Skip to main content

Key Product Details

Species Reactivity

Human

Applications

Immunohistochemistry, Western Blot

Label

Unconjugated

Antibody Source

Polyclonal Sheep IgG

Product Specifications

Immunogen

E. coli-derived recombinant human MyBPC3
Arg1001-Lys1103
Accession # Q14896

Specificity

Detects human MyBPC3 in direct ELISAs and Western blots. In direct ELISAs, approximately 25% cross-reactivity with recombinant mouse MyBPC3 is observed.

Clonality

Polyclonal

Host

Sheep

Isotype

IgG

Scientific Data Images for Human MyBPC3 Antibody

Detection of Human MyBPC3 antibody by Western Blot.

Detection of Human MyBPC3 by Western Blot.

Western blot shows lysates of human heart tissue. PVDF membrane was probed with 1 µg/mL of Sheep Anti-Human MyBPC3 Antigen Affinity-purified Polyclonal Antibody (Catalog # AF7439) followed by HRP-conjugated Anti-Sheep IgG Secondary Antibody (Catalog # HAF016). A specific band was detected for MyBPC3 at approximately 150 kDa (as indicated). This experiment was conducted under reducing conditions and using Immunoblot Buffer Group 8.
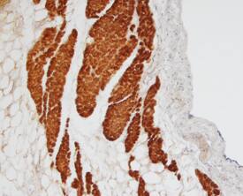
MyBPC3 antibody in Human Heart by Immunohistochemistry (IHC-P).

MyBPC3 in Human Heart.

MyBPC3 was detected in immersion fixed paraffin-embedded sections of human heart using Sheep Anti-Human MyBPC3 Antigen Affinity-purified Polyclonal Antibody (Catalog # AF7439) at 15 µg/mL overnight at 4 °C. Tissue was stained using the Anti-Sheep HRP-DAB Cell & Tissue Staining Kit (brown; Catalog # CTS019) and counterstained with hematoxylin (blue). Specific staining was localized to cytoplasm of muscle cells. View our protocol for Chromogenic IHC Staining of Paraffin-embedded Tissue Sections.

Applications for Human MyBPC3 Antibody

Application
Recommended Usage

Immunohistochemistry

5-15 µg/mL
Sample: Immersion fixed paraffin-embedded sections of human heart

Western Blot

1 µg/mL
Sample: Human heart tissue

Formulation, Preparation, and Storage

Purification

Antigen Affinity-purified

Reconstitution

Sterile PBS to a final concentration of 0.2 mg/mL. For liquid material, refer to CoA for concentration.

Reconstitution Buffer Available:
Size / Price
Qty
Loading...

Formulation

Lyophilized from a 0.2 μm filtered solution in PBS with Trehalose. *Small pack size (SP) is supplied either lyophilized or as a 0.2 µm filtered solution in PBS.

Shipping

Lyophilized product is shipped at ambient temperature. Liquid small pack size (-SP) is shipped with polar packs. Upon receipt, store immediately at the temperature recommended below.

Stability & Storage

Use a manual defrost freezer and avoid repeated freeze-thaw cycles.
  • 12 months from date of receipt, -20 to -70 °C as supplied.
  • 1 month, 2 to 8 °C under sterile conditions after reconstitution.
  • 6 months, -20 to -70 °C under sterile conditions after reconstitution.

Background: MyBPC3

MyBPC3 (MYosin Binding Protein C3; also cardiac MyBP-C, and C-protein, cardiac muscle isoform) is a 150-165 kDa member of the MyBP family, immunoglobulin superfamily of molecules. MyBP-C is expressed in striated muscle and exists in three isoforms; C1, C2, and C3. C1 and C2 are associated with slow and fast skeletal muscle, and may coexist in the same myofiber. The C3 isoform is cardiac specific, and is found in the two dark C-zones that flank the M line of the sarcomere A-band. The A-band contains both actin and myosin, and MyBPC3 forms structures that cross-link the resident actin and myosin filaments. MyBPC3 is reported to interact with titin and light meromyosin with its C-terminus, and actin plus myosin heavy chain with its N-terminus. Human MyBPC3 is 1273 amino acids (aa) in length. It contains one N-terminal I-set Ig-like domain (aa 12-94), a C2-type Ig-like domain (aa 153-256) followed by a phosphorylated myosin-binding region (aa 258-352), four C2-type Ig-like domains (aa 362-770) and three FN type III repeats interspersed with two C2-type Ig-like domains (aa 771-1273). There is one potential alternative start site at Met348. Over aa 1001-1103, human MyBPC3 shares 89% aa identity with mouse MyBPC3.

Long Name

Myosin Binding Protein C, Cardiac

Alternate Names

C-protein, cardiac muscle isoform, CMH4, FHC, MYBP-C

Entrez Gene IDs

4607 (Human); 17868 (Mouse)

Gene Symbol

MYBPC3

UniProt

Additional MyBPC3 Products

Product Documents for Human MyBPC3 Antibody

Certificate of Analysis

To download a Certificate of Analysis, please enter a lot number in the search box below.

Note: Certificate of Analysis not available for kit components.

Product Specific Notices for Human MyBPC3 Antibody

For research use only

Loading...
Loading...
Loading...
Loading...