Skip to main content

Key Product Details

Species Reactivity

Human

Applications

Multiplex Immunofluorescence, Immunohistochemistry, Western Blot, COMET

Label

Unconjugated

Antibody Source

Monoclonal Mouse IgG2A Clone # 1001103

Product Specifications

Immunogen

Synthetic peptide containing human Perforin
Pro22-Trp555
Accession # P14222

Specificity

Detects human Perforin in direct ELISAs.

Clonality

Monoclonal

Host

Mouse

Isotype

IgG2A

Scientific Data Images for Human Perforin Antibody

Perforin-1 Antibody in Human Spleen via seqIF™ staining on COMET™​

Perforin-1 was detected in immersion fixed paraffin-embedded sections of human Spleen using Mouse Anti-Human Perforin-1, Monoclonal Antibody (Catalog #MAB8011) at a 1ug/mL concentration at 37 ° Celsius for 4 minutes. Before incubation with the primary antibody, tissue underwent an all-in-one dewaxing and antigen retrieval preprocessing using PreTreatment Module (PT Module) and Dewax and HIER Buffer H (pH 9; Epredia Catalog # TA-999-DHBH). Tissue was stained using the Alexa Fluor™ 647 Goat anti-Mouse IgG Secondary Antibody at 1:200 at 37 ° Celsius for 2 minutes. (Yellow; Lunaphore Catalog # DR647MS) and counterstained with DAPI (blue; Lunaphore Catalog # DR100). Specific staining was localized to the membrane and cytoplasm. Protocol available in COMET™ Panel Builder.
Detection of Human Perforin antibody by Western Blot.

Detection of Human Perforin by Western Blot.

Western blot shows lysates of human NK cells and HDLM-2 human Hodgkin's lymphoma cell line. PVDF membrane was probed with 2 µg/mL of Mouse Anti-Human Perforin Monoclonal Antibody (Catalog # MAB8011) followed by HRP-conjugated Anti-Mouse IgG Secondary Antibody (Catalog # HAF018). A specific band was detected for Perforin at approximately 70 kDa (as indicated). This experiment was conducted under reducing conditions and using Immunoblot Buffer Group 1.
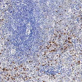
Perforin antibody in Human Spleen by Immunohistochemistry (IHC-P).

Perforin in Human Spleen.

Perforin was detected in immersion fixed paraffin-embedded sections of human spleen using Mouse Anti-Human Perforin Monoclonal Antibody (Catalog # MAB8011) at 5 µg/mL for 1 hour at room temperature followed by incubation with the Anti-Mouse IgG VisUCyte™ HRP Polymer Antibody (Catalog # VC001). Before incubation with the primary antibody, tissue was subjected to heat-induced epitope retrieval using Antigen Retrieval Reagent-Basic (Catalog # CTS013). Tissue was stained using DAB (brown) and counterstained with hematoxylin (blue). Specific staining was localized to cell surfaces and cytoplasm in splenocytes. View our protocol for IHC Staining with VisUCyte HRP Polymer Detection Reagents.

Applications for Human Perforin Antibody

Application
Recommended Usage

COMET

Immunohistochemistry

5-25 µg/mL
Sample: Immersion fixed paraffin-embedded sections of human spleen

Multiplex Immunofluorescence

1 µg/mL
Sample: Immersion fixed paraffin-embedded sections of human Spleen

Western Blot

2 µg/mL
Sample: Human NK cells and HDLM‑2 human Hodgkin's lymphoma cell line

Formulation, Preparation, and Storage

Purification

Protein A or G purified from hybridoma culture supernatant

Reconstitution

Reconstitute at 0.5 mg/mL in sterile PBS. For liquid material, refer to CoA for concentration.

Reconstitution Buffer Available:
Size / Price
Qty
Loading...

Formulation

Lyophilized from a 0.2 μm filtered solution in PBS with Trehalose. See Certificate of Analysis for details.
*Small pack size (-SP) is supplied either lyophilized or as a 0.2 µm filtered solution in PBS.

Shipping

Lyophilized product is shipped at ambient temperature. Liquid small pack size (-SP) is shipped with polar packs. Upon receipt, store immediately at the temperature recommended below.

Stability & Storage

Use a manual defrost freezer and avoid repeated freeze-thaw cycles.
  • 12 months from date of receipt, -20 to -70 °C as supplied.
  • 1 month, 2 to 8 °C under sterile conditions after reconstitution.
  • 6 months, -20 to -70 °C under sterile conditions after reconstitution.

Background: Perforin

Perforin is a pore forming, cytolytic protein that is a component of cytolytic T-cell and NK cell granules.  Perforin activates clathrin- and dynamin-dependent endocytosis, which removes perforin and granzymes from the plasm membrane to early endosomes, preserving outer membrane integrity.  Perforin facilitates granzyme uptake and avoids the proinflammatory necrotic death of a membrane-damaged cell.  Defects in the Perforin gene results in Familial hemophagocytic lymphohistiocytosis (FHL).  Perforin-based effector systems are involved not only in the lysis of abnormal cells but also in the down-regulation of cellular immune activation.

Long Name

Perforin 1 (Pore Forming Protein)

Alternate Names

Cytolysin, FLH2, HPLH2, P1, PFP, PRF1

Entrez Gene IDs

5551 (Human); 18646 (Mouse); 50669 (Rat)

Gene Symbol

PRF1

UniProt

Additional Perforin Products

Product Documents for Human Perforin Antibody

Certificate of Analysis

To download a Certificate of Analysis, please enter a lot number in the search box below.

Note: Certificate of Analysis not available for kit components.

Product Specific Notices for Human Perforin Antibody

For research use only

Loading...
Loading...
Loading...
Loading...