Skip to main content

Key Product Details

Species Reactivity

Validated:

Human

Cited:

Human

Applications

Validated:

Immunohistochemistry, Immunocytochemistry

Cited:

IF/IHC

Label

Unconjugated

Antibody Source

Monoclonal Mouse IgG2A Clone # 996715

Product Specifications

Immunogen

E. coli-derived recombinant human NOX4
Lys450-Ser578
Accession # Q9NPH5

Specificity

Detects human NOX4 in direct ELISAs.

Clonality

Monoclonal

Host

Mouse

Isotype

IgG2A

Scientific Data Images for Human Nox4 Antibody

Nox4 antibody in HUVECs by Immunocytochemistry (ICC).

Nox4 in HUVECs.

Nox4 was detected in immersion fixed human umbilical vein endothelial cells (HUVECs; left panel) using Mouse Anti-Human Nox4 Monoclonal Antibody (Catalog # MAB8158) at 8 µg/mL for 3 hours at room temperature. Cells were stained using the NorthernLights™ 557-conjugated Anti-Mouse IgG Secondary Antibody (red; Catalog # NL007) and counterstained with DAPI (blue). Specific staining was localized to cytoplasm and nuclei. MCF-7 human breast cancer cell line is shown as negative staining (right panel). View our protocol for Fluorescent ICC Staining of Cells on Coverslips.
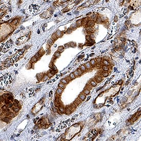
Nox4 antibody in Human Kidney by Immunohistochemistry (IHC-P).

Nox4 in Human Kidney.

Nox4 was detected in immersion fixed paraffin-embedded sections of human kidney using Mouse Anti-Human Nox4 Monoclonal Antibody (Catalog # MAB8158) at 1.7 µg/mL for 1 hour at room temperature followed by incubation with the Anti-Mouse IgG VisUCyte™ HRP Polymer Antibody (Catalog # VC001). Before incubation with the primary antibody, tissue was subjected to heat-induced epitope retrieval using Antigen Retrieval Reagent-Basic (Catalog # CTS013). Tissue was stained using DAB (brown) and counterstained with hematoxylin (blue). Specific staining was localized to cytoplasm and nuclei. View our protocol for IHC Staining with VisUCyte HRP Polymer Detection Reagents.

Applications for Human Nox4 Antibody

Application
Recommended Usage

Immunocytochemistry

5-25 µg/mL
Sample: Immersion fixed human umbilical vein endothelial cells (HUVECs)

Immunohistochemistry

1-25 µg/mL
Sample: Immersion fixed paraffin-embedded sections of human kidney

Reviewed Applications

Read 1 review rated 5 using MAB8158 in the following applications:

Formulation, Preparation, and Storage

Purification

Protein A or G purified from hybridoma culture supernatant

Reconstitution

Reconstitute at 0.5 mg/mL in sterile PBS. For liquid material, refer to CoA for concentration.

Reconstitution Buffer Available:
Size / Price
Qty
Loading...

Formulation

Lyophilized from a 0.2 μm filtered solution in PBS with Trehalose. *Small pack size (SP) is supplied either lyophilized or as a 0.2 µm filtered solution in PBS.

Shipping

Lyophilized product is shipped at ambient temperature. Liquid small pack size (-SP) is shipped with polar packs. Upon receipt, store immediately at the temperature recommended below.

Stability & Storage

Use a manual defrost freezer and avoid repeated freeze-thaw cycles.
  • 12 months from date of receipt, -20 to -70 °C as supplied.
  • 1 month, 2 to 8 °C under sterile conditions after reconstitution.
  • 6 months, -20 to -70 °C under sterile conditions after reconstitution.

Background: Nox4

NADPH Oxidase 4/NOX4, also known as Renal NADPH Oxidase/RENOX and Kidney Oxidase 1/KOX1, is a 66 to 75 kDa member of the NOX family of NADPH oxidases.  NOX family members are a major source of reactive oxygen species (ROS), including hydrogen peroxide and superoxide, and are critical mediators of redox signaling.  NOX4 is strongly expressed in the kidney, especially in the proximal convoluted tubule cells of the renal cortex, and may function as an oxygen sensor that regulates the synthesis of erythropoietin.  Expression is also high in endothelial cells, and because aortas from deficient mice exhibit increased inflammation, hypertrophy and endothelial dysfunction, NOX4 may function to protect the vasculature during ischemic or inflammatory stress.  Human NOX4 is 578 amino acids (aa) in length, with several additional smaller isoforms identified.  Over aa 450-578, human NOX4 has 92% sequence identity with mouse NOX4, and 91% identity with rat NOX4.

Long Name

NADPH Oxidase 4

Alternate Names

KOX-1, RENOX

Entrez Gene IDs

50507 (Human); 50490 (Mouse); 85431 (Rat)

Gene Symbol

NOX4

UniProt

Additional Nox4 Products

Product Documents for Human Nox4 Antibody

Certificate of Analysis

To download a Certificate of Analysis, please enter a lot number in the search box below.

Note: Certificate of Analysis not available for kit components.

Product Specific Notices for Human Nox4 Antibody

For research use only

Loading...
Loading...
Loading...
Loading...