Skip to main content

Key Product Details

Species Reactivity

Human, Mouse

Applications

Immunocytochemistry, Immunohistochemistry

Label

Unconjugated

Antibody Source

Polyclonal Sheep IgG

Product Specifications

Immunogen

E. coli-derived recombinant human Smad9
Ala158-Ser223
Accession # O15198

Specificity

Detects human Smad9 in direct ELISAs. In direct ELISAs, approximately 5% cross-reactivity with recombinant human Smad1 is observed.

Clonality

Polyclonal

Host

Sheep

Isotype

IgG

Scientific Data Images for Human/Mouse Smad9 Antibody

Smad9 antibody in A172 Human Cell Line by Immunocytochemistry (ICC).

Smad9 in A172 Human Cell Line.

Smad9 was detected in immersion fixed A172 human glioblastoma cell line using Sheep Anti-Human/Mouse Smad9 Antigen Affinity-purified Polyclonal Antibody (Catalog # AF7215) at 10 µg/mL for 3 hours at room temperature. Cells were stained using the NorthernLights™ 557-conjugated Anti-Sheep IgG Secondary Antibody (red, upper panel; Catalog # NL010) and counterstained with DAPI (blue, lower panel). Specific staining was localized to cytoplasm. View our protocol for Fluorescent ICC Staining of Cells on Coverslips.
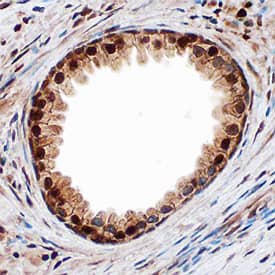
Smad9 antibody in Human Prostate Cancer Tissue by Immunohistochemistry (IHC-P).

Smad9 in Human Prostate Cancer Tissue.

Smad9 was detected in immersion fixed paraffin-embedded sections of human prostate cancer tissue using Sheep Anti-Human Smad9 Antigen Affinity-purified Polyclonal Antibody (Catalog # AF7215) at 3 µg/mL overnight at 4 °C. Before incubation with the primary antibody, tissue was subjected to heat-induced epitope retrieval using Antigen Retrieval Reagent-Basic (Catalog # CTS013). Tissue was stained using the Anti-Sheep HRP-DAB Cell & Tissue Staining Kit (brown; Catalog # CTS019) and counterstained with hematoxylin (blue). Specific staining was localized to nuclei in glandular epithelial cells. View our protocol for Chromogenic IHC Staining of Paraffin-embedded Tissue Sections.
Smad9 antibody in Mouse Embryo by Immunohistochemistry (IHC-Fr).

Smad9 in Mouse Embryo.

Smad9 was detected in immersion fixed frozen sections of mouse embryo (13 d.p.c.) using Sheep Anti-Human Smad9 Antigen Affinity-purified Polyclonal Antibody (Catalog # AF7215) at 1.7 µg/mL overnight at 4 °C. Tissue was stained using the Anti-Sheep HRP-DAB Cell & Tissue Staining Kit (brown; Catalog # CTS019) and counterstained with hematoxylin (blue). Specific staining was localized to developing muscle cells. View our protocol for Chromogenic IHC Staining of Frozen Tissue Sections.

Applications for Human/Mouse Smad9 Antibody

Application
Recommended Usage

Immunocytochemistry

5-15 µg/mL
Sample: Immersion fixed A172 human glioblastoma cell line

Immunohistochemistry

5-15 µg/mL
Sample: Immersion fixed paraffin-embedded sections of human prostate cancer tissue and immersion fixed frozen sections of mouse embryo (13 d.p.c.)

Reviewed Applications

Read 1 review rated 3 using AF7215 in the following applications:

Formulation, Preparation, and Storage

Purification

Antigen Affinity-purified

Reconstitution

Sterile PBS to a final concentration of 0.2 mg/mL. For liquid material, refer to CoA for concentration.

Reconstitution Buffer Available:
Size / Price
Qty
Loading...

Formulation

Lyophilized from a 0.2 μm filtered solution in PBS with Trehalose. *Small pack size (SP) is supplied either lyophilized or as a 0.2 µm filtered solution in PBS.

Shipping

Lyophilized product is shipped at ambient temperature. Liquid small pack size (-SP) is shipped with polar packs. Upon receipt, store immediately at the temperature recommended below.

Stability & Storage

Use a manual defrost freezer and avoid repeated freeze-thaw cycles.
  • 12 months from date of receipt, -20 to -70 °C as supplied.
  • 1 month, 2 to 8 °C under sterile conditions after reconstitution.
  • 6 months, -20 to -70 °C under sterile conditions after reconstitution.

Background: Smad9

SMAD9 (SMA protein and Mothers Against Decapentaplegic 9; also SMAD8 and MAHD6) is a 55-60 kDa R-Group member of the dwarfin/SMAD family of proteins. It is expressed by BMP-responsive cells, and serves to transmit information from the BMP receptor (BMPR) to the nucleus. In particular, following BMPR activation, SMAD9 is phosphorylated by the BMPR on its C-terminus, promoting heterodimerization with SMAD4 and its translocation into the nucleus. Here, SMAD9 binds to DNA and participates in gene activation. Human SMAD9 is 467 amino acids (aa) in length. It contains a DNA-binding domain termed MH1 (aa 16-140) plus a receptor/transcription factor binding domain termed MH2 (aa 273-467). The C-terminus contains two phosphorylation sites at Ser465 and Ser467. There is one splice form that shows a deletion of aa 224-260. Over aa 158-223, human and mouse SMAD9 share 82% identy in amino acid sequence.

Long Name

Mothers Against DPP Homolog 9

Alternate Names

Madh6, MADH9

Entrez Gene IDs

4093 (Human); 55994 (Mouse); 85435 (Rat)

Gene Symbol

SMAD9

UniProt

Additional Smad9 Products

Product Documents for Human/Mouse Smad9 Antibody

Certificate of Analysis

To download a Certificate of Analysis, please enter a lot number in the search box below.

Note: Certificate of Analysis not available for kit components.

Product Specific Notices for Human/Mouse Smad9 Antibody

For research use only

Loading...
Loading...
Loading...
Loading...