Skip to main content

Key Product Details

Species Reactivity

Validated:

Human, Rat

Cited:

Human, Mouse, Transgenic Mouse

Applications

Validated:

Immunohistochemistry

Cited:

Immunohistochemistry, Immunohistochemistry-Paraffin, Immunohistochemistry-Frozen, Immunocytochemistry

Label

Unconjugated

Antibody Source

Monoclonal Mouse IgG2A Clone # 7G4

Product Specifications

Immunogen

E. coli-derived recombinant rat Neurogenin-2

Specificity

Detect human and rat Neurogenin‑2.

Clonality

Monoclonal

Host

Mouse

Isotype

IgG2A

Scientific Data Images for Human/Rat Neurogenin-2 Antibody

Detection of Neurogenin-2 in Human Cerebellum.

Neurogenin-2 was detected in immersion fixed paraffin-embedded sections of human cerebellum using Mouse Anti-Human/Rat Neurogenin-2 Monoclonal Antibody (Catalog # MAB3314) at 5 µg/ml for 1 hour at room temperature followed by incubation with the HRP-conjugated Anti-Mouse IgG Secondary Antibody (Catalog # HAF007) or the Anti-Mouse IgG VisUCyte™ HRP Polymer Antibody (Catalog # VC001). Before incubation with the primary antibody, tissue was subjected to heat-induced epitope retrieval using VisUCyte Antigen Retrieval Reagent-Basic (Catalog # VCTS021). Tissue was stained using DAB (brown) and counterstained with hematoxylin (blue). Specific staining was localized to the nucleus. View our protocol for Chromogenic IHC Staining of Paraffin-embedded Tissue Sections.

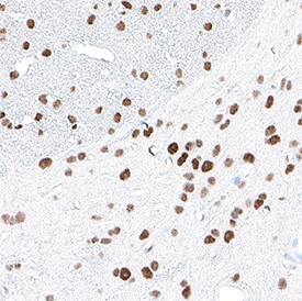
Detection of Neurogenin-2 in Rat Brain.

Neurogenin-2 was detected in immersion fixed paraffin-embedded sections of rat brain using Mouse Anti-Human/Rat Neurogenin-2 Monoclonal Antibody (Catalog # MAB3314) at 5 µg/ml for 1 hour at room temperature followed by incubation with the HRP-conjugated Anti-Mouse IgG Secondary Antibody (Catalog # HAF007) or the Anti-Mouse IgG VisUCyte™ HRP Polymer Antibody (Catalog # VC001). Before incubation with the primary antibody, tissue was subjected to heat-induced epitope retrieval using VisUCyte Antigen Retrieval Reagent-Basic (Catalog # VCTS021). Tissue was stained using DAB (brown) and counterstained with hematoxylin (blue). Specific staining was localized to the nucleus. View our protocol for Chromogenic IHC Staining of Paraffin-embedded Tissue Sections.

Applications for Human/Rat Neurogenin-2 Antibody

Application
Recommended Usage

Immunohistochemistry

8-25 µg/mL
Sample: Immersion fixed paraffin-embedded sections of human cerebellum and rat brain

Formulation, Preparation, and Storage

Purification

Protein A or G purified from hybridoma culture supernatant

Reconstitution

Reconstitute at 0.5 mg/mL in sterile PBS. For liquid material, refer to CoA for concentration.

Reconstitution Buffer Available:
Size / Price
Qty
Loading...

Formulation

Lyophilized from a 0.2 μm filtered solution in PBS and NaCl with Trehalose. See Certificate of Analysis for details.
*Small pack size (-SP) is supplied either lyophilized or as a 0.2 µm filtered solution in PBS.

Shipping

Lyophilized product is shipped at ambient temperature. Liquid small pack size (-SP) is shipped with polar packs. Upon receipt, store immediately at the temperature recommended below.

Stability & Storage

Use a manual defrost freezer and avoid repeated freeze-thaw cycles.
  • 12 months from date of receipt, -20 to -70 °C as supplied.
  • 1 month, 2 to 8 °C under sterile conditions after reconstitution.
  • 6 months, -20 to -70 °C under sterile conditions after reconstitution.

Background: Neurogenin-2

Neurogenin-2 (NgN2) is a member of neuroD-related bHLH transcription factor family. It is required for neurogenesis and can be used as a marker for cells of neuronal lineage.

Alternate Names

Atoh4, Math4A, NEUROG2, Neurogenin2

Entrez Gene IDs

63973 (Human); 11924 (Mouse); 295475 (Rat)

Gene Symbol

NEUROG2

Additional Neurogenin-2 Products

Product Documents for Human/Rat Neurogenin-2 Antibody

Certificate of Analysis

To download a Certificate of Analysis, please enter a lot number in the search box below.

Note: Certificate of Analysis not available for kit components.

Product Specific Notices for Human/Rat Neurogenin-2 Antibody

For research use only

Loading...
Loading...
Loading...
Loading...