Skip to main content

Key Product Details

Species Reactivity

Validated:

Human, Mouse, Rat

Cited:

Human, Mouse

Applications

Validated:

Immunohistochemistry, Western Blot, Simple Western

Cited:

Immunohistochemistry-Paraffin, Western Blot, Simple Western

Label

Unconjugated

Antibody Source

Polyclonal Goat IgG

Product Specifications

Immunogen

S. frugiperda insect ovarian cell line Sf 21-derived recombinant human Akt2
Accession # P31751

Specificity

Detects human, mouse, and rat Akt2 in Western blots. Also detects recombinant human Akt2 but not recombinant Akt1 or Akt3 in Western blots.

Clonality

Polyclonal

Host

Goat

Isotype

IgG

Scientific Data Images for Human/Mouse/Rat Akt2 Antibody

Detection of Human/Mouse/Rat Akt2 antibody by Western Blot.

Detection of Human/Mouse/Rat Akt2 by Western Blot.

Western blot shows lysates of MCF-7 human breast cancer cell line, MDA-MB-468 human breast cancer cell line, and U937 human histiocytic lymphoma cell line. PVDF membrane was probed with 0.5 µg/mL Goat Anti-Human/Mouse/Rat Akt2 Antigen Affinity-purified Polyclonal Antibody (Catalog # AF23151) followed by HRP-conjugated Anti-Goat IgG Secondary Antibody (Catalog # HAF109). For additional reference, Recombinant Human Active Akt1 (Catalog # 1775-KS), recombinant human Akt2, and recombinant human Akt3 (5 ng/lane) were included. A specific band for Akt2 was detected at approximately 60 kDa (as indicated). This experiment was conducted under reducing conditions and using Immunoblot Buffer Group 1.
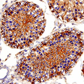
Akt2 antibody in Rat Testis by Immunohistochemistry (IHC-Fr).

Akt2 in Rat Testis.

Akt2 was detected in perfusion fixed frozen sections of rat testis using Goat Anti-Human/Mouse/Rat Akt2 Antigen Affinity-purified Polyclonal Antibody (Catalog # AF23151) at 3 µg/mL for 1 hour at room temperature followed by incubation with the Anti-Goat IgG VisUCyte™ HRP Polymer Antibody (Catalog # VC004). Tissue was stained using DAB (brown) and counterstained with hematoxylin (blue). Specific staining was localized to cytoplasm and nuclei. View our protocol for IHC Staining with VisUCyte HRP Polymer Detection Reagents.
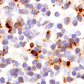
Akt2 antibody in Human Kidney Cancer Tissue by Immunohistochemistry (IHC-P).

Akt2 in Human Kidney Cancer Tissue.

Akt2 was detected in immersion fixed paraffin-embedded sections of human kidney cancer tissue using 15 µg/mL Goat Anti-Human/Mouse/Rat Akt2 Antigen Affinity-purified Polyclonal Antibody (Catalog # AF23151) overnight at 4 °C. Tissue was stained with the Anti-Goat HRP-DAB Cell & Tissue Staining Kit (brown; Catalog # CTS008) and counterstained with hematoxylin (blue). Specific labeling was localized to epithelial cells in tubules. View our protocol for Chromogenic IHC Staining of Paraffin-embedded Tissue Sections.

Applications for Human/Mouse/Rat Akt2 Antibody

Application
Recommended Usage

Immunohistochemistry

3-15 µg/mL
Sample: Immersion fixed paraffin-embedded sections of human kidney cancer tissue, and perfusion fixed frozen sections of rat testis and mouse spleen

Simple Western

5 µg/mL
Sample: MCF‑7 human breast cancer cell line

Western Blot

0.5 µg/mL
Sample: MCF-7 human breast cancer cell line, MDA-MB-468 human breast cancer cell line, and U937 human histiocytic lymphoma cell line

Reviewed Applications

Read 1 review rated 4 using AF23151 in the following applications:

Formulation, Preparation, and Storage

Purification

Antigen Affinity-purified

Reconstitution

Reconstitute at 0.2 mg/mL in sterile PBS. For liquid material, refer to CoA for concentration.

Reconstitution Buffer Available:
Size / Price
Qty
Loading...

Formulation

Lyophilized from a 0.2 μm filtered solution in PBS with Trehalose. *Small pack size (SP) is supplied either lyophilized or as a 0.2 µm filtered solution in PBS.

Shipping

Lyophilized product is shipped at ambient temperature. Liquid small pack size (-SP) is shipped with polar packs. Upon receipt, store immediately at the temperature recommended below.

Stability & Storage

Use a manual defrost freezer and avoid repeated freeze-thaw cycles.
  • 12 months from date of receipt, -20 to -70 °C as supplied.
  • 1 month, 2 to 8 °C under sterile conditions after reconstitution.
  • 6 months, -20 to -70 °C under sterile conditions after reconstitution.

Background: Akt2

The serine/threonine kinase Akt, also known as protein kinase B (PKB), is a central regulator of such diverse cellular processes as glucose uptake, cell cycle progression, and apoptosis. In mammals, three highly homologous members define the Akt family: Akt1 (PKB alpha), Akt2 (PKB beta), and Akt3 (PKB gamma). Akt2 is expressed predominantly in insulin target tissues such as liver, skeletal muscle, and fat. All three Akts contain an amino-terminal pleckstrin homology domain, a central kinase domain, and a carboxyl-terminal regulatory domain.

Long Name

v-Akt Murine Thymoma Viral Oncogene Homolog 2

Alternate Names

PKB beta, RAC-beta

Entrez Gene IDs

208 (Human); 11652 (Mouse); 29414 (Rat)

Gene Symbol

AKT2

UniProt

Additional Akt2 Products

Product Documents for Human/Mouse/Rat Akt2 Antibody

Certificate of Analysis

To download a Certificate of Analysis, please enter a lot number in the search box below.

Note: Certificate of Analysis not available for kit components.

Product Specific Notices for Human/Mouse/Rat Akt2 Antibody

For research use only

Loading...
Loading...
Loading...
Loading...