Skip to main content

Key Product Details

Validated by

Biological Validation

Species Reactivity

Validated:

Human, Mouse, Rat

Cited:

Human, Mouse, Rat, Primate - Chlorocebus aethiops (African Green Monkey)

Applications

Validated:

Immunohistochemistry, Western Blot, Simple Western

Cited:

Immunohistochemistry, Western Blot, Flow Cytometry, Immunocytochemistry, Immunoprecipitation, Microarray

Label

Unconjugated

Antibody Source

Monoclonal Mouse IgG2A Clone # 242707

Product Specifications

Immunogen

E. coli-derived recombinant human HSP70/HSPA1A
Met1-Asp641
Accession # NP_005336

Specificity

Detects the induced form of human and mouse HSP70/HSPA1A in Western blots. In Western blots, no cross-reactivity with the constitutively expressed HSC70 (HSP73) is detected.

Clonality

Monoclonal

Host

Mouse

Isotype

IgG2A

Scientific Data Images for Human/Mouse/Rat HSP70/HSPA1A Antibody

Detection of Human and Mouse HSP70/ HSPA1A antibody by Western Blot.

Detection of Human and Mouse HSP70/ HSPA1A by Western Blot.

Western blot shows lysates of Jurkat human acute T cell leukemia cell line and NIH-3T3 mouse embryonic fibroblast cell line untreated (-) or treated (+) with a 42 °C heat shock for 30 minutes with a 3 hour recovery. PVDF membrane was probed with 0.1 µg/mL of Mouse Anti-Human/Mouse/Rat HSP70/HSPA1A Monoclonal Antibody (Catalog # MAB1663), followed by HRP-conjugated Anti-Mouse IgG Secondary Antibody (Catalog # HAF007). A specific band was detected for HSP70/HSPA1A at approximately 70 kDa (as indicated). This experiment was conducted under reducing conditions and using Immunoblot Buffer Group 2.
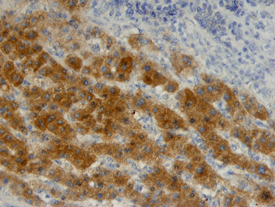
HSP70/HSPA1A antibody in Human Liver Cancer Tissue by Immunohistochemistry (IHC-P).

HSP70/HSPA1A in Human Liver Cancer Tissue.

HSP70/HSPA1A was detected in immersion fixed paraffin-embedded sections of human liver cancer tissue using Mouse Anti-Human/Mouse/Rat HSP70/HSPA1A Monoclonal Antibody (Catalog # MAB1663) at 25 µg/mL overnight at 4 °C. Tissue was stained using the Anti-Mouse HRP-DAB Cell & Tissue Staining Kit (brown; Catalog # CTS002) and counterstained with hematoxylin (blue). View our protocol for Chromogenic IHC Staining of Paraffin-embedded Tissue Sections.
Detection of Human HSP70/HSPA1A antibody by Simple WesternTM.

Detection of Human HSP70/HSPA1A by Simple WesternTM.

Simple Western lane view shows lysates of Jurkat human acute T cell leukemia cell line untreated (-) or treated (+) by heat shocked (HS), loaded at 0.2 mg/mL. A specific band was detected for HSP70/HSPA1A at approximately 67 kDa (as indicated) using 0.5 µg/mL of Mouse Anti-Human/Mouse/Rat HSP70/HSPA1A Monoclonal Antibody (Catalog # MAB1663) . This experiment was conducted under reducing conditions and using the 12-230 kDa separation system.

Applications for Human/Mouse/Rat HSP70/HSPA1A Antibody

Application
Recommended Usage

Immunohistochemistry

8-25 µg/mL
Sample: Immersion fixed paraffin-embedded sections of human liver cancer tissue

Simple Western

0.5 µg/mL
Sample: Heat shock treated Jurkat human acute T cell leukemia cell line

Western Blot

0.1 µg/mL
Sample: 42° C heat shock-treated Jurkat human acute T cell leukemia cell line and DA3 mouse myeloma cell line

Reviewed Applications

Read 1 review rated 5 using MAB1663 in the following applications:

Formulation, Preparation, and Storage

Purification

Protein A or G purified from hybridoma culture supernatant

Reconstitution

Reconstitute at 0.5 mg/mL in sterile PBS. For liquid material, refer to CoA for concentration.

Reconstitution Buffer Available:
Size / Price
Qty
Loading...

Formulation

Lyophilized from a 0.2 μm filtered solution in PBS with Trehalose. *Small pack size (SP) is supplied either lyophilized or as a 0.2 µm filtered solution in PBS.

Shipping

Lyophilized product is shipped at ambient temperature. Liquid small pack size (-SP) is shipped with polar packs. Upon receipt, store immediately at the temperature recommended below.

Stability & Storage

Use a manual defrost freezer and avoid repeated freeze-thaw cycles.
  • 12 months from date of receipt, -20 to -70 °C as supplied.
  • 1 month, 2 to 8 °C under sterile conditions after reconstitution.
  • 6 months, -20 to -70 °C under sterile conditions after reconstitution.

Background: HSP70/HSPA1A

The heat shock proteins are a highly conserved family of stress response proteins. HSPs function primarily as molecular chaperones, facilitating the folding of other cellular proteins, preventing protein aggregation, or targeting improperly folded proteins to specific degradative pathways. Some HSPs are expressed at low levels under normal physiological conditions but show dramatically increased expression in response to cellular stress, others are constitutively expressed. Specific HSPs play a role in regulating apoptosis by interacting directly with key components of the apoptotic pathway.

Long Name

Heat Shock Protein 70

Alternate Names

HSP70-1A, HSP72, HSPA1A

Entrez Gene IDs

3303 (Human); 15511 (Mouse); 24472 (Rat)

Gene Symbol

HSPA1A

UniProt

Additional HSP70/HSPA1A Products

Product Documents for Human/Mouse/Rat HSP70/HSPA1A Antibody

Certificate of Analysis

To download a Certificate of Analysis, please enter a lot number in the search box below.

Note: Certificate of Analysis not available for kit components.

Product Specific Notices for Human/Mouse/Rat HSP70/HSPA1A Antibody

For research use only

Loading...
Loading...
Loading...
Loading...