Skip to main content

Key Product Details

Validated by

Knockout/Knockdown

Species Reactivity

Validated:

Human, Mouse, Rat

Cited:

Human

Applications

Validated:

Knockout Validated, Immunohistochemistry, Western Blot

Cited:

Functional Assay

Label

Unconjugated

Antibody Source

Polyclonal Rabbit IgG

Product Specifications

Immunogen

E. coli-derived recombinant human ERK2
Met1-Ser360
Accession # P28482

Specificity

Detects human, mouse, and rat ERK2. Also recognizes ERK1 in some cell types at much lower affinity.

Clonality

Polyclonal

Host

Rabbit

Isotype

IgG

Scientific Data Images for Human/Mouse/Rat ERK2 Antibody

Detection of Human/Mouse/Rat ERK2 antibody by Western Blot.

Detection of Human/Mouse/Rat ERK2 by Western Blot.

Western blot shows lysates of HeLa human cervical epithelial carcinoma cell line, MCF-7 human breast cancer cell line, U937 human histiocytic lymphoma cell line, PC-12 rat adrenal pheochromocytoma cell line, and NIH-3T3 mouse embryonic fibroblast cell line. PVDF membrane was probed with 0.1 µg/mL of Rabbit Anti-Human/Mouse/Rat ERK2 Antigen Affinity-purified Polyclonal Antibody (Catalog # AF1230) followed by HRP-conjugated Anti-Rabbit IgG Secondary Antibody (Catalog # HAF008). A specific band was detected for ERK2 at approximately 42 kDa (as indicated). This experiment was conducted under reducing conditions and using Immunoblot Buffer Group 1.
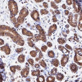
ERK2 antibody in Human Breast by Immunohistochemistry (IHC-P).

ERK2 in Human Breast.

ERK2 was detected in immersion fixed paraffin-embedded sections of human breast using Rabbit Anti-Human/Mouse/Rat ERK2 Antigen Affinity-purified Polyclonal Antibody (Catalog # AF1230) at 3 µg/mL for 1 hour at room temperature followed by incubation with the Anti-Rabbit IgG VisUCyte™ HRP Polymer Antibody (Catalog # VC003). Tissue was stained using DAB (brown) and counterstained with hematoxylin (blue). Specific staining was localized to cytoplasm in epithelial cells. View our protocol for IHC Staining with VisUCyte HRP Polymer Detection Reagents.
Western Blot Shows Human ERK2 Antibody Specificity by Using Knockout Cell Line.

Western Blot Shows Human ERK2 Specificity by Using Knockout Cell Line.

Western blot shows lysates of HeLa human cervical epithelial carcinoma parental cell line and ERK2 knockout HeLa cell line (KO). PVDF membrane was probed with 0.1 µg/mL of Rabbit Anti-Human/Mouse/Rat ERK2 Antigen Affinity-purified Polyclonal Antibody (Catalog # AF1230) followed by HRP-conjugated Anti-Rabbit IgG Secondary Antibody (Catalog # HAF008). A specific band was detected for ERK2 at approximately 42 kDa (as indicated) in the parental HeLa cell line, but is not detectable in knockout HeLa cell line. GAPDH (Catalog # AF5718) is shown as a loading control. This experiment was conducted under reducing conditions and using Immunoblot Buffer Group 1.

Applications for Human/Mouse/Rat ERK2 Antibody

Application
Recommended Usage

Immunohistochemistry

3-15 µg/mL
Sample: Immersion fixed frozen sections of mouse embryo (E13-15), perfusion fixed frozen sections of rat brain, and immersion fixed paraffin-embedded sections of human breast

Knockout Validated

ERK2 is specifically detected in HeLa human cervical epithelial carcinoma parental cell line but is not detectable in ERK2 knockout HeLa cell line.

Western Blot

0.1 µg/mL
Sample: HeLa human cervical epithelial carcinoma cell line, MCF‑7 human breast cancer cell line, U937 human histiocytic lymphoma cell line, PC‑12 rat adrenal pheochromocytoma cell line, and NIH‑3T3 mouse embryonic fibroblast cell line

Formulation, Preparation, and Storage

Purification

Antigen and protein A Affinity-purified

Reconstitution

Reconstitute at 0.2 mg/mL in sterile PBS. For liquid material, refer to CoA for concentration.

Reconstitution Buffer Available:
Size / Price
Qty
Loading...

Formulation

Lyophilized from a 0.2 μm filtered solution in PBS with Trehalose. *Small pack size (SP) is supplied either lyophilized or as a 0.2 µm filtered solution in PBS.

Shipping

Lyophilized product is shipped at ambient temperature. Liquid small pack size (-SP) is shipped with polar packs. Upon receipt, store immediately at the temperature recommended below.

Stability & Storage

Use a manual defrost freezer and avoid repeated freeze-thaw cycles.
  • 12 months from date of receipt, -20 to -70 °C as supplied.
  • 1 month, 2 to 8 °C under sterile conditions after reconstitution.
  • 6 months, -20 to -70 °C under sterile conditions after reconstitution.

Background: ERK2

ERK1 and ERK2 (also known as MAPK3 and MAPK1) are 44- and 42-kDa Ser/Thr kinases, respectively. They are part of the Ras-Raf-ERK signal transduction cascade often found downstream of growth factor receptor activation. ERK1 and ERK2 were initially isolated and cloned as kinases activated in response to insulin and NGF. They are expressed in most, if not all, mammalian tissues. Dual threonine and tyrosine phosphorylation activate both ERKs, at Thr202/Tyr204 for human ERK1 and Thr185/Tyr187 for human ERK2. Within the range used as an immunogen, human, mouse, and rat ERK1 share 100% amino acid sequence identity.

Long Name

Extracellular Signal-regulated Kinase 2

Alternate Names

ERT1, MAPK1, MAPK2, p41mapk, p42mapk, PRKM1, PRKM2

Entrez Gene IDs

5594 (Human); 26413 (Mouse); 116590 (Rat)

Gene Symbol

MAPK1

UniProt

Additional ERK2 Products

Product Documents for Human/Mouse/Rat ERK2 Antibody

Certificate of Analysis

To download a Certificate of Analysis, please enter a lot number in the search box below.

Note: Certificate of Analysis not available for kit components.

Product Specific Notices for Human/Mouse/Rat ERK2 Antibody

For research use only

Loading...
Loading...
Loading...
Loading...