Skip to main content

Key Product Details

Species Reactivity

Validated:

Human, Mouse, Rat

Cited:

Human, Mouse, Rat, Equine

Applications

Validated:

Immunohistochemistry, Western Blot, Simple Western

Cited:

Immunohistochemistry, Immunohistochemistry-Paraffin, Immunohistochemistry-Frozen, Western Blot, Immunocytochemistry, Immunoprecipitation

Label

Unconjugated

Antibody Source

Polyclonal Goat IgG

Product Specifications

Immunogen

Mouse myeloma cell line NS0-derived Recombinant Human Lipocalin‑2/NGAL
Gln21-Gly198
Accession # P80188

Specificity

Detects human Lipocalin-2/NGAL in direct ELISAs and Western blots.

Clonality

Polyclonal

Host

Goat

Isotype

IgG

Scientific Data Images for Human/Mouse/Rat Lipocalin-2/NGAL Antibody

Detection of Human Lipocalin-2/NGAL antibody by Western Blot.

Detection of Human Lipocalin‑2/NGAL by Western Blot.

Western blot shows lysates of Capan-1 human pancreatic adenocarcinoma cell line and human pancreas tissue. PVDF membrane was probed with 0.2 µg/mL of Goat Anti-Human/Mouse/Rat Lipocalin-2/NGAL Antigen Affinity-purified Polyclonal Antibody (Catalog # AF1757) followed by HRP-conjugated Anti-Goat IgG Secondary Antibody (Catalog # HAF109). A specific band was detected for Lipocalin-2/NGAL at approximately 22 kDa (as indicated). This experiment was conducted under reducing conditions and using Immunoblot Buffer Group 1.
Detection of Mouse and Rat Lipocalin-2/NGAL antibody by Western Blot.

Detection of Mouse and Rat Lipocalin-2/NGAL by Western Blot.

Western blot shows lysates of mouse and rat bone marrow. PVDF membrane was probed with 0.2 µg/mL of Goat Anti-Human/Mouse/Rat Lipocalin-2/NGAL Antigen Affinity-purified Polyclonal Antibody (Catalog # AF1757) followed by HRP-conjugated Anti-Goat IgG Secondary Antibody (Catalog # HAF017). A specific band was detected for Lipocalin-2/NGAL at approximately 22 kDa (as indicated). This experiment was conducted under reducing conditions and using Immunoblot Buffer Group 1.
Detection of Human Lipocalin-2/NGAL antibody by Simple WesternTM.

Detection of Human Lipocalin-2/NGAL by Simple WesternTM.

Simple Western lane view shows lysates of Capan-1 human pancreatic adenocarcinoma cell line, loaded at 0.2 mg/mL. A specific band was detected for Lipocalin-2/NGAL at approximately 34 kDa (as indicated) using 2 µg/mL of Goat Anti-Human/Mouse/Rat Lipocalin-2/NGAL Antigen Affinity-purified Polyclonal Antibody (Catalog # AF1757) followed by 1:50 dilution of HRP-conjugated Anti-Goat IgG Secondary Antibody (Catalog # HAF109). This experiment was conducted under reducing conditions and using the 12-230 kDa separation system.

Applications for Human/Mouse/Rat Lipocalin-2/NGAL Antibody

Application
Recommended Usage

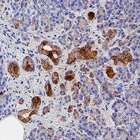
Immunohistochemistry

5-15 µg/mL
Sample: Immersion fixed paraffin-embedded sections of human pancreas

Simple Western

2 µg/mL
Sample: Capan‑1 human pancreatic adenocarcinoma cell line

Western Blot

0.2 µg/mL
Sample: Capan‑1 human pancreatic adenocarcinoma cell line and human pancreas tissue

Reviewed Applications

Read 2 reviews rated 4 using AF1757 in the following applications:

Formulation, Preparation, and Storage

Purification

Antigen Affinity-purified

Reconstitution

Reconstitute at 0.2 mg/mL in sterile PBS. For liquid material, refer to CoA for concentration.

Reconstitution Buffer Available:
Size / Price
Qty
Loading...

Formulation

Lyophilized from a 0.2 μm filtered solution in PBS with Trehalose. See Certificate of Analysis for details.
*Small pack size (-SP) is supplied either lyophilized or as a 0.2 µm filtered solution in PBS.

Shipping

Lyophilized product is shipped at ambient temperature. Liquid small pack size (-SP) is shipped with polar packs. Upon receipt, store immediately at the temperature recommended below.

Stability & Storage

Use a manual defrost freezer and avoid repeated freeze-thaw cycles.
  • 12 months from date of receipt, -20 to -70 °C as supplied.
  • 1 month, 2 to 8 °C under sterile conditions after reconstitution.
  • 6 months, -20 to -70 °C under sterile conditions after reconstitution.

Background: Lipocalin-2/NGAL

Members of Lipocalin family share a highly conserved fold with an eight-stranded antiparallel beta barrel, and act as a transporters, carrying small molecules to specific cells. Lipocalin-2, also known as Neutrophil Gelatinase-Associated Lipocalin (NGAL), was originally identified as a component of neutrophil granules. It is a 25 kDa protein existing in monomeric and homo- and heterodimeric forms, the latter as a dimer with human neutrophil gelatinases (MMP-9). Its expression has been observed in most tissues normally exposed to microorganism, and its synthesis is induced in epithelial cells during inflammation. Lipocalin-2 has been implicated in a variety of processes including cell differentiation, tumorigenesis, and apoptosis. Studies indicate that Lipocalin-2 binds a bacterial catecholate sidropore bound to ferric ion such as enterobactin with a subnanomolar dissociation constant (Kd = 0.41 nM). The bound ferric enterobactin complex breaks down slowly in a month into dihydroxybenzoyl serine and dihydroxybenzoic acid (DHBA). It also binds to a ferric DHBA complex with much less Kd values (7.9 nM). Secretion of Lipocalin‑2 in immune cells increases by stimulation of Toll-like receptor as an acute phase response to infection. As a result, it acts as a potent bacteriostatic reagent by sequestering iron. Moreover, Lipocalin-2 can alter the invasive and metastatic behavior of Ras-transformed breast cancer cells in vitro and in vivo by reversing epithelial to mesenchymal transition inducing activity of Ras, through restoration of E-cadherin expression, via effects on the Ras-MAPK signaling pathway.

Long Name

Neutrophil Gelatinase-associated Lipocalin

Alternate Names

24p3, LCN2, Lipocalin2, MSFI, NGAL, Oncogene 24p3, p25, Siderocalin, Uterocalin

Entrez Gene IDs

3934 (Human); 16819 (Mouse); 170496 (Rat); 102137149 (Cynomolgus Monkey)

Gene Symbol

LCN2

UniProt

Additional Lipocalin-2/NGAL Products

Product Documents for Human/Mouse/Rat Lipocalin-2/NGAL Antibody

Certificate of Analysis

To download a Certificate of Analysis, please enter a lot number in the search box below.

Note: Certificate of Analysis not available for kit components.

Product Specific Notices for Human/Mouse/Rat Lipocalin-2/NGAL Antibody

For research use only

Loading...
Loading...
Loading...
Loading...