Skip to main content

Key Product Details

Validated by

Knockout/Knockdown

Species Reactivity

Validated:

Human

Cited:

Human, Mouse

Applications

Validated:

Knockout Validated, Immunohistochemistry, Western Blot

Cited:

Immunohistochemistry, Western Blot, Immunocytochemistry

Label

Unconjugated

Antibody Source

Polyclonal Sheep IgG

Product Specifications

Immunogen

Chinese hamster ovary cell line CHO-derived recombinant human Plexin B2
Leu20-Arg1160
Accession # O15031

Specificity

Detects human Plexin B2 in direct ELISAs and Western blots. In direct ELISAs, approximately 25% cross-reactivity with recombinant mouse Plexin B2 is observed.

Clonality

Polyclonal

Host

Sheep

Isotype

IgG

Scientific Data Images for Human Plexin B2 Antibody

Detection of Human Plexin B2 antibody by Western Blot.

Detection of Human Plexin B2 by Western Blot.

Western blot shows lysates of human brain tissue. PVDF membrane was probed with 1 µg/mL of Sheep Anti-Human Plexin B2 Antigen Affinity-purified Polyclonal Antibody (Catalog # AF5329) followed by HRP-conjugated Anti-Sheep IgG Secondary Antibody (Catalog # HAF016). A specific band was detected for Plexin B2 at approximately 170 kDa (as indicated). This experiment was conducted under reducing conditions and using Immunoblot Buffer Group 8.
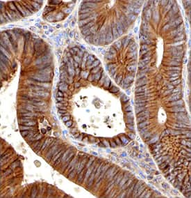
Plexin B2 antibody in Human Colon Cancer Tissue by Immunohistochemistry (IHC-P).

Plexin B2 in Human Colon Cancer Tissue.

Plexin B2 was detected in immersion fixed paraffin-embedded sections of human colon cancer using 3 µg/mL Sheep Anti-Human Plexin B2 Antigen Affinity-purified Polyclonal Antibody (Catalog # AF5329) overnight at 4 °C. Before incubation with the primary antibody tissue was subjected to heat-induced epitope retrieval using Antigen Retrieval Reagent-Basic (Catalog # CTS013). Tissue was stained with the Anti-Sheep HRP-DAB Cell & Tissue Staining Kit (brown; Catalog # CTS019) and counterstained with hematoxylin (blue). Specific labeling was localized to the plasma membrane and cytoplasm of epithelial cells. View our protocol for Chromogenic IHC Staining of Paraffin-embedded Tissue Sections.
Plexin B2 antibody in Mouse Brain by Immunohistochemistry (IHC-Fr).

Plexin B2 in Mouse Brain.

Plexin B2 was detected in perfusion fixed frozen sections of mouse brain (choroid plexus) using 10 µg/mL Sheep Anti-Human Plexin B2 Antigen Affinity-purified Polyclonal Antibody (Catalog # AF5329) overnight at 4 °C. Tissue was stained with the NorthernLights™ 557-conjugated Anti-Sheep IgG Secondary Antibody (red; Catalog # NL010) and counterstained with DAPI (blue). View our protocol for Fluorescent IHC Staining of Frozen Tissue Sections.

Applications for Human Plexin B2 Antibody

Application
Recommended Usage

Immunohistochemistry

5-15 µg/mL
Sample: Immersion fixed paraffin-embedded sections of human colon cancer subjected to Antigen Retrieval Reagent-Basic (Catalog # CTS013) and immersion fixed frozen sections of mouse brain (choroid plexus)

Knockout Validated

Plexin B2 is specifically detected in HeLa human cervical epithelial carcinoma parental cell line but is not detectable in Plexin B2 knockout HeLa cell line.

Western Blot

1 µg/mL
Sample: Human brain tissue

Formulation, Preparation, and Storage

Purification

Antigen Affinity-purified

Reconstitution

Reconstitute at 0.2 mg/mL in sterile PBS. For liquid material, refer to CoA for concentration.

Reconstitution Buffer Available:
Size / Price
Qty
Loading...

Formulation

Lyophilized from a 0.2 μm filtered solution in PBS with Trehalose. *Small pack size (SP) is supplied either lyophilized or as a 0.2 µm filtered solution in PBS.

Shipping

Lyophilized product is shipped at ambient temperature. Liquid small pack size (-SP) is shipped with polar packs. Upon receipt, store immediately at the temperature recommended below.

Stability & Storage

Use a manual defrost freezer and avoid repeated freeze-thaw cycles.
  • 12 months from date of receipt, -20 to -70 °C as supplied.
  • 1 month, 2 to 8 °C under sterile conditions after reconstitution.
  • 6 months, -20 to -70 °C under sterile conditions after reconstitution.

Background: Plexin B2

Plexin B2 is a 240 kDa member of the B subfamily, Plexin family of semaphorin receptors. It is expressed by cerebellar granule cells, neuroepithelium and chondrocytes and serves as a receptor for Sema4C. Mature human Plexin B2 is 1819 amino acid (aa) in length. It is a type I transmembrane (TM) glycoprotein that contains an 1178 aa extracellular domain (ECD) plus a 620 aa cytoplasmic region. The ECD contains one semaphorin domain (aa 20‑466) and three IPT repeats (aa 803‑1092). The ECD may be cleaved into two subunits, a 170 kDa alpha‑chain (aa 20‑1164) and an 80 kDa TM beta-chain that remain noncovalently-linked. Multiple splice variants may exist. One shows an alternate start site at Met1369, while a second shows a deletion of aa 67‑638. Over aa 20‑1160, human Plexin B2 is 82% aa identical to mouse Plexin B2.

Alternate Names

MM1, PLEXB2, PLXNB2

Entrez Gene IDs

23654 (Human); 140570 (Mouse); 315217 (Rat)

Gene Symbol

PLXNB2

UniProt

Additional Plexin B2 Products

Product Documents for Human Plexin B2 Antibody

Certificate of Analysis

To download a Certificate of Analysis, please enter a lot number in the search box below.

Note: Certificate of Analysis not available for kit components.

Product Specific Notices for Human Plexin B2 Antibody

For research use only

Loading...
Loading...
Loading...
Loading...