Skip to main content

Key Product Details

Species Reactivity

Human, Mouse, Rat

Applications

Immunohistochemistry, Western Blot, Immunocytochemistry

Label

Unconjugated

Antibody Source

Polyclonal Goat IgG

Product Specifications

Immunogen

E. coli-derived recombinant human GRP75
Glu542-Gln679
Accession # P38646

Specificity

Detects human, mouse, and rat GRP75.

Clonality

Polyclonal

Host

Goat

Isotype

IgG

Scientific Data Images for Human/Mouse/Rat GRP75/HSPA9B Antibody

Detection of Human/Mouse/Rat GRP75/HSPA9B antibody by Western Blot.

Detection of Human/Mouse/Rat GRP75/HSPA9B by Western Blot.

Western blot shows lysates of HepG2 human hepatocellular carcinoma cell line, CH-1 mouse B cell lymphoma cell line, and L6 rat myoblast cell line. PVDF membrane was probed with 0.5 µg/mL of Goat Anti-Human/Mouse/Rat GRP75/HSPA9B Antigen Affinity-purified Polyclonal Antibody (Catalog # AF3584) followed by HRP-conjugated Anti-Goat IgG Secondary Antibody (Catalog # HAF109). A specific band was detected for GRP75/HSPA9B at approximately 75 kDa (as indicated). This experiment was conducted under reducing conditions and using Immunoblot Buffer Group 2.
GRP75/HSPA9B antibody in HeLa Human Cell Line by Immunocytochemistry (ICC).

GRP75/HSPA9B in HeLa Human Cell Line.

GRP75/HSPA9B was detected in immersion fixed HeLa human cervical epithelial carcinoma cell line using Goat Anti-Human/Mouse/Rat GRP75/HSPA9B Antigen Affinity-purified Polyclonal Antibody (Catalog # AF3584) at 5 µg/mL for 3 hours at room temperature. Cells were stained using the NorthernLights™ 557-conjugated Anti-Goat IgG Secondary Antibody (yellow; Catalog # NL001) and counterstained with DAPI (blue). Specific staining was localized to mitochondria. View our protocol for Fluorescent ICC Staining of Cells on Coverslips.
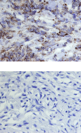
GRP75/HSPA9B antibody in Human Meningioma by Immunohistochemistry (IHC-P).

GRP75/HSPA9B in Human Meningioma.

GRP75/HSPA9B was detected in immersion fixed paraffin-embedded sections of human meningioma using 15 µg/mL Goat Anti-Human/Mouse/Rat GRP75/HSPA9B Antigen Affinity-purified Polyclonal Antibody (Catalog # AF3584) overnight at 4 °C. Tissue was stained with the Anti-Goat HRP-DAB Cell & Tissue Staining Kit (brown; Catalog # CTS008) and counterstained with hematoxylin (blue). Lower panel shows a lack of labeling if primary antibodies are omitted and tissue is stained only with secondary antibody followed by incubation with detection reagents. View our protocol for Chromogenic IHC Staining of Paraffin-embedded Tissue Sections.

Applications for Human/Mouse/Rat GRP75/HSPA9B Antibody

Application
Recommended Usage

Immunocytochemistry

5-15 µg/mL
Sample: Immersion fixed HeLa human cervical epithelial carcinoma cell line

Immunohistochemistry

5-15 µg/mL
Sample: Immersion fixed paraffin-embedded sections of human meningioma and colon cancer tissue

Western Blot

0.5 µg/mL
Sample: HepG2 human hepatocellular carcinoma cell line, CH-1 mouse B cell lymphoma cell line, and L6 rat myoblast cell line

Formulation, Preparation, and Storage

Purification

Antigen Affinity-purified

Reconstitution

Reconstitute at 0.2 mg/mL in sterile PBS. For liquid material, refer to CoA for concentration.

Reconstitution Buffer Available:
Size / Price
Qty
Loading...

Formulation

Lyophilized from a 0.2 μm filtered solution in PBS with Trehalose. *Small pack size (SP) is supplied either lyophilized or as a 0.2 µm filtered solution in PBS.

Shipping

Lyophilized product is shipped at ambient temperature. Liquid small pack size (-SP) is shipped with polar packs. Upon receipt, store immediately at the temperature recommended below.

Stability & Storage

Use a manual defrost freezer and avoid repeated freeze-thaw cycles.
  • 12 months from date of receipt, -20 to -70 °C as supplied.
  • 1 month, 2 to 8 °C under sterile conditions after reconstitution.
  • 6 months, -20 to -70 °C under sterile conditions after reconstitution.

Background: GRP75/HSPA9B

The 70 kDa heat shock proteins (HSP70s) are a highly conserved family of stress response proteins. The HSP70 family of proteins contains both heat/stress inducible and constitutively expressed members known as heat shock cognate proteins. Glucose Regulated 75 kDa Protein (GRP75, also known as HSPA9B, mitochondrial HSP70, and mortalin-2) is a 679 amino acid (aa) heat shock cognate protein. Many HSPs function as molecular chaperones, facilitating the folding of other cellular proteins. GRP75 is a mitochondrial protein involved in protein translocation into the mitochondria. Proteins crossing the mitochondrial membrane require unfolding before entering translocation pores in the mitochondrial outer membrane. GRP75 together with other inner membrane proteins of the mitochondria mediate this process. GRP75 also plays a role in the control of cell cycle progression.

Long Name

75 KD Glucose Regulated Protein

Alternate Names

CSA, HSPA9, HSPA9B, Mortalin-2, MOT2, PBP74

Entrez Gene IDs

3313 (Human); 15527 (Mouse)

Gene Symbol

HSPA9

UniProt

Additional GRP75/HSPA9B Products

Product Documents for Human/Mouse/Rat GRP75/HSPA9B Antibody

Certificate of Analysis

To download a Certificate of Analysis, please enter a lot number in the search box below.

Note: Certificate of Analysis not available for kit components.

Product Specific Notices for Human/Mouse/Rat GRP75/HSPA9B Antibody

For research use only

Loading...
Loading...
Loading...
Loading...