Human Prostasin/Prss8 Antibody
R&D Systems, part of Bio-Techne | Catalog # MAB4599

Key Product Details
Species Reactivity
Applications
Label
Antibody Source
Product Specifications
Immunogen
Ala33-Gly319
Accession # Q16651
Specificity
Clonality
Host
Isotype
Scientific Data Images for Human Prostasin/Prss8 Antibody
Detection of Human Prostasin/Prss8 by Western Blot.
Western blot shows lysates of human prostate tissue. PVDF Membrane was probed with 2 µg/mL of Human Prostasin/Prss8 Monoclonal Antibody (Catalog # MAB4599) followed by HRP-conjugated Anti-Mouse IgG Secondary Antibody (Catalog # HAF007). A specific band was detected for Prostasin/Prss8 at approximately 40 kDa (as indicated). This experiment was conducted under non-reducing conditions and using Immunoblot Buffer Group 1.Prostasin/Prss8 in Human Prostate.
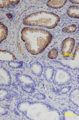
Prostasin/Prss8 was detected in immersion fixed paraffin-embedded sections of human prostate using Human Prostasin/Prss8 Monoclonal Antibody (Catalog # MAB4599) at 15 µg/mL overnight at 4 °C. Tissue was stained using the Anti-Mouse HRP-DAB Cell & Tissue Staining Kit (brown; Catalog # CTS002) and counterstained with hematoxylin (blue). Lower panel shows a lack of labeling if primary antibodies are omitted and tissue is stained only with secondary antibody followed by incubation with detection reagents. Specific staining was localized to cytoplasm. View our protocol for Chromogenic IHC Staining of Paraffin-embedded Tissue Sections.Applications for Human Prostasin/Prss8 Antibody
Immunohistochemistry
Sample: Immersion fixed paraffin-embedded sections of human prostate
Immunoprecipitation
Sample: Conditioned cell culture medium spiked with Recombinant Human Prostasin/Prss8 (Catalog # 4599-SE), see our available Western blot detection antibodies
Western Blot
Sample: Human prostate tissue under non-reducing conditions only
Formulation, Preparation, and Storage
Purification
Reconstitution
Formulation
Shipping
Stability & Storage
- 12 months from date of receipt, -20 to -70 °C as supplied.
- 1 month, 2 to 8 °C under sterile conditions after reconstitution.
- 6 months, -20 to -70 °C under sterile conditions after reconstitution.
Background: Prostasin/Prss8
Prostasin, also known as Prss8 and channel activating protease 1, is a 40 kDa serine protease with trypsin-like substrate specificity that is a member of the peptidase S1 family. The enzyme is synthesized from a 343 amino acid (aa) preproenzyme that contains a 29 aa signal peptide, a propeptide (aa 30-32) and a 290 aa mature chain. A second propeptide (aa 323-343) contains a 21 aa transmembrane region (GPI anchor) which can be proteolytically processed to generate a secreted form of the enzyme. The mature chain forms a heterodimer made up of a light chain (aa 33-44) and a heavy chain (aa 45-322) that are connected by disulfide bonds. In addition, aa 45-286 constitute a peptidase S1 domain, and aa 159 is a potential site for N-linked glycosylation. Mature human Prostasin is 79% and 78% aa identical to mature mouse and rat Prostasin, respectively. Prostasin is highly expressed in the prostate gland, and is expressed at lower levels in the lung, kidney, salivary gland, and pancreas. It activates amiloride-sensitive sodium channels.
Additional Prostasin/Prss8 Products
Product Documents for Human Prostasin/Prss8 Antibody
Product Specific Notices for Human Prostasin/Prss8 Antibody
For research use only