Skip to main content

Key Product Details

Validated by

Biological Validation

Species Reactivity

Validated:

Human

Cited:

Human, Xenograft

Applications

Validated:

Immunohistochemistry, Western Blot, Immunocytochemistry

Cited:

Western Blot, Western Blots

Label

Unconjugated

Antibody Source

Polyclonal Goat IgG

Product Specifications

Immunogen

E.coli-derived recombinant human RNF4
Met1-Ile190
Accession # P78317

Specificity

Detects human RNF4 in direct ELISAs and Western blots.

Clonality

Polyclonal

Host

Goat

Isotype

IgG

Scientific Data Images for Human RNF4 Antibody

Detection of Human RNF4 antibody by Western Blot.

Detection of Human RNF4 by Western Blot.

Western blot shows lysates of GM00719D human ataxia telangiectasia cell line either mock-treated (-) or exposed (+) to 10 Gy ionizing radiation (IR) and harvested after 1 hour, BaF3 mouse pro-B cell line, and LNCaP human prostate cancer cell line. PVDF membrane was probed with 1 µg/mL of Goat Anti-Human RNF4 Antigen Affinity-purified Polyclonal Antibody (Catalog # AF7964) followed by HRP-conjugated Anti-Goat IgG Secondary Antibody (Catalog # HAF017). A specific band was detected for RNF4 at approximately 34 kDa (as indicated). This experiment was conducted under reducing conditions and using Immunoblot Buffer Group 1.
RNF4 antibody in HeLa Human Cell Line by Immunocytochemistry (ICC).

RNF4 in HeLa Human Cell Line.

RNF4 was detected in immersion fixed HeLa human cervical epithelial carcinoma cell line using Goat Anti-Human RNF4 Antigen Affinity-purified Polyclonal Antibody (Catalog # AF7964) at 1.7 µg/mL for 3 hours at room temperature. Cells were stained using the NorthernLights™ 557-conjugated Anti-Goat IgG Secondary Antibody (red; Catalog # NL001) and counterstained with DAPI (blue). Specific staining was localized to nuclei and cytoplasm. View our protocol for Fluorescent ICC Staining of Cells on Coverslips.
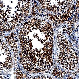
RNF4 antibody in Human Testis by Immunohistochemistry (IHC-P).

RNF4 in Human Testis.

RNF4 was detected in immersion fixed paraffin-embedded sections of human testis using Goat Anti-Human RNF4 Antigen Affinity-purified Polyclonal Antibody (Catalog # AF7964) at 10 µg/mL overnight at 4 °C. Tissue was stained using the Anti-Goat HRP-DAB Cell & Tissue Staining Kit (brown; Catalog # CTS008) and counterstained with hematoxylin (blue). Specific staining was localized to nuclei and cytoplasm. View our protocol for Chromogenic IHC Staining of Paraffin-embedded Tissue Sections.

Applications for Human RNF4 Antibody

Application
Recommended Usage

Immunocytochemistry

1-15 µg/mL
Sample: Immersion fixed HeLa human cervical epithelial carcinoma cell line

Immunohistochemistry

1-15 µg/mL
Sample: Immersion fixed paraffin-embedded sections of human testis

Western Blot

1 µg/mL
Sample: GM00719D human ataxia telangiectasia cell line exposed to 10 Gy ionizing radiation (IR) and harvested after 1 hour, BaF3 mouse pro-B cell line, and LNCaP human prostate cancer cell line

Reviewed Applications

Read 1 review rated 4 using AF7964 in the following applications:

Formulation, Preparation, and Storage

Purification

Antigen Affinity-purified

Reconstitution

Reconstitute at 0.2 mg/mL in sterile PBS. For liquid material, refer to CoA for concentration.

Reconstitution Buffer Available:
Size / Price
Qty
Loading...

Formulation

Lyophilized from a 0.2 μm filtered solution in PBS with Trehalose. *Small pack size (SP) is supplied either lyophilized or as a 0.2 µm filtered solution in PBS.

Shipping

Lyophilized product is shipped at ambient temperature. Liquid small pack size (-SP) is shipped with polar packs. Upon receipt, store immediately at the temperature recommended below.

Stability & Storage

Use a manual defrost freezer and avoid repeated freeze-thaw cycles.
  • 12 months from date of receipt, -20 to -70 °C as supplied.
  • 1 month, 2 to 8 °C under sterile conditions after reconstitution.
  • 6 months, -20 to -70 °C under sterile conditions after reconstitution.

Background: RNF4

RNF4 (small nuclear ring finger protein, SNURF) is a RING-finger ubiquitin E3 ligase that ubiquitinates and mediates the proteasomal destruction of targets such as PML, PEA3, CENP1, and PARP1. In addition to the RING domain, RNF4 contains four SUMO-interacting motifs (SIMs) that function to recruit this ligase to poly-sumoylated substrates. RNF4 will autoubiquitinate in vitro, and will also ubiquitinate poly-SUMO chains.

References

  1. Geoffroy, M-C et al. (2010) Mol. Bio. Cell 21: 4227
  2. Tathum, M.H. et al. (2008) Nat. Cell Bio. 10: 538

Long Name

Ring Finger Protein 4

Alternate Names

RES4-26, SLX5, SNURF

Entrez Gene IDs

6047 (Human)

Gene Symbol

RNF4

UniProt

Additional RNF4 Products

Product Documents for Human RNF4 Antibody

Certificate of Analysis

To download a Certificate of Analysis, please enter a lot number in the search box below.

Note: Certificate of Analysis not available for kit components.

Product Specific Notices for Human RNF4 Antibody

For research use only

Loading...
Loading...
Loading...
Loading...