Skip to main content

Human/Mouse TNF-alpha Antibody Best Seller

R&D Systems, part of Bio-Techne | Catalog # AF-410-NA

R&D Systems, part of Bio-Techne

Key Product Details

Validated by

Biological Validation

Species Reactivity

Validated:

Human, Mouse

Cited:

Human, Mouse, Rat, Porcine, Transgenic Mouse

Applications

Validated:

Immunohistochemistry, Western Blot, ELISA Capture (Matched Antibody Pair), Neutralization, Intracellular Staining by Flow Cytometry, Immunocytochemistry, CyTOF-ready

Cited:

Immunohistochemistry, Immunohistochemistry-Paraffin, Immunohistochemistry-Frozen, Western Blot, Neutralization, Flow Cytometry, Immunocytochemistry, Immunoprecipitation, Assay Development, Bioassay, Cell Culture, ELISA Capture, ELISA Development, ELISA Development (Capture), In vivo assay, Functional Assay, Luminex Development

Label

Unconjugated

Antibody Source

Polyclonal Goat IgG

Product Specifications

Immunogen

E. coli-derived recombinant mouse TNF-alpha
Leu80-Leu235
Accession # P06804

Specificity

Detects mouse TNF-alpha  in ELISAs. Detects human and mouse TNF-alpha in Western blots. In sandwich immunoassays, approximately 50% cross-reactivity with recombinant rat TNF‑ alpha is observed.

Clonality

Polyclonal

Host

Goat

Isotype

IgG

Endotoxin Level

<0.10 EU per 1 μg of the antibody by the LAL method.

Scientific Data Images for Human/Mouse TNF-alpha Antibody

Detection of Human TNF‑ alpha by Western Blot.

Western blot shows lysates of CHO Chinese hamster ovary cell line either mock transfected or transfected with human TNF- alpha. PVDF membrane was probed with 1 µg/mL of Goat Anti-Human/Mouse TNF-a Antigen Affinity-purified Polyclonal Antibody (Catalog # AF-410-NA) followed by HRP-conjugated Anti-Goat IgG Secondary Antibody (HAF017). Specific bands were detected for TNF-a at approximately 17 and 26 kDa (as indicated). This experiment was conducted under reducing conditions and using Immunoblot Buffer Group 1.

Detection of Mouse TNF‑ alpha by Western Blot.

Western blot shows lysates of RAW 264.7 mouse monocyte/macrophage cell line untreated (-) or treated (+) with 10 µg/mL LPS for 4 hours. PVDF membrane was probed with 2 µg/mL of Goat Anti-Human/Mouse TNF-a Antigen Affinity-purified Polyclonal Antibody (Catalog # AF-410-NA) followed by HRP-conjugated Anti-Goat IgG Secondary Antibody (HAF017). Specific bands were detected for TNF-a at approximately 16 and 25 kDa (as indicated). This experiment was conducted under reducing conditions and using Immunoblot Buffer Group 1.
TNF-a antibody in RAW 264 by Immunocytochemistry (ICC).7 Mouse Cell Line by Immunocytochemistry (ICC).

TNF‑ alpha in RAW 264.7 Mouse Cell Line.

TNF-a was detected in immersion fixed RAW 264.7 mouse monocyte/ macrophage cell line treated with LPS using Human/Mouse TNF-a Antigen Affinity-purified Polyclonal Antibody (Catalog # AF-410-NA) at 10 µg/mL for 3 hours at room temperature. Cells were stained using the NorthernLights™ 557-conjugated Anti-Goat IgG Secondary Antibody (red; NL001) and counterstained with DAPI (blue). View our protocol for Fluorescent ICC Staining of Cells on Coverslips.

Applications for Human/Mouse TNF-alpha Antibody

Application
Recommended Usage

CyTOF-ready

Ready to be labeled using established conjugation methods. No BSA or other carrier proteins that could interfere with conjugation.

Immunocytochemistry

5-15 µg/mL
Sample: Immersion fixed RAW 264.7 mouse monocyte/macrophage cell line with or without LPS and monensin treatment, immersion fixed RAW 263 mouse macrophage cell line treated wtih LPS and monensin, and immersion fixed activated mouse T Cells

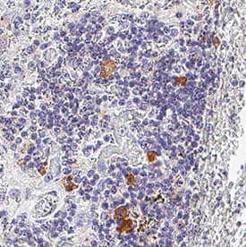
Immunohistochemistry

3-15 µg/mL
Sample: Immersion fixed paraffin-embedded sections of Mouse Spleen and Human Spleen.

