Skip to main content

Key Product Details

Validated by

Biological Validation

Species Reactivity

Validated:

Human, Mouse, Rat

Cited:

Human, Mouse, Rat, Transgenic Mouse

Applications

Validated:

Immunohistochemistry, Western Blot, ELISA, Flow Cytometry, Immunocytochemistry, CyTOF-ready

Cited:

Immunohistochemistry, Immunohistochemistry-Paraffin, Western Blot, Flow Cytometry, Immunocytochemistry, Immunocytochemistry/ Immunofluorescence, Bioassay, Co-Immunoprecipitation, Functional Assay

Label

Unconjugated

Antibody Source

Polyclonal Sheep IgG

Product Specifications

Immunogen

Mouse myeloma cell line NS0-derived recombinant human N‑Cadherin
Asp160-Ala724
Accession # P19022

Specificity

Detects human, mouse, and rat N‑Cadherin in Western blots. In direct ELISA, less than 10% cross-reactivity with recombinant human(rh) E-Cadherin, and rhR-Cadherin is observed.

Clonality

Polyclonal

Host

Sheep

Isotype

IgG

Scientific Data Images for Human/Mouse/Rat N-Cadherin Antibody

Detection of Human, Mouse, and Rat N-Cadherin antibody by Western Blot.

Detection of Human, Mouse, and Rat N‑Cadherin by Western Blot.

Western blot shows lysates of A549 human lung carcinoma cell line, HeLa human cervical epithelial carcinoma cell line, C2C12 mouse myoblast cell line, and rat brain tissue. PVDF Membrane was probed with 0.5 µg/mL of Sheep Anti-Human/Mouse/Rat N-Cadherin Antigen Affinity-purified Polyclonal Antibody (Catalog # AF6426) followed by HRP-conjugated Anti-Sheep IgG Secondary Antibody (Catalog # HAF016). A specific band was detected for N-Cadherin at approximately 130 kDa (as indicated). This experiment was conducted under reducing conditions and using Immunoblot Buffer Group 1.
N-Cadherin antibody in A549 Human Cell Line by Immunocytochemistry (ICC).

N‑Cadherin in A549 Human Cell Line.

N-Cadherin was detected in immersion fixed A549 human lung carcinoma cell line using Sheep Anti-Human/Mouse/Rat N-Cadherin Affinity-purified Polyclonal Antibody (Catalog # AF6426) at 10 µg/mL for 3 hours at room temperature. Cells were stained using the NorthernLights™ 557-conjugated Anti-Sheep IgG Secondary Antibody (red; Catalog # NL010) and counterstained with DAPI (blue). Specific staining was localized to cell surfaces. View our protocol for Fluorescent ICC Staining of Cells on Coverslips.

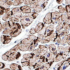
N‑Cadherin in Human Heart

N-Cadherin was detected in immersion fixed paraffin-embedded sections of human heart using Sheep Anti-Human/Mouse/Rat N-Cadherin Antigen Affinity-purified Polyclonal Antibody (Catalog # AF6426) at 1 µg/mL overnight at 4 °C. Tissue was stained using the Sheep IgG VisUCyte HRP Polymer Antibody (Catalog # VC006). Before incubation with the primary antibody, tissue was subjected to heat-induced epitope retrieval using Antigen Retrieval Reagent-Basic (Catalog # CTS013). Tissue was stained using DAB (brown) and counterstained with hematoxylin (blue). Specific staining was localized to intercalated disks between the myocardial cells. Staining was performed using our protocol for IHC Staining with VisUCyte HRP Polymer Detection Reagents.

Applications for Human/Mouse/Rat N-Cadherin Antibody

Application
Recommended Usage

CyTOF-ready

Ready to be labeled using established conjugation methods. No BSA or other carrier proteins that could interfere with conjugation.

ELISA

This antibody functions as an ELISA detection antibody to detect human N-Cadherin when paired with Mouse Anti-Human N‑Cadherin Monoclonal Antibody (Catalog # MAB13883).

This product is intended for assay development on various assay platforms requiring antibody pairs. We recommend the Human N-Cadherin DuoSet ELISA Kit (Catalog # DY1388-05) for convenient development of a sandwich ELISA.

Flow Cytometry

0.25 µg/106 cells
Sample: A172 human glioblastoma cell line

Immunocytochemistry

5-15 µg/mL
Sample: Immersion fixed A549 human lung carcinoma cell line

Immunohistochemistry

1-15 µg/mL
Sample: Immersion-fixed paraffin-embedded sections of human heart

Western Blot

0.5 µg/mL
Sample: A549 human lung carcinoma cell line, HeLa human cervical epithelial carcinoma cell line, C2C12 mouse myoblast cell line, and rat brain tissue

Formulation, Preparation, and Storage

Purification

Antigen Affinity-purified

Reconstitution

Sterile PBS to a final concentration of 0.2 mg/mL. For liquid material, refer to CoA for concentration.

Reconstitution Buffer Available:
Size / Price
Qty
Loading...

Formulation

Lyophilized from a 0.2 μm filtered solution in PBS with Trehalose. *Small pack size (SP) is supplied either lyophilized or as a 0.2 µm filtered solution in PBS.

Shipping

Lyophilized product is shipped at ambient temperature. Liquid small pack size (-SP) is shipped with polar packs. Upon receipt, store immediately at the temperature recommended below.

Stability & Storage

Use a manual defrost freezer and avoid repeated freeze-thaw cycles.
  • 12 months from date of receipt, -20 to -70 °C as supplied.
  • 1 month, 2 to 8 °C under sterile conditions after reconstitution.
  • 6 months, -20 to -70 °C under sterile conditions after reconstitution.

Background: N-Cadherin

N-Cadherin (Neural Cadherin; also CD325 and Cadherin-2) is a 130-135 kDa member of the "classical" (or type I) cadherin subfamily, cadherin superfamily of proteins. It is expressed on multiple cell types, including neurons, fibroblasts, Schwann cells, endothelial cells and hepatic stellate cells. N-Cadherin mediates homotypic binding, either in cis (same cell) or trans (adjacent cell). proN-Cadherin is expressed as an 881 amino acid (aa) type I transmembrane glycoprotein. It may be initially inserted into the ER, where the 15-20 kDa prodomain (aa 26-159) is cleaved by proprotein convertase, and the mature molecule (aa 160-906) is transported to the surface. Mature N-Cadherin contains a 565 aa extracellular region (aa 160-724) that possesses five cadherin domains (aa 160-714), and a 161 aa cytoplasmic tail that undergoes phosphorylation at Tyr785. There is one splice variant that contains a 10 aa substitution for aa 839-906. Over aa 160-724, human N Cadherin shares 98% aa identity with mouse N-Cadherin.

Long Name

Neural Cadherin

Alternate Names

Cadherin-2, CD325, CDH2, NCadherin

Entrez Gene IDs

1000 (Human); 12558 (Mouse); 83501 (Rat)

Gene Symbol

CDH2

UniProt

Additional N-Cadherin Products

Product Documents for Human/Mouse/Rat N-Cadherin Antibody

Certificate of Analysis

To download a Certificate of Analysis, please enter a lot number in the search box below.

Note: Certificate of Analysis not available for kit components.

Product Specific Notices for Human/Mouse/Rat N-Cadherin Antibody

For research use only

Loading...
Loading...
Loading...
Loading...
Loading...