Skip to main content

Key Product Details

Validated by

Knockout/Knockdown

Species Reactivity

Human

Applications

Knockout Validated, Immunohistochemistry, Western Blot

Label

Unconjugated

Antibody Source

Polyclonal Sheep IgG

Product Specifications

Immunogen

E. coli-derived recombinant human NAC1
Val471-Gln527
Accession # Q96RE7

Specificity

Detects human NAC1 in direct ELISAs and Western Blots.  In direct ELISAs, appoximately 100% cross-reactivity with recombinant mouse NAC1 is observed.

Clonality

Polyclonal

Host

Sheep

Isotype

IgG

Scientific Data Images for Human NAC1 Antibody

Detection of Human NAC1 antibody by Western Blot.

Detection of Human NAC1 by Western Blot.

Western blot shows lysates of BG01V human embryonic stem cells. PVDF membrane was probed with 1 µg/mL of Sheep Anti-Human NAC1 Antigen Affinity-purified Polyclonal Antibody (Catalog # AF8375) followed by HRP-conjugated Anti-Sheep IgG Secondary Antibody (Catalog # HAF016). A specific band was detected for NAC1 at approximately 72 kDa (as indicated). This experiment was conducted under reducing conditions and using Immunoblot Buffer Group 1.
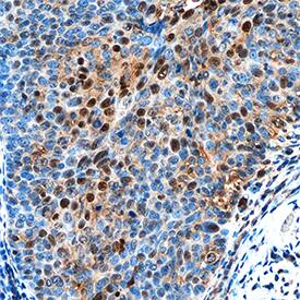
NAC1 antibody in Human Cervical Cancer Tissue by Immunohistochemistry (IHC-P).

NAC1 in Human Cervical Cancer Tissue.

NAC1 was detected in immersion fixed paraffin-embedded sections of human cervical cancer tissue using Sheep Anti-Human NAC1 Antigen Affinity-purified Polyclonal Antibody (Catalog # AF8375) at 1 µg/mL overnight at 4 °C. Tissue was stained using the Anti-Sheep HRP-DAB Cell & Tissue Staining Kit (brown; Catalog # CTS019) and counterstained with hematoxylin (blue). Specific staining was localized to nuclei in cancer cells. View our protocol for Chromogenic IHC Staining of Paraffin-embedded Tissue Sections.
Western Blot Shows Human NAC1 Antibody Specificity by Using Knockout Cell Line.

Western Blot Shows Human NAC1 Specificity by Using Knockout Cell Line.

Western blot shows lysates of HeLa human cervical epithelial carcinoma parental cell line and NAC1 knockout HeLa cell line (KO). PVDF membrane was probed with 1 µg/mL of Sheep Anti-Human NAC1 Antigen Affinity-purified Polyclonal Antibody (Catalog # AF8375) followed by HRP-conjugated Anti-Sheep IgG Secondary Antibody (Catalog # HAF016). A specific band was detected for NAC1 at approximately 68 kDa (as indicated) in the parental HeLa cell line, but is not detectable in knockout HeLa cell line. GAPDH (Catalog # AF5718) is shown as a loading control. This experiment was conducted under reducing conditions and using Immunoblot Buffer Group 1.

Applications for Human NAC1 Antibody

Application
Recommended Usage

Immunohistochemistry

5-15 µg/mL
Sample: Immersion fixed paraffin-embedded sections of human cervical cancer tissue

Knockout Validated

NAC1 is specifically detected in HeLa human cervical epithelial carcinoma parental cell line but is not detectable in NAC1 knockout HeLa cell line.

Western Blot

1 µg/mL
Sample: BG01V human embryonic stem cells

Formulation, Preparation, and Storage

Purification

Antigen Affinity-purified

Reconstitution

Reconstitute at 0.2 mg/mL in sterile PBS. For liquid material, refer to CoA for concentration.

Reconstitution Buffer Available:
Size / Price
Qty
Loading...

Formulation

Lyophilized from a 0.2 μm filtered solution in PBS with Trehalose. *Small pack size (SP) is supplied either lyophilized or as a 0.2 µm filtered solution in PBS.

Shipping

Lyophilized product is shipped at ambient temperature. Liquid small pack size (-SP) is shipped with polar packs. Upon receipt, store immediately at the temperature recommended below.

Stability & Storage

Use a manual defrost freezer and avoid repeated freeze-thaw cycles.
  • 12 months from date of receipt, -20 to -70 °C as supplied.
  • 1 month, 2 to 8 °C under sterile conditions after reconstitution.
  • 6 months, -20 to -70 °C under sterile conditions after reconstitution.

Background: NAC1

NAC1 (nucleus accumbens-associated protein 1; also NACC1) is a 527 aa BTB/POZ domain containing protein. Human NAC1 shares 86% and 85% aa identity with mouse and rat NAC1, respectively.  It has been shown to have a role in transcriptional regulation in both pluripotent stem cells and in the brain.  Additionally, NAC1 expression is upregulated in many cancers and this expression has been suggested to correlate with increased aggressiveness in some cancers.

Long Name

Nucleus Accumbens Associated 1

Alternate Names

BEND8, BTBD14B, BTBD30, NACC1

Entrez Gene IDs

112939 (Human); 66830 (Mouse); 171454 (Rat)

Gene Symbol

NACC1

UniProt

Additional NAC1 Products

Product Documents for Human NAC1 Antibody

Certificate of Analysis

To download a Certificate of Analysis, please enter a lot number in the search box below.

Note: Certificate of Analysis not available for kit components.

Product Specific Notices for Human NAC1 Antibody

For research use only

Loading...
Loading...
Loading...
Loading...