Skip to main content

Key Product Details

Validated by

Knockout/Knockdown, Biological Validation

Species Reactivity

Validated:

Human, Mouse, Rat

Cited:

Human, Mouse, Insect - Drosophila

Applications

Validated:

Knockout Validated, Immunohistochemistry, Western Blot, Intracellular Staining by Flow Cytometry, Simple Western, CyTOF-ready

Cited:

Immunohistochemistry, Western Blot, Cell Based ELISA, ELISA Capture, ELISA Development

Label

Unconjugated

Antibody Source

Polyclonal Rabbit IgG

Product Specifications

Immunogen

Human PTEN synthetic peptide
Ser385-Val403
Accession # P60484

Specificity

Detects human, mouse, and rat PTEN in Western blots.

Clonality

Polyclonal

Host

Rabbit

Isotype

IgG

Scientific Data Images for Human/Mouse/Rat PTEN Antibody

Detection of Human/Mouse/Rat PTEN antibody by Western Blot.

Detection of Human/Mouse/Rat PTEN by Western Blot.

Western blot shows lysates of mouse and rat brain tissue, A431 human epithelial carcinoma cell line, and MRC-5 human embryonic lung fibroblast cell line. PVDF membrane was probed with 0.1 µg/mL Rabbit Anti-Human/Mouse/Rat PTEN Antigen Affinity-purified Polyclonal Antibody (Catalog # AF847) followed by HRP-conjugated Anti-Rabbit IgG Secondary Antibody (Catalog # HAF008). For additional reference, recombinant human PTEN (5 ng) was included. A specific band for PTEN was detected at approximately 54 kDa (as indicated). This experiment was conducted under reducing conditions and using Immunoblot Buffer Group 4.

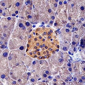
PTEN in Human Pancreas.

PTEN was detected in immersion fixed paraffin-embedded sections of human pancreas using Rabbit Anti-Human/Mouse/Rat PTEN Antigen Affinity-purified Polyclonal Antibody (Catalog # AF847) at 3 µg/mL for 1 hour at room temperature followed by incubation with the Anti-Rabbit IgG VisUCyte™ HRP Polymer Antibody (VC003). Before incubation with the primary antibody, tissue was subjected to heat-induced epitope retrieval using Antigen Retrieval Reagent-Basic (CTS013). Tissue was stained using DAB (brown) and counterstained with hematoxylin (blue). Specific staining was localized to cytoplasm in islet cells. Staining was performed using our protocol for IHC Staining with VisUCyte HRP Polymer Detection Reagents.

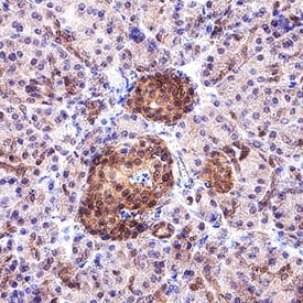
PTEN in Mouse Pancreas.

PTEN was detected in immersion fixed paraffin-embedded sections of mouse pancreas using Rabbit Anti-Human/Mouse/Rat PTEN Antigen Affinity-purified Polyclonal Antibody (Catalog # AF847) at 3 µg/mL for 1 hour at room temperature followed by incubation with the Anti-Rabbit IgG VisUCyte™ HRP Polymer Antibody (VC003). Before incubation with the primary antibody, tissue was subjected to heat-induced epitope retrieval using Antigen Retrieval Reagent-Basic (CTS013). Tissue was stained using DAB (brown) and counterstained with hematoxylin (blue). Specific staining was localized to cytoplasm in islet cells. Staining was performed using our protocol for IHC Staining with VisUCyte HRP Polymer Detection Reagents.

Applications for Human/Mouse/Rat PTEN Antibody

Application
Recommended Usage

CyTOF-ready

Ready to be labeled using established conjugation methods. No BSA or other carrier proteins that could interfere with conjugation.

