Skip to main content

Key Product Details

Species Reactivity

Human

Applications

Immunocytochemistry, Immunohistochemistry, Simple Western, Western Blot

Label

Unconjugated

Antibody Source

Monoclonal Mouse IgG2B Clone # 1084056

Product Specifications

Immunogen

Synthetic Peptide
Accession # P31040

Specificity

Detects a synthetic peptide corresponding to residues near amino acid 610 of human SDHA protein by Direct ELISA.

Clonality

Monoclonal

Host

Mouse

Isotype

IgG2B

Scientific Data Images for Human SDHA Antibody

Detection of Human SDHA by Western Blot.

Western Blot shows lysates of HepG2 human hepatocellular carcinoma cell line and MCF-7 human breast cancer cell line. PVDF membrane was probed with 1 µg/ml of Mouse Anti-Human SDHA Monoclonal Antibody (Catalog # MAB11586) followed by HRP-conjugated Anti-Mouse IgG Secondary Antibody (Catalog # HAF018). A specific band was detected for SDHA at approximately 70 kDa (as indicated). This experiment was conducted under reducing conditions and using Western Blot Buffer Group 1.

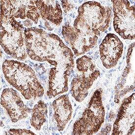
Detection of SDHA in Human Kidney.

SDHA was detected in immersion fixed paraffin-embedded sections of human kidney using Mouse Anti-Human SDHA Monoclonal Antibody (Catalog # MAB11586) at 5 µg/ml for 1 hour at room temperature followed by incubation with the Anti-Mouse IgG VisUCyte™ HRP Polymer Antibody (Catalog # VC001). Before incubation with the primary antibody, tissue was subjected to heat-induced epitope retrieval using VisUCyte Antigen Retrieval Reagent-Basic (Catalog # VCTS021). Tissue was stained using DAB (brown) and counterstained with hematoxylin (blue). Specific staining was localized to the cytoplasm. View our protocol for IHC Staining with VisUCyte HRP Polymer Detection Reagents.

Detection of SDHA in MCF-7 Human Cell Line.

SDHA was detected in immersion fixed MCF-7 human breast cancer cell line using Mouse Anti-Human SDHA Monoclonal Antibody (Catalog # MAB11586) at 8 µg/ml for 3 hours at room temperature. Cells were stained using the NorthernLights™ 557-conjugated Anti-Mouse IgG Secondary Antibody (red; Catalog # NL007) and counterstained with DAPI (blue). Specific staining was localized to the cytoplasm. View our protocol for Fluorescent ICC Staining of Cells on Coverslips.

Applications for Human SDHA Antibody

Application
Recommended Usage

Immunocytochemistry

3-25 µg/mL
Sample: Immersion fixed MCF-7 human breast cancer cell line

Immunohistochemistry

3-25 µg/mL
Sample: Immersion fixed paraffin-embedded sections of human kidney

Simple Western

20 µg/mL
Sample: HepG2 human hepatocellular carcinoma cell line

Western Blot

1 µg/mL
Sample: HepG2 human hepatocellular carcinoma cell line and MCF-7 human breast cancer cell line

Formulation, Preparation, and Storage

Purification

Protein A or G purified from hybridoma culture supernatant

Reconstitution

Reconstitute lyophilized material at 0.2 mg/ml in sterile PBS. For liquid material, refer to CoA for concentration.

Reconstitution Buffer Available:
Size / Price
Qty
Loading...

Formulation

Lyophilized from a 0.2 μm filtered solution in PBS with Trehalose.

Shipping

Lyophilized product is shipped at ambient temperature. Liquid small pack size (-SP) is shipped with polar packs. Upon receipt, store immediately at the temperature recommended below.

Stability & Storage

Use a manual defrost freezer and avoid repeated freeze-thaw cycles.
  • 12 months from date of receipt, -20 to -70 °C as supplied.
  • 1 month, 2 to 8 °C under sterile conditions after reconstitution.
  • 6 months, -20 to -70 °C under sterile conditions after reconstitution.

Background: SDHA

SDHA is 73 kDa protein located on the inner membrane of the mitochondria which participates in both the citric acid cycle and the respiratory chain. SDHA is one subunit of the SDH complex, which contains 4 total subunits, that are encoded by nuclear genes.  All the SDH genes are involved in the tumorigenesis of different types of cancers. Germline SDHA mutations are a driver for multiple types of cancers.

References

  1. Horsefield R, Yankovskaya V, Sexton G, Whittingham W, Shiomi K, Omura S, Byrne B, Cecchini G, Iwata S. Structural and computational analysis of the quinone-binding site of complex II (succinate-ubiquinone oxidoreductase): a mechanism of electron transfer and proton conduction during ubiquinone reduction. J Biol Chem. 2006 Mar 17;281(11):7309-16. doi: 10.1074/jbc.M508173200. Epub 2005 Dec 27. PMID: 16407191. 
  2. Schipani A, Nannini M, Astolfi A, Pantaleo MA. SDHA Germline Mutations in SDH-Deficient GISTs: A Current Update. Genes (Basel). 2023 Mar 4;14(3):646. doi: 10.3390/genes14030646. PMID: 36980917; PMCID: PMC10048394.
  3. Dubard Gault M, Mandelker D, DeLair D, Stewart CR, Kemel Y, Sheehan MR, Siegel B, Kennedy J, Marcell V, Arnold A, Al-Ahmadie H, Modak S, Robson M, Shukla N, Roberts S, Vijai J, Topka S, Kentsis A, Cadoo K, Carlo M, Latham Schwark A, Reznik E, Dinatale R, Hechtman J, Borras Flores E, Jairam S, Yang C, Li Y, Bayraktar EC, Ceyhan-Birsoy O, Zhang L, Kohlman W, Schiffman J, Stadler Z, Birsoy K, Kung A, Offit K, Walsh MF. Germline SDHA mutations in children and adults with cancer. Cold Spring Harb Mol Case Stud. 2018 Aug 1;4(4):a002584. doi: 10.1101/mcs.a002584. PMID: 30068732; PMCID: PMC6071569.

Long Name

SDHA

Alternate Names

CMD1GG, MC2DN1, NDAXOA, PGL5, PPGL5, SDH1, SDH2, SDHF

Entrez Gene IDs

6389 (Human); 66945 (Mouse); 157074 (Rat)

Gene Symbol

P31040

UniProt

Additional SDHA Products

Product Documents for Human SDHA Antibody

Certificate of Analysis

To download a Certificate of Analysis, please enter a lot number in the search box below.

Note: Certificate of Analysis not available for kit components.

Product Specific Notices for Human SDHA Antibody

For research use only

Loading...
Loading...
Loading...
Loading...