Skip to main content

Key Product Details

Species Reactivity

Validated:

Human, Mouse, Rat

Cited:

Mouse, Rat

Applications

Validated:

Immunohistochemistry, Western Blot, Simple Western

Cited:

Immunohistochemistry-Frozen, Western Blot

Label

Unconjugated

Antibody Source

Polyclonal Sheep IgG

Product Specifications

Immunogen

E. coli-derived recombinant human PKC epsilon
Gln580-Pro737
Accession # Q02156

Specificity

Detects human, mouse and rat PKC epsilon in Western blots.

Clonality

Polyclonal

Host

Sheep

Isotype

IgG

Scientific Data Images for Human/Mouse/Rat PKC epsilon Antibody

Detection of Human PKCe antibody by Western Blot.

Detection of Human PKC epsilon by Western Blot.

Western blot shows lysates of human brain (hippocampus) tissue and human brain (hypothalamus) tissue. PVDF membrane was probed with 1 µg/mL of Sheep Anti-Human/Mouse/Rat PKCe Antigen Affinity-purified Polyclonal Antibody (Catalog # AF5134) followed by HRP-conjugated Anti-Sheep IgG Secondary Antibody (Catalog # HAF016). A specific band was detected for PKCe at approximately 90 kDa (as indicated). This experiment was conducted under reducing conditions and using Immunoblot Buffer Group 1.
Detection of Human/Mouse/Rat PKCe antibody by Western Blot.

Detection of Human/Mouse/Rat PKC epsilon by Western Blot.

Western blot shows lysates of human, mouse, and rat brain tissue. PVDF membrane was probed with 1 µg/mL of Human/Mouse/Rat PKCe Antigen Affinity-purified Polyclonal Antibody (Catalog # AF5134) followed by HRP-conjugated Anti-Sheep IgG Secondary Antibody (Catalog # HAF016). A specific band was detected for PKCe at approximately 90 kDa (as indicated). This experiment was conducted under reducing conditions and using Immunoblot Buffer Group 1.
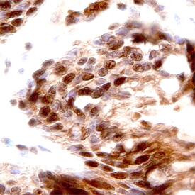
PKCe antibody in Human Lung Cancer Tissue by Immunohistochemistry (IHC-P).

PKC epsilon in Human Lung Cancer Tissue.

PKCe was detected in immersion fixed paraffin-embedded sections of human lung cancer tissue using Human/Mouse/Rat PKCe Antigen Affinity-purified Polyclonal Antibody (Catalog # AF5134) at 15 µg/mL overnight at 4 °C. Before incubation with the primary antibody, tissue was subjected to heat-induced epitope retrieval using Antigen Retrieval Reagent-Basic (Catalog # CTS013). Tissue was stained using the Anti-Sheep HRP-DAB Cell & Tissue Staining Kit (brown; Catalog # CTS019) and counterstained with hematoxylin (blue). Specific staining was localized to nuclei. View our protocol for Chromogenic IHC Staining of Paraffin-embedded Tissue Sections.

Applications for Human/Mouse/Rat PKC epsilon Antibody

Application
Recommended Usage

Immunohistochemistry

5-15 µg/mL
Sample: Immersion fixed paraffin-embedded sections of human lung cancer tissue

Simple Western

10 µg/mL
Sample: Human brain (hippocampus) tissue

Western Blot

1 µg/mL
Sample: Human brain (hippocampus) tissue and human brain (hypothalamus) tissue, mouse, human, and rat brain tissue

Formulation, Preparation, and Storage

Purification

Antigen Affinity-purified

Reconstitution

Reconstitute at 0.2 mg/mL in sterile PBS. For liquid material, refer to CoA for concentration.

Reconstitution Buffer Available:
Size / Price
Qty
Loading...

Formulation

Lyophilized from a 0.2 μm filtered solution in PBS with Trehalose. See Certificate of Analysis for details.
*Small pack size (-SP) is supplied either lyophilized or as a 0.2 µm filtered solution in PBS.

Shipping

Lyophilized product is shipped at ambient temperature. Liquid small pack size (-SP) is shipped with polar packs. Upon receipt, store immediately at the temperature recommended below.

Stability & Storage

Use a manual defrost freezer and avoid repeated freeze-thaw cycles.
  • 12 months from date of receipt, -20 to -70 °C as supplied.
  • 1 month, 2 to 8 °C under sterile conditions after reconstitution.
  • 6 months, -20 to -70 °C under sterile conditions after reconstitution.

Background: PKC epsilon

PKC epsilon (protein kinase C-epsilon) is an 87 kDa member of the novel PKC subfamily, AGC Ser/Thr protein kinase family of enzymes. It is a widely-expressed Ca++‑insensitive, phospholipid-dependent enzyme that catalyzes the phosphorylation of multiple proteins. Human PKC epsilon is 737 amino acids (aa) in length. It contains two general regions: a non-Ca++-binding plus lipid binding regulatory region (aa’s 1‑99 and 169‑292, respectively), and an ATP-binding catalytic domain (aa 408‑668). Phosphorylation of PKC epsilon on Thr566, Ser368 and Ser729 activates its enzymatic activity and increases its molecular weight to 92 kDa. One potential splice form shows a 114 aa substitution for aa 118‑737. Over aa 580‑737, human PKC epsilon is 98% and 99% aa identical to mouse and canine PKC epsilon, respectively.

Long Name

Protein Kinase C epsilon

Alternate Names

PKCE, PRKCE

Entrez Gene IDs

5581 (Human); 18754 (Mouse); 29340 (Rat)

Gene Symbol

PRKCE

UniProt

Additional PKC epsilon Products

Product Documents for Human/Mouse/Rat PKC epsilon Antibody

Certificate of Analysis

To download a Certificate of Analysis, please enter a lot number in the search box below.

Note: Certificate of Analysis not available for kit components.

Product Specific Notices for Human/Mouse/Rat PKC epsilon Antibody

For research use only

Loading...
Loading...
Loading...
Loading...