Skip to main content

Key Product Details

Species Reactivity

Validated:

Human

Cited:

Human, Canine

Applications

Validated:

Immunohistochemistry, Western Blot

Cited:

Immunohistochemistry, Immunohistochemistry-Paraffin, Western Blot

Label

Unconjugated

Antibody Source

Polyclonal Goat IgG

Product Specifications

Immunogen

Mouse myeloma cell line NS0-derived recombinant human Prolactin R
Gln25-Asp234
Accession # P16471

Specificity

Detects human Prolactin R in direct ELISAs and Western blots. In Western blots, approximately 25% cross‑reactivity with recombinant mouse Prolactin R and recombinant rat Prolactin R is observed.

Clonality

Polyclonal

Host

Goat

Isotype

IgG

Scientific Data Images for Human Prolactin R Antibody

Detection of Human Prolactin R antibody by Western Blot.

Detection of Human Prolactin R by Western Blot.

Western blot shows lysates of MCF-7 human breast cancer cell line, MDA-MB-453 human breast cancer cell line, and MDA-MB-468 human breast cancer cell line. PVDF membrane was probed with 1 µg/mL of Goat Anti-Human Prolactin R Antigen Affinity-purified Polyclonal Antibody (Catalog # AF1167) followed by HRP-conjugated Anti-Goat IgG Secondary Antibody (Catalog # HAF017). A specific band was detected for Prolactin R at approximately 95 kDa (as indicated). This experiment was conducted under reducing conditions and using Immunoblot Buffer Group 1.
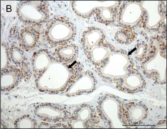
Detection of Canine Prolactin R by Immunohistochemistry

Detection of Canine Prolactin R by Immunohistochemistry

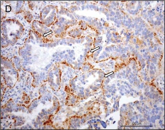
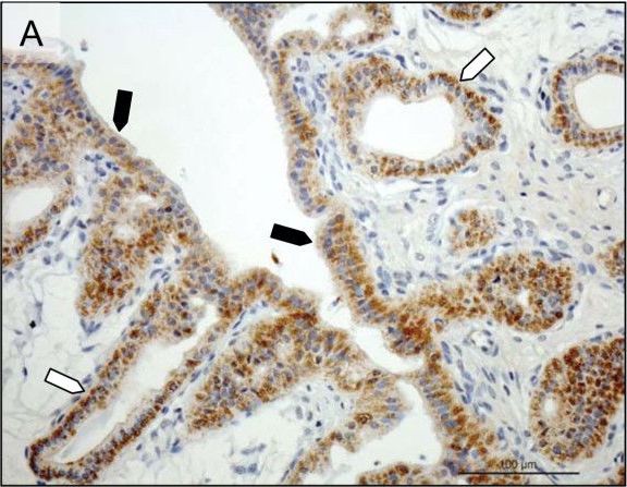
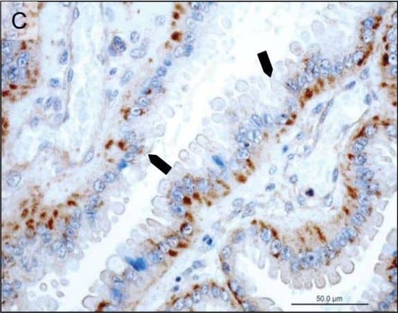
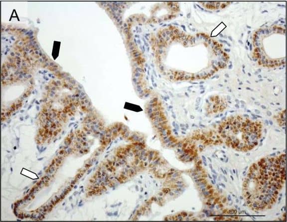
Immunohistochemical (IHC) localization of PRLr in the uterus pre-implantation and in the utero/placental compartment. (A, B) IHC localization of PRLr in canine endometrium at the pre-implantation stage of pregnancy. (C, D) IHC localization of PRLr within the utero/placental compartment (mid-gestation). (E, F) Localization of PRLr-mRNA in utero/placental compartment by in situ hybridization (ISH).(A, B) Pre-implantation PRLr is localized to the endometrial surface epithelial cells (solid arrowheads) and glandular epithelial cells of the superficial (open arrowheads) and deep (solid arrows) uterine glands. (C, D) Within the utero/placental compartment signals are localized to the endometrial glands including the superficial glands (solid arrowheads) (the so-called glandular chambers) and to the fetal trophoblast cells (open arrows). (E, F) The same localization pattern was observed at the mRNA-level by ISH. Thus, strong signals are localized to the trophoblast cells (open arrows) including those strongly invading maternal blood vessels at the base of placental labyrinth (open arrows). Image collected and cropped by CiteAb from the following open publication (https://rbej.biomedcentral.com/articles/10.1186/1477-7827-9-109), licensed under a CC-BY license. Not internally tested by R&D Systems.
Detection of Canine Prolactin R by Immunohistochemistry

