Skip to main content

Key Product Details

Species Reactivity

Validated:

Human, Mouse

Cited:

Human, Mouse, Transgenic Mouse

Applications

Validated:

Immunohistochemistry, Western Blot, Immunocytochemistry

Cited:

Immunohistochemistry, Western Blot, Immunocytochemistry, Immunoprecipitation, Immunogold Electron Microscopy

Label

Unconjugated

Antibody Source

Polyclonal Goat IgG

Product Specifications

Immunogen

E. coli-derived recombinant human Lipoprotein Lipase/LPL
Accession # P06858

Specificity

Detects human and mouse Lipoprotein Lipase/LPL in Western blots. Detects human Lipoprotein Lipase/LPL in direct ELISAs and less than 1% cross-reactivity with recombinant human (rh) LIPG, rhLIPI, and rhPNLIPRP1 is observed.

Clonality

Polyclonal

Host

Goat

Isotype

IgG

Scientific Data Images for Human/Mouse Lipoprotein Lipase/LPL Antibody

Detection of Human Lipoprotein Lipase/LPL antibody by Western Blot.

Detection of Human Lipoprotein Lipase/LPL by Western Blot.

Western blot shows lysates of THP-1 human acute monocytic leukemia cell line. PVDF membrane was probed with 1 µg/mL of Goat Anti-Human/Mouse Lipoprotein Lipase/LPL Antigen Affinity-purified Polyclonal Antibody (Catalog # AF7197) followed by HRP-conjugated Anti-Goat IgG Secondary Antibody (Catalog # HAF017). A specific band was detected for Lipoprotein Lipase/LPL at approximately 55 kDa (as indicated). This experiment was conducted under reducing conditions and using Immunoblot Buffer Group 1.

Detection of Human Lipoprotein Lipase/LPL by Western Blot.

Western Blot shows lysates of HeLa human cervical epithelial carcinoma cell line. PVDF membrane was probed with 1 µg/ml of Goat Anti-Human/Mouse Lipoprotein Lipase/LPL Antigen Affinity-purified Polyclonal Antibody (Catalog # AF7197) followed by HRP-conjugated Anti-Goat IgG Secondary Antibody (Catalog # HAF017). A specific band was detected for Lipoprotein Lipase/LPL at approximately 55 kDa (as indicated). This experiment was conducted under reducing conditions and using Western Blot Buffer Group 1.
Detection of Human and Mouse Lipoprotein Lipase/LPL antibody by Western Blot.

Detection of Human and Mouse Lipoprotein Lipase/LPL by Western Blot.

Western blot shows lysates of SH-SY5Y human neuroblastoma cell line and NMuMG mouse mammary gland epithelial cell line. PVDF membrane was probed with 1 µg/mL of Goat Anti-Human Lipoprotein Lipase/LPL Antigen Affinity-purified Polyclonal Antibody (Catalog # AF7197) followed by HRP-conjugated Anti-Goat IgG Secondary Antibody (Catalog # HAF019). A specific band was detected for Lipoprotein Lipase/LPL at approximately 56 kDa (as indicated). This experiment was conducted under reducing conditions and using Immunoblot Buffer Group 1.

Applications for Human/Mouse Lipoprotein Lipase/LPL Antibody

Application
Recommended Usage

Immunocytochemistry

5-15 µg/mL
Sample: Immersion fixed SH‑SY5Y human neuroblastoma cell line

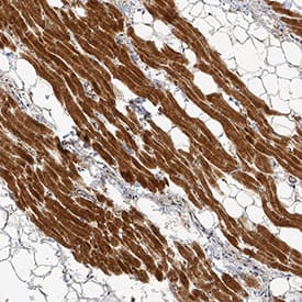
Immunohistochemistry

3-15 µg/mL
Sample: Immersion fixed paraffin-embedded sections of human heart

Western Blot

1 µg/mL
Sample: THP‑1 human acute monocytic leukemia cell line, HeLa human cervical epithelial carcinoma cell line, SH‑SY5Y human neuroblastoma cell line, and NMuMG mouse mammary gland epithelial cell line

Formulation, Preparation, and Storage

Purification

Antigen Affinity-purified

Reconstitution

Sterile PBS to a final concentration of 0.2 mg/mL. For liquid material, refer to CoA for concentration.

Reconstitution Buffer Available:
Size / Price
Qty
Loading...

Formulation

Lyophilized from a 0.2 μm filtered solution in PBS with Trehalose. See Certificate of Analysis for details.
*Small pack size (-SP) is supplied either lyophilized or as a 0.2 µm filtered solution in PBS.

Shipping

Lyophilized product is shipped at ambient temperature. Liquid small pack size (-SP) is shipped with polar packs. Upon receipt, store immediately at the temperature recommended below.

Stability & Storage

Use a manual defrost freezer and avoid repeated freeze-thaw cycles.
  • 12 months from date of receipt, -20 to -70 °C as supplied.
  • 1 month, 2 to 8 °C under sterile conditions after reconstitution.
  • 6 months, -20 to -70 °C under sterile conditions after reconstitution.

Background: Lipoprotein Lipase/LPL

LPL (LipoProtein Lipase; also LIPD) is a 53-56 kDa glycoprotein member of the Lipase family, AB Hydrolase superfamily of molecules. It is produced by multiple cell types, including adipocytes, skelelal muscle cells and macrophages. Once secreted, the circulating enzyme ultimately becomes immobilized on the surface of endothelium by binding to cell surface heparan sulfate. Here, it hydrolyzes triglycerides embedded in chylomicrons and VLDLs by homodimerizing and interacting with apoC2. Mature human LPL is 448 amino acids (aa) in length. It contains an enzymatic region (aa 37-334) plus one protein-interaction PLAT domain (aa 341-465). Over aa 28-154, human LPL shares 91% aa identity with mouse LPL.

Alternate Names

LIPD, LPL

Entrez Gene IDs

4023 (Human); 16956 (Mouse); 24539 (Rat)

Gene Symbol

LPL

UniProt

Additional Lipoprotein Lipase/LPL Products

Product Documents for Human/Mouse Lipoprotein Lipase/LPL Antibody

Certificate of Analysis

To download a Certificate of Analysis, please enter a lot number in the search box below.

Note: Certificate of Analysis not available for kit components.

Product Specific Notices for Human/Mouse Lipoprotein Lipase/LPL Antibody

For research use only

Loading...
Loading...
Loading...
Loading...