Intracellular Staining by Flow Cytometry

0.25 µg/106 cells
Sample: RAW 264.7 mouse monocyte/macrophage cell line treated with LPS, fixed with paraformaldehyde, and permeabilized with saponin

Western Blot

1-2 µg/mL
Sample: CHO Chinese hamster ovary cell line transfected with human TNF- alpha and RAW 264.7 mouse monocyte/macrophage cell line treated with LPS

Neutralization

Measured by its ability to neutralize TNF‑ alpha-induced cytotoxicity in the L‑929 mouse fibroblast cell line. Matthews, N. and M.L. Neale (1987) in Lymphokines and Interferons, A Practical Approach. Clemens, M.J. et al. (eds): IRL Press. 221. The Neutralization Dose (ND50) is typically 1.5-10 ng/mL in the presence of 0.1 ng/mL Recombinant Mouse TNF‑ alpha and actinomycin D.

Mouse TNF-alpha Sandwich Immunoassay

ELISA Capture (Matched Antibody Pair)
Recommended Concentration: 0.2-0.8 µg/mL
Use in combination with these reagents:
  • Detection Reagent: Mouse TNF-alpha Biotinylated Antibody (Catalog # BAF410)
  • Standard: Recombinant Mouse TNF-alpha (aa 80-235) Protein (Catalog # 410-MT)
Please Note: Optimal dilutions of this antibody should be experimentally determined.

Reviewed Applications

Read 5 reviews rated 4.4 using AF-410-NA in the following applications:

Formulation, Preparation, and Storage

Purification

Antigen Affinity-purified

Reconstitution

Reconstitute at 0.2 mg/mL in sterile PBS. For liquid material, refer to CoA for concentration.

Reconstitution Buffer Available:
Size / Price
Qty
Loading...

Formulation

Lyophilized from a 0.2 μm filtered solution in PBS with Trehalose. See Certificate of Analysis for details.
*Small pack size (-SP) is supplied either lyophilized or as a 0.2 µm filtered solution in PBS.

Shipping

Lyophilized product is shipped at ambient temperature. Liquid small pack size (-SP) is shipped with polar packs. Upon receipt, store immediately at the temperature recommended below.

Stability & Storage

Use a manual defrost freezer and avoid repeated freeze-thaw cycles.
  • 12 months from date of receipt, -20 to -70 °C as supplied.
  • 1 month, 2 to 8 °C under sterile conditions after reconstitution.
  • 6 months, -20 to -70 °C under sterile conditions after reconstitution.

Background: TNF-alpha

Tumor necrosis factor alpha (TNF-alpha, TNF- alpha, TNFA ), also known as Cachectin and TNFSF2, is the prototypic ligand of the TNF superfamily. It is a pleiotropic molecule that plays a central role in inflammation, immune system development, apoptosis, and lipid metabolism. TNF-alpha is produced by several lymphoid cells as well as by astrocytes, endothelial cells, and smooth muscle cells. Mouse TNF-alpha consists of a 35 amino acid (aa) cytoplasmic domain, a 21 aa transmembrane segment, and a 179 aa extracellular domain (ECD). Within the ECD, mouse TNF-alpha shares 94% aa sequence identity with rat and 70%-77% with bovine, canine, cotton rat, equine, feline, human, porcine, and rhesus TNF-alpha. TNF-alpha is produced by a wide variety of immune, epithelial, endothelial, and tumor cells. TNF-alpha is assembled intracellularly to form a noncovalently linked homotrimer which is expressed on the cell surface. Cell surface TNF-alpha can induce the lysis of neighboring tumor cells and virus infected cells, and it can generate its own downstream cell signaling following ligation by soluble TNFR I. Shedding of membrane bound TNF-alpha by TACE/ADAM17 releases the bioactive cytokine, a 55 kDa molecular weight soluble trimer of the TNF-alpha extracellular domain. TNF-alpha binds the ubiquitous 55-60 kDa TNF RI and the hematopoietic cell-restricted 80 kDa TNF RII, both of which are also expressed as homotrimers present on virtually all cell types. Both type I and type II receptors bind TNF-alpha with comparable affinity, although only TNF RI contains a cytoplasmic death domain which triggers the activation of apoptosis. Soluble forms of both types of receptors are released and can neutralize the biological activity of TNF-alpha.

Long Name

Tumor Necrosis Factor alpha

Alternate Names

Cachetin, DIF, TNF, TNF-A, TNFA, TNFalpha, TNFG1F, TNFSF1A, TNFSF2

Entrez Gene IDs

7124 (Human); 21926 (Mouse); 24835 (Rat); 397086 (Porcine); 280943 (Bovine); 403922 (Canine); 102139631 (Cynomolgus Monkey); 100033834 (Equine); 493755 (Feline); 100009088 (Rabbit)

Gene Symbol

TNF

UniProt

Additional TNF-alpha Products

Product Documents for Human/Mouse TNF-alpha Antibody

Certificate of Analysis

To download a Certificate of Analysis, please enter a lot number in the search box below.

Note: Certificate of Analysis not available for kit components.

Product Specific Notices for Human/Mouse TNF-alpha Antibody

For research use only

Loading...
Loading...
Loading...
Loading...
Loading...