Skip to main content

Key Product Details

Species Reactivity

Validated:

Human

Cited:

Human, Mouse, Porcine

Applications

Validated:

Immunohistochemistry, Western Blot

Cited:

Immunohistochemistry, Immunohistochemistry-Paraffin, Western Blot, Flow Cytometry, Immunocytochemistry

Label

Unconjugated

Antibody Source

Polyclonal Sheep IgG

Product Specifications

Immunogen

E. coli-derived recombinant human Neurogenin-3
Met1-Leu214
Accession # Q9Y4Z2

Specificity

Detects human Neurogenin-3 in direct ELISAs and Western blots. In direct ELISAs, approximately 10% cross-reactivity with recombinant mouse Neurogenin-3 is observed, and less than 1% cross-reactivity with recombinant human Neurogenin-1 is observed.

Clonality

Polyclonal

Host

Sheep

Isotype

IgG

Scientific Data Images for Human Neurogenin-3 Antibody

Detection of Human Neurogenin-3 antibody by Western Blot.

Detection of Human Neurogenin-3 by Western Blot.

Western blot shows lysates of human placenta and prostate tissue. PVDF membrane was probed with 1 µg/mL of Sheep Anti-Human Neurogenin-3 Antigen Affinity-purified Polyclonal Antibody (Catalog # AF3444) followed by HRP-conjugated Anti-Sheep IgG Secondary Antibody (Catalog # HAF016). A specific band was detected for Neurogenin-3 at approximately 25 kDa (as indicated). This experiment was conducted under reducing conditions and using Immunoblot Buffer Group 8.

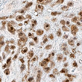
Neurogenin-3 in Human Placenta.

Neurogenin-3 was detected in immersion fixed paraffin-embedded sections of human placenta using Sheep Anti-Human Neurogenin-3 Antigen Affinity-purified Polyclonal Antibody (Catalog # AF3444) at 1 µg/mL for 1 hour at room temperature followed by incubation with the Anti-Sheep IgG VisUCyte™ HRP Polymer Antibody (VC006). Before incubation with the primary antibody, tissue was subjected to heat-induced epitope retrieval using Antigen Retrieval Reagent-Basic (CTS013). Tissue was stained using DAB (brown) and counterstained with hematoxylin (blue). Specific staining was localized to cytoplasm and cell nuclei in decidual cells. Staining was performed using our protocol for IHC Staining with VisUCyte HRP Polymer Detection Reagents.

Applications for Human Neurogenin-3 Antibody

Application
Recommended Usage

Immunohistochemistry

1-15 µg/mL
Sample: Immersion fixed paraffin-embedded sections of human placenta

Western Blot

1 µg/mL
Sample: Human placenta and prostate tissue

Formulation, Preparation, and Storage

Purification

Antigen Affinity-purified

Reconstitution

Reconstitute at 0.2 mg/mL in sterile PBS. For liquid material, refer to CoA for concentration.

Reconstitution Buffer Available:
Size / Price
Qty
Loading...

Formulation

Lyophilized from a 0.2 μm filtered solution in PBS with Trehalose. *Small pack size (SP) is supplied either lyophilized or as a 0.2 µm filtered solution in PBS.

Shipping

Lyophilized product is shipped at ambient temperature. Liquid small pack size (-SP) is shipped with polar packs. Upon receipt, store immediately at the temperature recommended below.

Stability & Storage

Use a manual defrost freezer and avoid repeated freeze-thaw cycles.
  • 12 months from date of receipt, -20 to -70 °C as supplied.
  • 1 month, 2 to 8 °C under sterile conditions after reconstitution.
  • 6 months, -20 to -70 °C under sterile conditions after reconstitution.

Background: Neurogenin-3

Neurogenin-3 (NGN3; also Protein atonal homolog 5) is a 23 kDa, developmentally expressed nuclear protein that belongs to a family of atonal-related basic helix‑loop‑helix (bHLH) transcription factors. bHLH proteins typically form dimers when binding to DNA. NGN3 expression is required for the lineage differentiation of all endocrine cell types in the pancreas, including the formation of islet beta cells. NGN3 is also neurogenic, controlling the number of dendrites generated by hippocampal neurons. Human NGN3 is 214 amino acids (aa) in length. It contains a DNA binding region (aa 84‑95) plus an HLH motif (aa 96‑136). Over aa 3‑214, human NGN3 shares 76% and 84% aa identity with mouse and canine NGN3, respectively.

Alternate Names

Atoh5, Math4B, NEUROG3, Neurogenin3, Relax

Entrez Gene IDs

50674 (Human); 11925 (Mouse); 60329 (Rat)

Gene Symbol

NEUROG3

UniProt

Additional Neurogenin-3 Products

Product Documents for Human Neurogenin-3 Antibody

Certificate of Analysis

To download a Certificate of Analysis, please enter a lot number in the search box below.

Note: Certificate of Analysis not available for kit components.

Product Specific Notices for Human Neurogenin-3 Antibody

For research use only

Loading...
Loading...
Loading...
Loading...