Skip to main content

Key Product Details

Species Reactivity

Validated:

Human, Mouse, Rat

Cited:

Human, Mouse

Applications

Validated:

Immunohistochemistry, Western Blot, Simple Western

Cited:

Immunohistochemistry, Western Blot

Label

Unconjugated

Antibody Source

Polyclonal Goat IgG

Product Specifications

Immunogen

E. coli-derived recombinant human Src
Met1-Ala79
Accession # P12931

Specificity

Detects endogenous human, mouse, and rat Src in Western blots.

Clonality

Polyclonal

Host

Goat

Isotype

IgG

Scientific Data Images for Human/Mouse/Rat Src Antibody

Detection of Human and Rat Src antibody by Western Blot.

Detection of Human and Rat Src by Western Blot.

Western blot shows lysates of HepG2 human hepatocellular carcinoma cell line, MBA-MB-468 human breast cancer cell line, and Rat-2 rat embryonic fibroblast cell line. PVDF membrane was probed with 0.5 µg/mL of Human/Mouse/Rat Src Antigen Affinity-purified Polyclonal Antibody (Catalog # AF3389) followed by HRP-conjugated Anti-Goat IgG Secondary Antibody (Catalog # HAF109). A specific band was detected for Src at approximately 60 kDa (as indicated). This experiment was conducted under reducing conditions and using Immunoblot Buffer Group 1.

Detection of Human Src by Western Blot.

Western blot shows lysates of A549 human lung carcinoma cell line, HepG2 human hepatocellular carcinoma cell line, U937 human histiocytic lymphoma cell line (negative control), and HL-60 human acute promyelocytic leukemia cell line (negative control). PVDF membrane was probed with 0.5 µg/mL of Goat Anti-Human/Mouse/Rat Src Antigen Affinity-purified Polyclonal Antibody (Catalog # AF3389) followed by HRP-conjugated Anti-Goat IgG Secondary Antibody (HAF017). A specific band was detected for Src at approximately 60 kDa (as indicated). GAPDH (Catalog # AF5718) is shown as a loading control. This experiment was conducted under reducing conditions and using Western Blot Buffer Group 1.

Detection of Human Src by Simple WesternTM.

Simple Western lane view shows lysates of Exosome Standards (HT-29) (NBP3-11685) and HepG2 human hepatocellular carcinoma cell line, loaded at 0.5 mg/ml. A specific band was detected for Src at approximately 60 kDa (as indicated) using 20 µg/ml of Goat Anti-Human/Mouse/Rat Src Antigen Affinity-purified Polyclonal Antibody (Catalog # AF3389) followed by HRP-conjugated Donkey Anti-Goat Secondary Antibody (Catalog # 042-206). This experiment was conducted under reducing conditions and using the 12-230kDa separation system.

Applications for Human/Mouse/Rat Src Antibody

Application
Recommended Usage

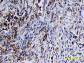
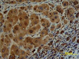
Immunohistochemistry

5-15 µg/mL
Sample: Immersion fixed paraffin-embedded sections of human colon, human liver cancer tissue, and human liver array

Simple Western

20-25 µg/mL
Sample: Exosome Standards (HT-29) (Catalog # NBP3-11685), HepG2 human hepatocellular carcinoma cell line and MDA‑MB‑468 human breast cancer cell line

Western Blot

0.5 µg/mL
Sample: HepG2 human hepatocellular carcinoma cell line, MBA-MB-468 human breast cancer cell line, and Rat-2 rat embryonic fibroblast cell line and A549 human lung carcinoma cell line

Formulation, Preparation, and Storage

Purification

Antigen Affinity-purified

Reconstitution

Reconstitute at 0.2 mg/mL in sterile PBS. For liquid material, refer to CoA for concentration.

Reconstitution Buffer Available:
Size / Price
Qty
Loading...

Formulation

Lyophilized from a 0.2 μm filtered solution in PBS with Trehalose. See Certificate of Analysis for details.
*Small pack size (-SP) is supplied either lyophilized or as a 0.2 µm filtered solution in PBS.

Shipping

Lyophilized product is shipped at ambient temperature. Liquid small pack size (-SP) is shipped with polar packs. Upon receipt, store immediately at the temperature recommended below.

Stability & Storage

Use a manual defrost freezer and avoid repeated freeze-thaw cycles.
  • 12 months from date of receipt, -20 to -70 °C as supplied.
  • 1 month, 2 to 8 °C under sterile conditions after reconstitution.
  • 6 months, -20 to -70 °C under sterile conditions after reconstitution.

Background: Src

The Src family of proteins are intracellular tyrosine kinases involved in cell proliferation, differentiation, motility, and survival. Src family activity is regulated by tyrosine phosphorylation at two sites with opposing effects. Autophosphorylation in the activation loop of the kinase domain (Y419 of human Src) up‑regulates the enzyme, while phosphorylation in the C-terminal tail (Y530 of human Src) down‑regulates activity.

Long Name

v-src Sarcoma [Schmidt-Ruppin A-2] Viral Oncogene Homolog

Alternate Names

ASV, c-Src, RSVgp4

Entrez Gene IDs

6714 (Human); 20779 (Mouse); 83805 (Rat); 1491925 (Viral)

Gene Symbol

SRC

UniProt

Additional Src Products

Product Documents for Human/Mouse/Rat Src Antibody

Certificate of Analysis

To download a Certificate of Analysis, please enter a lot number in the search box below.

Note: Certificate of Analysis not available for kit components.

Product Specific Notices for Human/Mouse/Rat Src Antibody

For research use only

Loading...
Loading...
Loading...
Loading...