. In the peripheral nervous system, SOX10 maintains pluripotency of neural crest stem cells and suppresses neuronal differentiation.

Long Name

SRY-box transcription factor 10

Alternate Names

DOM, PCWH, SOX-10, WS2E, WS4, WS4C

Entrez Gene IDs

6663 (Human); 20665 (Mouse); 29361 (Rat)

Gene Symbol

SOX10

UniProt

Additional SOX10 Products

Product Documents for Human SOX10 Antibody

Certificate of Analysis

To download a Certificate of Analysis, please enter a lot number in the search box below.

Note: Certificate of Analysis not available for kit components.

Product Specific Notices for Human SOX10 Antibody

For research use only

Loading...
Loading...
Loading...
Loading...