Detection of Canine Prolactin R by Immunohistochemistry

Immunohistochemical (IHC) localization of PRLr in the uterus pre-implantation and in the utero/placental compartment. (A, B) IHC localization of PRLr in canine endometrium at the pre-implantation stage of pregnancy. (C, D) IHC localization of PRLr within the utero/placental compartment (mid-gestation). (E, F) Localization of PRLr-mRNA in utero/placental compartment by in situ hybridization (ISH).(A, B) Pre-implantation PRLr is localized to the endometrial surface epithelial cells (solid arrowheads) and glandular epithelial cells of the superficial (open arrowheads) and deep (solid arrows) uterine glands. (C, D) Within the utero/placental compartment signals are localized to the endometrial glands including the superficial glands (solid arrowheads) (the so-called glandular chambers) and to the fetal trophoblast cells (open arrows). (E, F) The same localization pattern was observed at the mRNA-level by ISH. Thus, strong signals are localized to the trophoblast cells (open arrows) including those strongly invading maternal blood vessels at the base of placental labyrinth (open arrows). Image collected and cropped by CiteAb from the following open publication (https://rbej.biomedcentral.com/articles/10.1186/1477-7827-9-109), licensed under a CC-BY license. Not internally tested by R&D Systems.

Applications for Human Prolactin R Antibody

Application
Recommended Usage

Immunohistochemistry

5-15 µg/mL
Sample: Immersion fixed paraffin-embedded sections of human breast

Western Blot

1 µg/mL
Sample: MCF‑7 human breast cancer cell line, MDA‑MB‑453 human breast cancer cell line, and MDA‑MB‑468 human breast cancer cell line

Formulation, Preparation, and Storage

Purification

Antigen Affinity-purified

Reconstitution

Reconstitute at 0.2 mg/mL in sterile PBS. For liquid material, refer to CoA for concentration.

Reconstitution Buffer Available:
Size / Price
Qty
Loading...

Formulation

Lyophilized from a 0.2 μm filtered solution in PBS with Trehalose. *Small pack size (SP) is supplied either lyophilized or as a 0.2 µm filtered solution in PBS.

Shipping

Lyophilized product is shipped at ambient temperature. Liquid small pack size (-SP) is shipped with polar packs. Upon receipt, store immediately at the temperature recommended below.

Stability & Storage

Use a manual defrost freezer and avoid repeated freeze-thaw cycles.
  • 12 months from date of receipt, -20 to -70 °C as supplied.
  • 1 month, 2 to 8 °C under sterile conditions after reconstitution.
  • 6 months, -20 to -70 °C under sterile conditions after reconstitution.

Background: Prolactin R

The neuroendocrine pituitary hormone Prolactin (PRL), also known as lactotrophin, mamotrophin, luteotropic hormone (LTH), or luteotropin, is a secreted hormone that affects reproduction and homeostasis in vertebrates. The functions of PRL can be placed in six broad categories: 1) reproduction and lactation; 2) growth and development; 3) endocrinology and metabolism; 4) brain and behavior; 5) immunomodulation; and 6) electrolyte balance (1, 2). PRL is secreted by the anterior pituitary gland, mammary gland, placenta, brain, uterus, decidua, dermal fibroblasts, B cells, T cells, NK cells, and some breast cancer cell lines. Although the major form of PRL is a 23 kDa monomeric protein, splice variants of 14, 16, and 22 kDa have been identified. PRL has also been found to be glycosylated, phosphorylated, dimerized, and polymerized. Glycosylation, phosphorylation, dimerization, or polymerization of PRL result in lower activity (2).

Cell activation by PRL is mediated by a single chain membrane-bound protein belonging to the class 1 cytokine superfamily. The PRL receptor (PRL R) contains an extracellular, transmembrane, and intracellular domain. Transcriptional regulation of the PRL R gene results in several different species-dependent isoforms of PRL R being produced. Although the cytoplasmic domains of the different isoforms vary in length and composition, their extracellular domains are identical. In rats, three major PRL receptor isoforms have been described, a short (291 amino acid), an intermediate (393 amino acid), and a long (591 amino acid) (2). PRL receptors are found in mammary tissue, pituitary gland, brain, heart, lung thymus, spleen, liver, pancreas, kidney, adrenal gland, uterus, skeletal muscle, and skin (3). A soluble form of PRL-R containing the 206 NH2-terminal amino acids of the extracellular domain is secreted by mammary epithelial cells and is found in milk. Binding of the transmembrane PRL R results in ligand dimerization followed by binding and phosphorylation of Jak2. Jak2 then phosphorylates STAT and the long form of PRL R. C‑src, fyn, and the Ras/Raf/MAP kinase pathway have also been found to be activated upon PRL R ligand binding (2).

References

  1. Kelly, P.A. et al. (2001) Biochem. Society Transaction 29:48.
  2. Freeman, M.E. et al. (2000) Physiol. Rev. 80:1532.
  3. Nagano, M. and P.A. Kelly (1994) J. Biol. Chem. 269:13337.

Long Name

Prolactin Receptor

Alternate Names

PRLR, ProlactinR

Entrez Gene IDs

5618 (Human); 19116 (Mouse); 24684 (Rat)

Gene Symbol

PRLR

UniProt

Additional Prolactin R Products

Product Documents for Human Prolactin R Antibody

Certificate of Analysis

To download a Certificate of Analysis, please enter a lot number in the search box below.

Note: Certificate of Analysis not available for kit components.

Product Specific Notices for Human Prolactin R Antibody

For research use only

Loading...
Loading...
Loading...
Loading...
Loading...