Immunohistochemistry

3-15 µg/mL
Sample: Immersion fixed paraffin-embedded sections of human pancreas and immersion fixed paraffin-embedded sections of mouse pancreas

Intracellular Staining by Flow Cytometry

0.25 µg/106 cells
Sample: Human peripheral blood lymphocytes fixed with paraformaldehyde and permeabilized with saponin

Knockout Validated

PTEN is specifically detected in HeLa human cervical epithelial carcinoma parental cell line but is not detectable in PTEN knockout HeLa cell line.

Simple Western

1 µg/mL
Sample: A431 human epithelial carcinoma cell line and HeLa human cervical epithelial carcinoma cell line

Western Blot

0.1 µg/mL
Sample: Mouse and rat brain tissue, A431 human epithelial carcinoma cell line, and MRC-5 human embryonic lung fibroblast cell line

Reviewed Applications

Read 2 reviews rated 5 using AF847 in the following applications:

Formulation, Preparation, and Storage

Purification

Antigen Affinity-purified

Reconstitution

Reconstitute at 0.2 mg/mL in sterile PBS. For liquid material, refer to CoA for concentration.

Reconstitution Buffer Available:
Size / Price
Qty
Loading...

Formulation

Lyophilized from a 0.2 μm filtered solution in PBS with Trehalose. *Small pack size (SP) is supplied either lyophilized or as a 0.2 µm filtered solution in PBS.

Shipping

Lyophilized product is shipped at ambient temperature. Liquid small pack size (-SP) is shipped with polar packs. Upon receipt, store immediately at the temperature recommended below.

Stability & Storage

Use a manual defrost freezer and avoid repeated freeze-thaw cycles.
  • 12 months from date of receipt, -20 to -70 °C as supplied.
  • 1 month, 2 to 8 °C under sterile conditions after reconstitution.
  • 6 months, -20 to -70 °C under sterile conditions after reconstitution.

Background: PTEN

The tumor suppressor gene PTEN (phosphatase and tensin homolog deleted on chromosome 10), also known as MMAC1 (mutated in multiple advanced cancers 1), encodes a phosphatase that contains the catalytic signature motif (HCXXGXXRS/T) found in all members of the protein tyrosine phosphatase family. In vitro, the recombinant PTEN has both lipid phosphatase and protein phosphatase activities (1, 2). Interestingly, accumulating evidence has shown that the tumor suppressor activity of PTEN relies on its ability to dephosphorylate phosphatidylinositol (3, 4, 5)-triphosphate specifically at position 3 of the inositol ring (3). This activity reduces the levels of phosphatidylinositol (3, 4, 5)-triphosphate which is specifically produced from phosphatidylinositol (4, 5)-diphosphate by PI 3-kinase upon activation by a variety of stimuli. Therefore, PTEN antagonizes PI 3-kinase-induced downstream signaling events and cellular processes including cell growth, apoptosis and cell motility. In vivo, the importance of PTEN catalytic activity in its tumor suppressor functions is underscored by the fact that the majority of PTEN missense mutations detected in tumor specimens target the phosphatase domain and cause a loss in PTEN phosphatase activity (4).

References

  1. Maehama, T. and J. Dixon (1998) J. Biol. Chem. 273:13375.
  2. Das, S. et al. (2003) Proc. Natl. Acad. Sci. USA 100:7491.
  3. Myers, M. et al. (1998) Proc. Natl. Acad. Sci. USA 95:13513.
  4. Waite, K. and C. Eng (2002) Am. J. Hum. Genet. 70:829.

Long Name

Phosphatase and Tensin Homolog Deleted on Chromosome 10

Alternate Names

MMAC1

Entrez Gene IDs

5728 (Human); 19211 (Mouse); 50557 (Rat)

Gene Symbol

PTEN

UniProt

Additional PTEN Products

Product Documents for Human/Mouse/Rat PTEN Antibody

Certificate of Analysis

To download a Certificate of Analysis, please enter a lot number in the search box below.

Note: Certificate of Analysis not available for kit components.

Product Specific Notices for Human/Mouse/Rat PTEN Antibody

This product is covered by the following U.S. patent: USSN # 10/299,003.

For research use only

Loading...
Loading...
Loading...
Loading...
Loading...
Loading...