Skip to main content

Key Product Details

Species Reactivity

Validated:

Human, Mouse, Rat

Cited:

Human, Mouse, Transgenic Mouse

Applications

Validated:

Immunohistochemistry, Western Blot, Simple Western

Cited:

Immunohistochemistry, Immunohistochemistry-Frozen

Label

Unconjugated

Antibody Source

Polyclonal Goat IgG

Product Specifications

Immunogen

E. coli-derived recombinant human GAD1/GAD67
Ala2-Asn97
Accession # Q99259

Specificity

Detects human GAD1/GAD67 in direct ELISAs and detects human, mouse, and rat GAD1/GAD67 in Western blots.

Clonality

Polyclonal

Host

Goat

Isotype

IgG

Scientific Data Images for Human/Mouse/Rat GAD1/GAD67 Antibody

Detection of Human, Mouse, and Rat GAD1/GAD67 antibody by Western Blot.

Detection of Human, Mouse, and Rat GAD1/GAD67 by Western Blot.

Western blot shows lysates of human brain (hypothalamus) tissue, mouse brain (total) tissue, and rat brain (total) tissue. PVDF membrane was probed with 1 µg/mL of Goat Anti-Human/Mouse/Rat GAD1/GAD67 Antigen Affinity-purified Polyclonal Antibody (Catalog # AF2086) followed by HRP-conjugated Anti-Goat IgG Secondary Antibody HAF017). A specific band was detected for GAD1/GAD67 at approximately 67 kDa (as indicated). This experiment was conducted under reducing conditions and using Immunoblot Buffer Group 1.
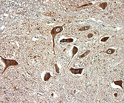
GAD1/GAD67 antibody in Human Spinal Cord by Immunohistochemistry (IHC-P).

GAD1/GAD67 in Human Spinal Cord.

GAD1/GAD67 was detected in immersion fixed paraffin-embedded sections of human spinal cord using 15 µg/mL Goat Anti-Human/Mouse/Rat GAD1/GAD67 Antigen Affinity-purified Polyclonal Antibody (Catalog # AF2086) overnight at 4 °C. Tissue was stained with the Anti-Goat HRP-DAB Cell & Tissue Staining Kit (brown; CTS008) and counterstained with hematoxylin (blue). View our protocol for Chromogenic IHC Staining of Paraffin-embedded Tissue Sections.
Detection of Mouse GAD1/GAD67 antibody by Simple WesternTM.

Detection of Mouse GAD1/GAD67 by Simple WesternTM.

Simple Western lane view shows lysates of mouse brain tissue, loaded at 0.2 mg/mL. A specific band was detected for GAD1/GAD67 at approximately 65 kDa (as indicated) using 1 µg/mL of Goat Anti-Human/Mouse/Rat GAD1/GAD67 Antigen Affinity-purified Polyclonal Antibody (Catalog # AF2086) followed by 1:50 dilution of HRP-conjugated Anti-Goat IgG Secondary Antibody (HAF109). This experiment was conducted under reducing conditions and using the 12-230 kDa separation system.

Applications for Human/Mouse/Rat GAD1/GAD67 Antibody

Application
Recommended Usage

Immunohistochemistry

5-15 µg/mL
Sample: Immersion fixed paraffin-embedded sections of human spinal cord

Simple Western

1 µg/mL
Sample:   Mouse brain tissue

Western Blot

1 µg/mL
Sample:   Human brain (hypothalamus) tissue, mouse brain (total) tissue, and rat brain (total) tissue

Reviewed Applications

Read 1 review rated 1 using AF2086 in the following applications:

Formulation, Preparation, and Storage

Purification

Antigen Affinity-purified

Reconstitution

Reconstitute at 0.2 mg/mL in sterile PBS. For liquid material, refer to CoA for concentration.

Reconstitution Buffer Available:
Size / Price
Qty
Loading...

Formulation

Lyophilized from a 0.2 μm filtered solution in PBS with Trehalose. *Small pack size (SP) is supplied either lyophilized or as a 0.2 µm filtered solution in PBS.

Shipping

Lyophilized product is shipped at ambient temperature. Liquid small pack size (-SP) is shipped with polar packs. Upon receipt, store immediately at the temperature recommended below.

Stability & Storage

Use a manual defrost freezer and avoid repeated freeze-thaw cycles.
  • 12 months from date of receipt, -20 to -70 °C as supplied.
  • 1 month, 2 to 8 °C under sterile conditions after reconstitution.
  • 6 months, -20 to -70 °C under sterile conditions after reconstitution.

Background: GAD1/GAD67

GAD1, also named 67 kDa or brain GAD, is an enzyme that catalyzes the formation of the inhibitory neurotransmitter gamma-amino butyric acid (GABA) from glutamate. GAD1 is also expressed in multiple non-neuronal tissues during development.

Long Name

Glutamate Decarboxylase 1 (Brain, 67kDa)

Alternate Names

GAD67

Entrez Gene IDs

2571 (Human)

Gene Symbol

GAD1

UniProt

Additional GAD1/GAD67 Products

Product Documents for Human/Mouse/Rat GAD1/GAD67 Antibody

Certificate of Analysis

To download a Certificate of Analysis, please enter a lot number in the search box below.

Note: Certificate of Analysis not available for kit components.

Product Specific Notices for Human/Mouse/Rat GAD1/GAD67 Antibody

For research use only

Loading...
Loading...
Loading...
Loading...